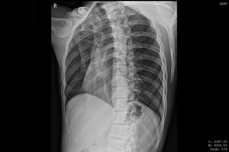
늑골 골절은 엑스레이에서 잘 보이지 않습니다. 640 CT가 필요합니다.

바로한의원
재활의학과센터입니다.
겨울철 폭설로
길이 꽁꽁 얼면서
늑골 골절 환자분들이
부쩍 늘었습니다.
5명의 늑골 골절 환자가
연달아 오기도 하는데요.
이렇게 한의원으로
늑골 골절 환자가
많이 오는 이유는
엑스레이에서
늑골 골절의 50%~80%가
보이지 않기 때문입니다.

실제 늑골 골절 환자분이나 X-ray에서 골절선을 발견하지 못함
단순 방사선 검사에서
발견하지 못한 골절을
근육통, 염좌, 담결림으로 착각해서
침 치료를 받고자
한의원으로 오시는 것이죠.
골절인지도 모르고
뭉친 근육을 풀겠다고
스트레칭해서 늘려주면
골절 부위가 더 벌어지면서
후유증도 더 오래가게 됩니다.

오늘은 늑골 골절 케이스를
소개해드리려고 합니다.
근처 치과 추천으로
옆구리 통증을 호소하는
환자분이 오셨는데요.
3일 전에
부딪히거나 넘어졌던 적도 없는데
누워있다가 일어나면서
옆구리 통증이 시작되셨다고 합니다.
특별한 외상이 없어도
물건 들 때, 기침할 때, 몸통을 돌릴 때
늑간근의 강력한 수축으로
갈비뼈가 골절되는 경우도
굉장히 많습니다.
만성 골다공증이나
당뇨환자분에겐
더욱 더 흔한 일이구요.
골절 부위를 손으로 눌러보면
심한 통증을 호소하면서
몸통을 돌리거나
돌아눕거나
헛기침을 할 때
통증이 심하다고 합니다.
손바닥으로
늑골이 벌어지지 않게
잘 고정해주고
몸통을 움직이면
통증이 약간 감소하구요.

늑골 골절의 진단검사는
본 스캔(Bone scan)이
가장 정확합니다.
뼈 스캔은
뼈를 생성하는 모세포
Osteoblast의 대사를
영상으로 평가하는
진단법인데요.
뼈에 흡수되는
방사성 의약품(MDP)을
정맥주사하면
혈액을 타고 전신에 퍼지게 되고
뼈에 선택적으로 섭취됩니다.
뼈의 혈류량
그리고 재구축, 교체율에 따라서
섭취정도가 결정되는데요.
미세 골절, 염증, 악성종양 등의
질환을 진단할 때
본스캔 Bone scan을
활용합니다.

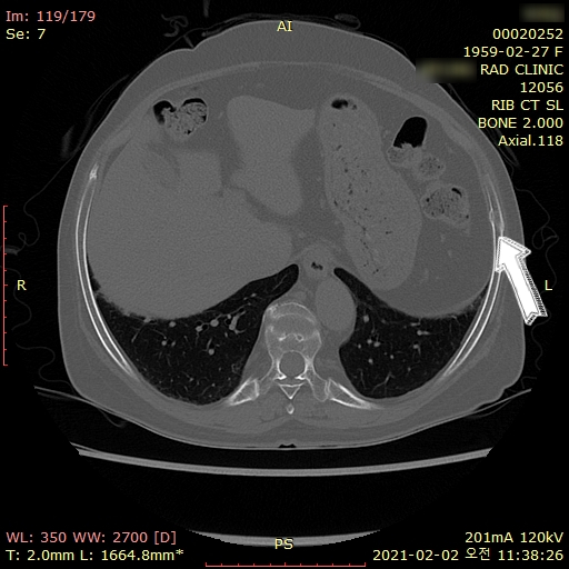
엑스레이에서 발견하지 못한 골절을 Bone scan에서 진단받았습니다.
구형 CT 검사기에서는
슬라이스 간격이 넓기 때문에
2mm 이하의
작은 미세골절은 안보이기도 합니다.
실비 청구 혹은 병가 진단서를 위해
간혹 뼈 스캔을
의뢰하기도 하는데요.
최근에는 기술이 좋아지면서
검사시간이 짧고
방사선 노출이 적은
저선량 CT로
검사하는 추세입니다.
최신 640 CT는
과거에 사용하던
64 or 128 슬라이스 CT와 달리
0.5mm 간격으로
640장의 영상을 얻으면서
기존 CT의 10%에
해당하는 저선량으로
인체 친화적 검사기입니다.
늑골 골절에서
본래 위치를 벗어나
폐를 찌르게 되면
기흉, 혈흉이 동반되는 경우도
있기 때문에
세밀한 검사를 위해
본원에서는 640CT로
의뢰하고 있습니다.

위 환자분은
골절이 강력하게 의심되어
협력의원으로 즉시 전원하여
검사한 결과
급성 골절로
진단받으셨구요.

화살표 친 부위에
오래 전 과거에 이미 골절되어
가골이 형성된 부분도
확인할 수 있었습니다.
2-3주가 지나면
가골이 형성되어
오래된 골절인지
급성 골절인지
영상검사만으로
감별하기 쉽지 않습니다.
후유증을 최소화하기위해
조기에 적절한 검사가
꼭 필요합니다.
위 링크는
제가 늑골 골절 증례를 발표한
임상 논문입니다.
한의 복합치료프로그램
[전기침 + 약침 + 한약 요법]을
병행하시면
치료기간을 단축시킬 수 있습니다.

엑스레이상 골절은 보이지 않는데
잘 낫지 않는 옆구리 통증으로
고생하고 계신다면
가급적 빠른 시일 내에
적절한 검사와 치료를
받으시는게 좋습니다.