블로그/칼럼 공지사항
만성 발목 불안정성, 바깥쪽 전거비인대 완전파열, 꼭 <수술>해야 할까?
블로그 2026년 3월 20일

만성 발목 불안정성, 바깥쪽 전거비인대 완전파열, 꼭 <수술>해야 할까?

안태석
의료 감수 안태석 대표원장

발목 바깥쪽 인대가

완전히 끊어졌는데

꼭 수술해야 할까요?

안녕하세요

서울 바로한의원에서

만성 발목 불안정성을 진료하는안태석 원장입니다.안태석 원장 대표약력

대한한의영상학회 교육이사

미국 초음파 진단 자격자 모임

한의초음파연구회 부회장

근육 초음파 베스트셀러

저자

대한한의사협회 초음파 보수교육 강사

초음파 도침 약침 중재술

한의표준임상진료지침(CPG) 자문

최근 발목을 자주 삐끗해서

오시는 환자분들이 많은데요.

1년에 1번 이상 다치는 경우

인대 재건 수술을 권유 받게 됩니다.

그래서 오늘은

통증 초음파 12년차

현직 한의사가

만성 외측 발목 불안정성에 대해

설명드릴게요.

잘 읽어보시고

쾌유되시길 바랍니다.

만성 발목 불안정성?

만성 외측 발목 불안정성**은

(Chronic lateral ankle instability)

발목 바깥쪽

'인대'**와 **'관절 연골'**이

손상되어 나타납니다.

불안정성 진단 기준**은

  1. 발목을 삐끗하거나

(Sprain, 염좌)

  1. 갑작스럽게 꺾이는게

(giving way, 굴복)

1년에 1번 이상

나타나는 것이죠.

기능적 불안정성, 기계적 불안정성

만성 발목 불안정성은

기게적 불안정성**과

기능적 불안정성**으로 분류됩니다.

기계적 불안정성**은

발목을 늘린채로 검사하는

초음파, 엑스레이에서

발목 관절이 4mm 이상 벌어지는

불안정성이 보이고요.

기능적 불안정성**은

초음파 검사상 관절이 불안정하지 않지만

불안정한 증상이 있는 것입니다.

기능적 불안정성은

발목 위치를 인식하는

고유감각 수용기,

즉, 신경계 문제이기 때문에

수술을 하지 않습니다.

발목 인대 완전파열, 30대 여성

오늘 소개해드릴 케이스는

화곡동에서 오신

30대 여성 환자분이십니다.

어렸을 때

발목을 크게 접질린 다음에

자주 삐끗하게 되었고

5일 전에 다시 넘어지셨다고요.

정형외과에서전거비인대 완전파열로 진단받고수술하라고 했는데,

초음파 도침으로 치료받고 싶어서

바로한의원을 검색해서 오셨답니다.

경혈 초음파, 구허혈

발목 바깥쪽이 많이 부어있고

열감이 심한 편이였습니다.

한의학에서 이러한 발목 불안정성을 치료하는

핵심 혈자리는 구허혈입니다.

@ 비저블 바디

구허혈에는

전거비인대가 지나가는데요.

전 : 한자로 앞 전(前)

거 : '거'골

비 : '비'골

바깥 발목의 앞쪽

거골과 비골을 단단하게 잡아주는

인대입니다.

정상적으로

일자로 주행하는

밝은 인대 섬유가

비슷한 두께로 보여야 합니다.

하지만 우리 환자분

왼쪽 발목 구허혈은

전거비 인대가 완전파열되어

인대가 보이지 않고

관절도 까맣게 부어있습니다.

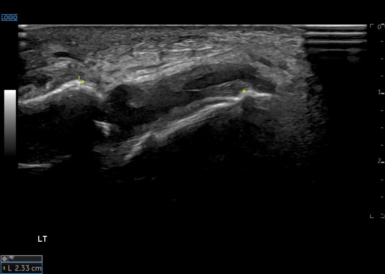
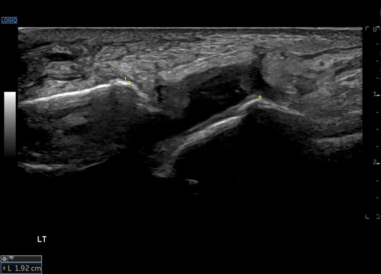
부산대 한의학전문대학원

오명진 교수님께 배운대로

관절 사이가 얼마나 벌어지는지

체크해봅니다.

인대가 완전 파열되어서

두 뼈를 고정해주지 못하면요.

거골과 비골 사이 간격이

4mm 이상 벌어집니다.

안정시에

두 뼈 거리는

1.92cm 였고요.

내번 스트레칭할 때

두 뼈 거리는 2.33cm로

4.1mm 벌어집니다.

구허혈에서 확인한

경혈 초음파 소견상

전거비인대가제 기능을 못하는 상태네요.

발목에는 많은 인대가 있기 때문에

전거비인대 하나만 파열됐다고

꼭 수술해야 하는건 아니고요.

발목 바깥쪽 뒤쪽

신맥혈에서

'종비인대'**를 확인해봐야 합니다.

'종'골과 '비'골을

안정적으로 고정해주는 역할을 하죠.

다행스럽게 이 환자분은

종비인대가 정상적으로 기능하고 있었습니다.

정형외과에서

전거비인대 완전파열으로

진단 받았지만

발목을 다치는 횟수가

3-4년에 1번꼴이라

만성 발목 불안정성 진단 기준인1년에 1번이 아니라는 점,평소에는 발목이 아프지 않다는 점**을

종합해서

6개월간 VARO 비수술 치료를

받기로 결정했습니다.

수술 적응증, 가이드라인?

어떤 경우에 수술이 필요한지

가이드라인을 정리해드릴게요.

  1. 6개월간 주 3회씩 비수술 치료를 받았는데도

발목 불안정성이 계속되고

초음파/MRI상 인대와 연골 손상이 증명된 경우에

수술을 고려해야 합니다.

  1. 발목 바깥쪽에

전거비인대(ATFL)와

종비인대(CFL)

모두 파열되고,

거골하관절 불안정성이 있다면

인대 재건술이 필요합니다.

  1. 경골-거골 인대 손상과

골연골 병변

둘 다 존재할 경우에는

이 부분도 함께 수술해주는게 좋습니다.

인대가 완전 파열된지 오래되어

복구할 인대가 남아있지 않는 경우에는

내 몸의 다른 부위 인대를 떼와서 사용하는

자가이식도 가능합니다.

끊어진 인대를 복구하고

손상된 연골을 다듬어준 뒤에

재활치료를 하는 것이죠.

이미 수술한 경우 재활?

수술 후 재활 치료는통상적으로 6개월 이상 필요한데요.

관절경 수술 후 2일차부터

보조기를 이용해서 발등쪽으로 들어올리는

족배굴 가동 운동과

부분 체중 부하를 하셔야 하고요.

스포츠 활동 복귀 전에

발목을 움직일 수 있는 범위와

관절 안정성,

근력 세가지 모두 완전히 회복되어야 합니다.

하나라도 회복되지 않은 상태에서

운동을 시작한다면

연골이 손상될 가능성이 높습니다.

VARO 비수술 치료법

바로한의원 의료진은

초음파 보수교육 강사로 활동하며

임상 초음파를 학계에 공유하고 있습니다.

정밀한 진단과 세밀한 치료로

K리그 국가대표 선수들이 치료받는 한의원입니다.

만성 발목 불안정성으로

고생하고 계신가요?

정밀 초음파 가능한 의료기관에서

치료 받으시길 추천드립니다.

전거비인대 전층 파열?

구허혈에서

전거비인대 전층파열과 치료법은

아래 글에 정리했습니다.

  • 본 게시물은 정보 제공을 목적으로 의료광고법 제56조 1항을 준수하여 의료진이 직접 작성한 글입니다. 게시물의 의료 영상은 바로한의원 환자분들의 동의하에 촬영되었습니다.

  • 환자분 상태에 따라 개인별 효과와 부작용에 차이가 있습니다. 의료진 상담을 통해 치료방법과 수술 여부를 결정하시기 바랍니다.

  • 바로한의원은 동의보감 허준의 고향, 서울 강서구 양천구 지역에 위치합니다. 자동차 보험으로 발목 염좌가 생긴 경우 교통사고 후유증 진료도 가능합니다.

바로한의원

서울특별시 강서구 화곡로 143 충효빌딩 3층

고민되는 증상이 있으신가요?

바로한의원에서 1:1 맞춤 상담을 받아보세요.

안태석

안태석 대표원장

초음파 약침의 새로운 기준을 만들어가는 한의사. 13년간 초음파 약침과 도침을 시술하며 SCIE/SCOPUS 등재 국제학술지에 9편의 논문을 발표하였고, 초음파 근육학 전문 서적 「초음파로 보는 알짜근육학」 베스트셀러를 집필했습니다. 올림픽 금메달리스트, 국가대표, K리그 프로선수들의 비수술 치료를 담당하고 있습니다.

의료진 소개 더보기 →