교통사고 발목 발등 통증? 안 낫는다면 반드시 체크해야 할 Tip
안녕하세요
한의초음파연구회 학술이사문지현 원장**입니다
엑스레이상
인대가 늘어났다고 했는데...
속시원히
진단해주셔서 감사합니다

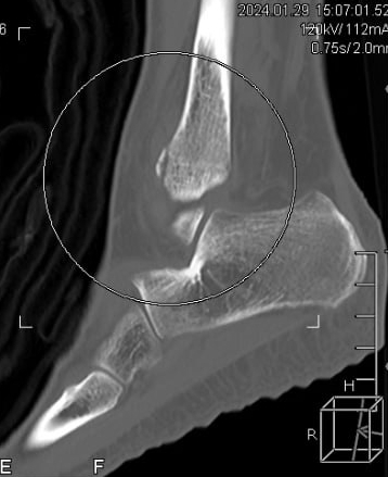
CT상 발목 골절로 진단
양천구에서 교통사고 후
발목통증으로
입원했던 환자분께서
제게 하신 말씀입니다.
교통사고 후에
발목 치료를 받아도
안 낫는 분들은
이 글을 끝까지 읽어보셔서
시간낭비하는 일이 없기를 바랍니다.

저는 서울 강서구에서
하루 10명 내외의
교통사고 후유증 환자들을
진료하고 있으며
한의초음파연구회
보수교육 강사로 활동하며
전문성을 쌓아왔습니다.
오늘은
교통사고 환자분들이
정확한 진단과
올바른 치료를
받으실 수 있도록
어제 있었던 사례를
소개해드리겠습니다.
X-ray는 기본 검사
교통사고를 당하고
목 허리
팔 다리 통증이 있다면
정형외과에서
X-ray를 찍어보실 겁니다.
하지만 사고 초기에는
엑스레이에서이상소견이 발견되지 않는 경우가매우 많습니다.
그래서 치료를 받는데도
증상이 잘 낫지 않는다면
반드시 정밀검사인
초음파, CT, MRI 검사까지
확인해봐야 합니다.
미세 골절
연골 파열
인대 손상 등
후유증이 남는 질환들은
정밀 검사에서 발견되기 때문이죠
빠른 회복은
정확한 진단에서부터 시작한다
여러분들이 후유증 없이
잘 회복하고 싶으시다면
우선 자동차보험 진료에 특화된
한의원을 찾아서
정밀 진단을 받으셔야 합니다.
은
12년간 통증 초음파
한길만 걸어온 의료진들이
대학병원급 GE 초음파로
1차 검사를 진행합니다.
초음파상
관절 내부 손상이 의심되어
추가 검사가 필요한 경우
협력병원에 의뢰하여
CT와 MRI 정밀검사까지 진행합니다.
실제로 엑스레이에서
발견하지 못한 골절을 확인하여
논문으로 발표하기도 했었죠.
발목이 계속 아프다는
54세 여자 환자
자, 그럼
환자분 사례를 설명드려볼게요.

2주 전에 다친 후
찍어본 엑스레이에서
뼈는 괜찮고
인대만 살짝 늘어났다는데
발목 앞쪽이
계속 아프시다고요.
붓기도 별로 없고
걷는 것도 괜찮다고 합니다.
제가 꼼꼼하게 진찰해보니
에서
이상소견이 발견되어
초음파 검사를 진행했습니다.
표준 경혈초음파와 달리
하나로 연결되어야 할
골 피질이 두개로 나눠져있고요.
초음파 빔이
뼈 내부로 들어갑니다.
골막 아래로
혈종이 보이고
눌렀을 때
평소 아팠던 통증이
그대로 나타납니다.

골절 진단의
골든스탠다드는
방사선 검사입니다.
즉, 초음파만 가지고
급성 골절로
최종 확정진단을 할 수 없기에
협력병원에
골절 의심 부위를 지정하여
640 CT 검사를 의뢰했습니다.

CT검사상
사고 초기 찍었던
엑스레이에서
미처 발견하지 못했던
발목 골절이
진단되었습니다.
골절인지도 모르고
합의할 뻔 했어요


정말 골절인지도 모르고
합의하신 다음에
후유증으로
고생하시는 분들이 많은데요
"미세골절 가능성이 있다"
"향후 CT, MRI 정밀검사가 필요할 수 있다"
한마디만 해줬으면
어땠을까요?
최소한 엑스레이 검사에 대해
제대로 된 설명이라도 해줬으면 좋았을텐데
너무나 안타깝습니다.
위 실제 사례를 보시면
교통사고 클리닉
특화 한의원에서
왜 초음파 검사를 받아야하는지
경험이 풍부한 의료진에게
교통사고 치료를 받아야하는지
아실 수 있을 겁니다.
VARO 교통사고치료

바로한의원 의료진은
초음파, 체외충격파를 활용한
비수술치료프로그램을 개발하였습니다.
교통사고후유증에 특화된
정밀 진단과 핀셋 치료로
빠른 회복을 도와드립니다.
통증 초음파에 특화된
치료법으로
국가대표, 올림픽 금메달리스트들이
치료받는 한의원입니다.
미세골절진단, CT검사가 필요합니다
미세골절 초기에는
MRI보다 640CT가 더 정확합니다
미세골절 진단법은
아래 글에서 정리했습니다.