대퇴사두 대퇴직근 건염? 스트레칭이 <정답>일까요?
근육이 늘어난지도 모르고
자꾸 늘리는 스트레칭만 했네요
여기 찾아오길
정말 잘했습니다

안녕하세요
한의영상학회 교육이사안태석 원장입니다.
위 이야기는
대퇴사두 통증이 낫지 않아
경기도 수원에서 오신 분이
하신 말씀입니다.
잘 낫지 않는대퇴사두근 통증은**
정확한 초음파 진단과
세밀한 약침 치료가
정말 효과적인데요.
12년간 대퇴 사두 통증을 치료해온
노하우를 알려드릴테니
끝까지 읽어보시고
잘 회복되셨으면 좋겠습니다.
대퇴사두근, 대퇴직근

은
무릎을 펴는 작용을 하는
4개의 근육입니다.
4개 중에
은
고관절을 구부리는 동작도
함께 하고 있는데요.

@ 초음파로 보는 알짜근육학
2개 관절 운동에 관여하는
아주 중요한 역할을 하다보니
대퇴 사두 중에서도
대퇴직근에 먼저 문제가 생깁니다.
** 통증의 특징은계단을 내려갈 때아픈 경우가 많다는 점입니다.**
지나치게 해도 문제, 안해도 문제
항상 지나쳐도
문제이고
모자라도
문제가 되지요.
운동을 너무 좋아하는
20-30대분들은
대퇴사두근이 너무 짧아지고
긴장된 경우가 많고요.
평소 운동을 하지 않는
40-50대분들은
대퇴사두근이 약화지고
늘어난 경우가 많습니다.
근육의 길이가
너무 짧지도 않고
길지도 않아야
제대로 작용할 수 있는데요.
이미 약해지고 늘어난 근육을
더 늘리는 스트레칭을 하면서
점점 염증이 심해지는 경우가 많습니다.
늘어난 경우
짧아진 경우
두 케이스를 소개해드려볼게요.
하체 운동 후 대퇴사두 통증
첫번째 케이스는
대퇴직근 단축 케이스입니다.
레그 익스텐션과
스쿼트 운동을 즐겨하는
20대 여자 환자분이셨는데요.
강서구 화곡동 정형외과에서
치료 받았는데
별 차도가 없어서 오셨고요.
대퇴 사두 중
이
자꾸 뭉친다는데
근육 길이를 체크해보니너무 짧아져있는게 문제였습니다.
위 영상은
제가 출판한
초음파 전공서적인데요.
대퇴직근의 긴장을 치료하는
핵심 혈자리,
의
표준 초음파 영상입니다.
문제가 있는 혈자리를
손으로 찾은 뒤
최대 효과를 내는 깊이로
초음파 약침을 시술합니다.
근육을 싸고 있는 막을
한 겹 한 겹 떼어내면서
정확한 깊이로 시술합니다.
시술 후 영상을 보면
근막을 따라 약침이 들어간 것을
알 수 있습니다.
초음파 약침이래서
아플 줄 알았는데
시원한 느낌이 들어요!
이 환자분께서
치료 직후
너무 시원하다고
말씀하셨는데요.
현대 한의학적 연구에 따르면
근육을 감싸고 있는
은근육 덩어리보다통증수용기가 2-3배 많습니다.
최근 발표된 연구들에 따르면
통증의 직접적인 원인으로을 지목하면서전통 한의학에서 활용하던 치료법이활성화되고 있습니다.은
신경과 혈관이 지나가는
고위험 구조물이기에
정확하게 시술하려면
초음파를 활용하는게 좋습니다.
무릎 관절염으로 물이 찬
50대 환자
두번째는
대퇴 사두가 늘어난 케이스입니다.
강서구 마곡 에서 오신
50대 여자환자분이셨는데
무릎 연골 손상으로 인한
퇴행성 관절염으로
무릎에 자꾸 물이 차신다고요.
정형외과에서 주사 맞고
도수치료를 받으셨지만
차도가 없다며 오셨어요.

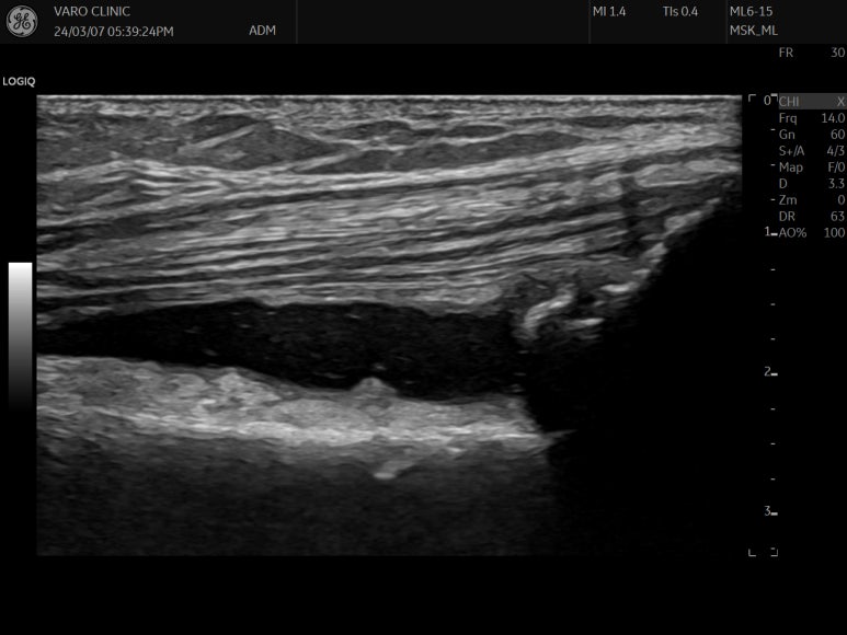
위 그림은 의
표준 초음파 영상인데요
정상적으로 이렇게
무릎 관절낭 주머니(SPR)가
2mm 이내로 보여야 합니다.


하지만 해당 환자분은
은정상 모습과 달리무릎 관절낭이많이 부어있으셨어요.
염증으로
진물(삼출액)이 생기고
그게 관절 안에 고이는 것이죠.
관절인성 근육 억제,
근육 약화
무릎 관절낭염 환자의
20~50%는
대퇴 사두 근력이 약해집니다.
관절낭에 물이 차면서
기계적 자극이 생기고요.
침해수용기를 통한 구심성 자극이
중추신경계로 전달되면
무릎 주변 근육을
약하게 만듭니다.
근육 활동이 줄어들면
위축되어 움푹 들어가죠.
이러한 중추성 신경 억제는
라고
부르는데요.
일반적으로
대퇴사두근 중에서
가
먼저 나타납니다.
내측광근 약화 치료
핵심 혈자리, 혈해
내측 광근이 약해진
퇴행성 관절염을 치료하는
핵심 혈자리는
혈입니다.

관절 내부 염증이기 때문에
좀 더 깊은 쪽까지
자극량을 높여야 하는데요.
이렇게 심부까지
깊게 침을 놓을 때
주의할 것이 있어요.
우리 몸 깊은 곳에는
큰 동맥과 신경이 위치하기에
초음파 진단기로
혈 자리 주변의 해부학적 구조들을
미리 확인해야 합니다.
무릎관절의 감각을 지배하는
신경 분지인
를
찌르지 않도록
약침으로 경로를 열어주고요.
에서
내측 광근의
심부 근막 깊이로
천천히 약침을 쏘면서
진입합니다.
까맣게 이들어가는게 보이시나요?
이렇게 약침 수압을 이용해
주변 조직을 떼어냅니다.
목표 부위까지
정확하게 시술하려면
경혈 초음파가 필수겠죠?
약침 후에
스캔한 영상을 보면
의
최대 효과 깊이로
정확하게 시술된 것을
알 수 있습니다.
무릎 관절염 상태마다
개인 체질마다 차이가 있지만요.
은
주 3회 주기로
총 30회 가량 치료하면
차도를 보입니다.
VARO 비수술 치료법
바로한의원 의료진은초음파를 활용한 약침, 도침을 위주로 한비수술 치료법을 개발하였습니다.
대한한의사협회 보수교육 강사로 활동하며
에 대한 최신지견을
학계에 공유하고 있습니다.

특히 무릎 대퇴사두근에
특화된 치료법으로
국가대표 선수들이 치료받는 한의원입니다.
잘 풀리지 않는
대퇴 사두 통증으로
고생 중이신가요?
로
정확하게 치료받으시길
추천드립니다.
대퇴사두근 파열
무리한 스트레칭으로
대퇴 사두가 찢어지기도 합니다.
대퇴사두근 파열 케이스는
아래 글에서 정리했습니다.