반월상 연골 파열 증상, 연골판 수술 <치료 사례들> 확인하세요!
미국진단초음파협회 자격자 모임
한의초음파연구회 부회장
안태석 원장**입니다!
오늘은
반월상 연골 파열로
수술을 권유 받고 오셨던 분을
치료했던 사례를
소개하겠습니다.
반월상 연골 파열 증상
17년 이상된 왼쪽 무릎의 퇴행성 관절염으로 오신 60대 여자 환자분이였습니다.
안 좋던 무릎이 최근 들어 유독 아프기 시작하더니, 며칠 전부터는 걷기도 힘들어 MRI 검사를 받으셨고요.
MRI상 반월상 연골 파열, 반월판 낭종 등 전형적인 퇴행성 관절염으로 무릎 관절에 물이 차서 관절경 수술을 권유 받고 오셨습니다.
겉으로 봐도 무릎이 퉁퉁 부어 있으셨죠.

초음파로 보는 알짜근육학, 319p
위 사진은 제가 집필한
영상입니다.
한의학의 음시, 양구혈을
초음파로 관찰하면
대퇴사두근 슬개골 부착부와
관절낭과 연결된 주머니(recess)가
이렇게 정상적으로 보여야 합니다.

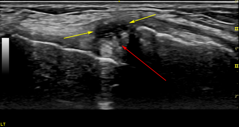
양구혈의 경혈 초음파 영상

해당 환자분의 양구혈
그런데 이 환자분은 정상 초음파와 다른 모습이죠?
빨간 화살표 부분이 까맣게 물이 찬 것이 보입니다.


MRI 영상 판독소견서를 보니
내측 반월판 후각의 오래된 만성 파열(MMPH Chronic tear)로 진단되었습니다.
통증이 가장 심하다는 음곡혈 주변을 세밀하게 촉진해보니 유달리 아픈 아시혈이 발견되었습니다.

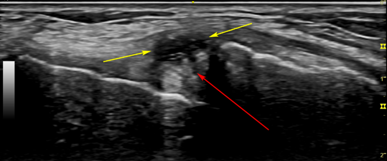
음곡혈의 경혈 초음파

가져오신 MRI 영상의 내측 반월상 연골 파열
가져오신 MRI 영상과
음곡혈 초음파를 비교해보니
내측 반월상 연골 파열(빨간 화살표)과
파열 부위와 연결된 반월판 낭종(노란 화살표)이
보입니다.
특히 저 물혹을 눌러보면 아주 심한 통증이 나타났는데, 뽑아보니 아주 끈끈한 젤라틱 점액이 꽉 차있었습니다.
최근 들어 악화된 통증은 반월판 낭종이 주변 조직을 압박하면서 생겼을 가능성이 있었습니다.
증상에 따라 수술 여부를 결정합니다
반월상 연골 파열로 인한 퇴행성 관절염은 수술 후에도 기능 이상이 남기 때문에 비수술 치료를 먼저 고려해야 합니다.파열된 반월판이라도 충격 흡수 역할을 할 수 있기 때문에 완전히 절제해내는 것보다 낫기 때문이죠.움푹 꺼진 매트리스 침대라도 딱딱한 맨바닥보다는 나으니깐요. 하지만 일상 생활을 하기 어려울 정도로 통증이 심한 경우에는 입원 후 수술을 먼저 하고 재활 치료를 합니다. 위 환자분은 걷기도 어려울 정도로 통증이 심해 정형외과에서 관절경 수술을 권유 받으셨는데요.
본인이 수술 전에 꼭 저한테 먼저 치료 받아보고 싶다고 강력하게 부탁하셔서
VARO 비수술치료법으로 치료하였습니다.
VARO 비수술 치료법
관절 염증을 완화하고
연골 재생 유도 효과가 있는
한약 치료를 기본**으로
주 3회씩 추나요법**과 함께
초음파 유도하 도침/약침 치료를
3개월간 시행하였고요.
통증이 많이 호전되어
주 1-2회씩 5개월간
재활 치료를 하였습니다.

치료 전

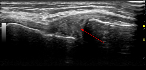
8개월 치료 후
8개월 치료 후에음곡혈에서 촬영한경혈 초음파 영상**입니다.
연골 파열로 인한 반월판 낭종(노란색 화살표)이
변화된 것이 보이시나요??
하지만 손상된 연골은 완전히 회복되지 않기 때문에
앞으로도 꾸준한 관리가 필요합니다.
40대 환자분의 치료 후기
반월상 연골 파열로 오셨던 40대 환자분께서 치료 종결 후에 후기를 남겨주셨습니다.
블로그 이웃 추가 후에 아래 링크를 누르면 확인하실 수 있습니다
https://blog.naver.com/varo_clinic/223215931157
바로한의원의 특화된 치료법
약침/도침과 체외충격파,
그리고 추나요법을 더한 VARO 비수술 요법으로
가벼운 근육, 인대, 신경 통증부터
무릎 연골 파열, 퇴행성 관절염을 치료합니다.
누적된 치료 경험과
특화된 운동손상증후군 치료 노하우로
올림픽 금메달리스트, 국가대표, K리그 프로선수들 뿐만 아니라
국회의원, 대사관 등 고위직 공무원들이 치료받는 한의원입니다.

서울 서부권에서
가장 치료 받고 싶은 양한방협진 병원,
주변에 소개해주고 싶은 한의원,
치료 결과로 보답하는 한의원이 되겠습니다~!