멍든 자리 혹<이것>일 수 있습니다. 타박상 어혈 도침 치료 멍 빼는 법
목차
안녕하세요.
미국진단초음파협회 자격자 모임인
한의초음파연구회 학술이사문지현 원장**입니다.
멍든 곳에
큰 혹이 생겼는데
이거 빨리 좀 뺄 수 없을까요?
화곡동 어혈 한의원
강서구 우장산역 에서
환자분이 내원하셨습니다.
10일전 빗길에 넘어져
멍은 점점 빠지고 있는데
큰 혹이 생겨없어지지 않는다고
한의원에서 치료가 될지
궁금해하셨어요.
어혈 빼는 치료**는
한의원에서 굉장히
많이 하는 치료입니다.
기본적인침 치료뿐만 아니라, 어혈제거에 효과적인어혈 약침,
혈종과 삼출액 등을 배출시키는한약 치료**,* 재생 촉진을 위한도침 치료*등
빠르게어혈을 제거할 수 있죠.

@ universityurgent.care
해당 환자분은
멍이 심한 것은 둘째치고
볼 부위가 커다랗게 부어올랐고혹이 만져졌기 때문에
먼저, 경혈초음파를 시행했습니다.
하관혈 경혈 초음파
족양명위경의 을
초음파로 관찰해보니
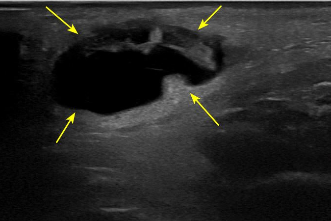
표준 경혈 초음파와 다르게
커다란 혈종이 보입니다.

멍 빨리 빼는 법
타박상으로 인해
혈관 밖으로 출혈이 생겨
피부 조직 밑에혈액이 고여있었던 것**이죠.
우리가 생각하는
일반적인 "멍"은
경미한 피하 출혈로
7~10일이면
서서히 사라지는 반면,
이렇게 큰 혈종**은 없어지는데 더 오랜 시간이 걸립니다. 초음파 가이드 하에 혈종을 빼내기로 합니다. 초음파 유도하 혈종 흡인 니들의 정확한 위치를 파악하고 주사기로 뽑아내는데요. 실시간으로 크기가 줄어드는 것이 보이시나요?
어혈 치료 전 후 혈종을 제거한 직후의 모습니다. 까만 영역의 혈종이 대부분 사라졌습니다. ## 육안으로도손으로 눌러서도딱딱한 혹이 바로 없어져환자분은 만족해하셨고, 나머지 멍도 빨리 빠질 수 있도록 침 치료를 시행하였습니다. * * * ## 어혈이란?*혈류순환 정체(뭉친 피)**와
체내 노폐물**을 말하는데요.
쉽게 말하자면
국소적인 혈액순환 장애,염증 상태**로 볼 수 있습니다.
좀 더 오래된 멍은
섬유화되고 기질화되면서
주변 조직과 들러붙기 때문에
도침 치료가 효과적**입니다.
멍들고 유착된 부위를
도침으로 떼어내준다면
회복기간을 줄일 수 있습니다
VARO 비수술 치료법

VARO 한의원 의료진은
초음파를 활용한 약침, 도침 치료와
체외충격파를 활용한 근건이완수기요법을 더해
비수술 치료프로그램을 개발하였습니다.

한의사협회 보수교육 강사로 활동하며
초음파를 활용한 치료기술을
학계에 논문으로 발표하였습니다.
특화된 비수술 치료법으로
국가대표와 올림픽 금메달리스트가
치료 받는 한의원입니다.
교통사고 후유증
어혈 치료
어혈 치료의
대표적인 질환은
바로, "교통사고" 후유증 인데요.
순간적인 충격으로
타박상과 조직손상이 생긴
교통사고 후유증은
초기 3주 골든타임** 내에
어혈 치료**가 반드시 필요합니다.
화곡동 바로한의원의
자동차 사고 후유증 클리닉은
아래 포스팅에 자세히 정리해놓았으니
참고하시길 바랍니다.