드퀘르벵 병, 드퀘르뱅 건초염? 엄지손가락쪽 손목 통증엔 <초음파 도침> 치료

안녕하세요.
여러분의 몸을 바로 세우는 건강 지킴이,
바로한의원 안태석 원장입니다.
혹시 아기를 안거나, 물건을 들 때
심지어 스마트폰을 사용할 때
엄지쪽 손목에 찌르는 듯한 통증을
느껴보신 적 있으신가요?
많은 분들이
'손목을 좀 썼더니 아픈가 보다'
하고 넘기시지만,
이건 **'드퀘르벵 건초염'이 보내는
염증 신호일 수 있습니다.
흔히 '엄마 손목병'이라고도 불리죠.
드퀘르벵 협착성 건초염, DQST
그 원인은?

이 통증의 원인은
바로 엄지를 움직이는 두 개의 힘줄,
즉 장무지외전근(APL),단무지신근(EPB)의 건초염으로 시작됩니다.
'건초'라는 힘줄집이 붓다보면
힘줄이 변성되면서 붓게 되고요.
나중에는 힘줄이 통과하는
좁은 터널(신전 지대)까지도 병들게 됩니다.
드퀘르벵 건초염, 다 똑같은 상태일까?
그런데, 이 드퀘르벵 병이
사람마다 문제 부위가 각기 다르다는 점,
알고 계셨나요?
상태가 다르기 때문에
어떤 사람은 스테로이드 주사 1-2방에 금방 낫고
어떤 사람은 수십번의 주사로도 낫지 않죠.
오늘은 최신 연구를 바탕으로
드퀘르벵 힘줄염의 숨겨진 유형들을 알아보고,
한의학에서는 초음파를 이용해
어떻게 치료하는지 알려드리겠습니다.
드퀘르벵, 최신 분류법
최근 453명의 드퀘르벵 환자를 대상으로 한
대규모 초음파 연구 논문이 발표되었습니다.
동탄의 김태환 원장님께서 소개해주신
이 연구는 초음파를 통해 드퀘르벵 건초염이
얼마나 다양한 유형으로 나타나는지를
명확하게 보여줍니다.

@ doi.org/10.1016/j.hansur.2024.101975
연구에 따르면 드퀘르벵 협착성 건초염은
두 힘줄
힘줄을 둘러싼 터널, 신전 지대(retinaculum)
칸막이(septum)
3가지 중 정확히 어디까지, 얼마나 병들었는지에따라서 크게 8가지 유형으로 분류했습니다.
드퀘르벵, 다 같은 병이 아닙니다.
이게 왜 중요하냐면,
만약 두 힘줄 중 하나는 멀쩡한 힘줄인데
초음파 없이 멀쩡한 힘줄쪽에 주사한다면
효과가 떨어지겠죠.
또, 힘줄 사이에 칸막이가
염증을 줄여주는 약물이 퍼지는 것을 막아서
주사 치료가 실패할 수도 있습니다.
그리고 선천적으로도
힘줄이 각각 하나로 존재하는게 아니라
여러 개로 나눠진 사람들도 있고요.
그 악세서리로 있는 힘줄을 위한
칸막이가 추가된 사람들도 있습니다.

@ @ doi.org/10.1016/j.hansur.2024.101975
그 중 특히 주목해야 할 타입이
바로 'Type 4' 같은 환자들입니다.
엄지를 들어 올리는 '단무지신근(EPB)' 힘줄과
그 주변 터널에만 염증이 있고,
바로 옆에 있는 '장무지외전근(APL)' 힘줄은
아주 건강한 상태입니다.
생각해보세요.
두 개의 힘줄 중 범인은 오직 하나인데,
만약 이 사실을 모르고
터널 전체에 주사를 놓는다면 어떨까요?
불필요한 정상 부위까지 자극하게 되는 셈이고,당연히 치료 효율도 떨어질 수밖에 없습니다.
이런 경우에는
'진짜 범인'인 EPB 힘줄만
단독으로 치료하는 것이 효과적입니다.
열결혈, 초음파 도침
이때 한의사의 새로운 눈이 되어주는 것이
바로**'경혈 초음파'입니다.
한의학에서 드퀘르벵 건초염을 치료하는
핵심 혈자리는 '열결(列缺)'혈입니다.**
드퀘르벵을 일으키는 두 힘줄이
바로 아래로 지나가죠.
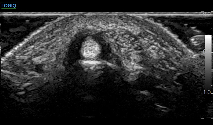
@ 바로한의원 열결혈 초음파
바로 이 '열결혈' 부위에서
두 개의 힘줄(APL, EPB)을 각각 구별하고,
힘줄 사이에 칸막이가 있는지 확인하고요.
어느 쪽 힘줄과 터널이 얼마나 부어있는지
정상측과 비교합니다.


'표준 경혈 초음파 영상'과 비교했을 때
차이가 보이시나요?
초음파 도침과 약침,
열결혈
이러한 드퀘르벵 건초염은
염증과 유착이 주요한 문제이기 때문에
유착을 제거하는'초음파 도침'부터먼저 시술합니다.
초음파 도침
건강한 힘줄은 건드리지 않고,
유착 부위만 도침으로 떼어내는 거죠.
초음파 약침
이어서 지대 주변 염증 부위에초음파 약침을 시술합니다.
이것이 바로 '한의 초음파'에서 표방하는
정밀 **'표적 치료'입니다.
빠른 회복 방법?
정확한 진단에서 시작됩니다
엄지손가락쪽 손목 통증을 일으키는
**'드퀘르벵 건초염'은
사람마다 염증의 위치와 범위가 모두 다릅니다.
따라서 진짜 원인이 되는 힘줄만 정확히 찾아내
치료하는 것이 매우 중요합니다.
한의학에서는 '열결혈'을 초음파로 보면서
염증 유착 부위를 도침으로 떼어내고약침으로 염증성 통증을 가라앉힙니다.
아픈 곳만 효율적으로 치료하는 것이죠.
손목 통증으로 고생하고 계시다면,
더 이상 참지 마시고요.
가까운 한의원이든 병원이든
진짜 원인을 진단 받으시길 바랍니다.
오늘 포스팅이
여러분의 손목 건강에 도움이 되셨기를 바랍니다.
지금까지 안태석 원장이었습니다.
감사합니다.

바로한의원
서울특별시 강서구 화곡로 143 충효빌딩 3층