발목인대 늘어났을때, 얼마나 치료해야하나요? [전거비인대, 종비인대 발목염좌 한의원]
목차

내번염좌로 손상된 전거비인대
발목을 삐끗했어요. 인대가 파열된 건가요?
'발목 염좌'는 한의원에 내원하는 환자 중 빈도가 아주 높은 질병군입니다.
그저 길을 걷다가 발목이 휙- 돌아가는 경우부터, 계단에서 넘어지며 꺾이는 경우, 축구를 하다가 미끄러지며 완전히 뒤집히는 경우까지. 다치는 환경과 그에 따른 손상 정도는 정말 다양합니다.
며칠 전 발목을 접질렀는데 이대로 둬도 되는 건지, 혹시 인대 파열은 아닌지 한 번쯤은 걱정해보셨을 텐데요. 중요한 점은 그냥 방치해둬선 안된다는 것입니다.
오늘은 발목 손상, 특히 발목 외측 염좌에 대해 정확히 알고 대처하는 방법을 알아봅니다.**

발목 외측 부위에서 손상에 취약한 2가지 인대를 살펴보겠습니다.
1. 전거비인대 (Anterior Talo-Fibular Ligament, ATFL)
거골과 비골을 잇는 인대라고 하여 전거비인대라고 부릅니다. 발목 외측 손상에서 손상 빈도가 70%로 가장 높은데요. 발바닥이 내측방향으로 꺾이는 방향을 내번(inversion)이라고 하며, 이 내번염좌(inversion sprain)에 가장 취약한 구조물입니다.
인대는 혈액순환이 잘 되지 않는 곳이므로 손상 후 회복이 더디고 후유증을 남기기도 합니다. 한 번 늘어난 고무줄이 탄성을 잃듯 한 번 손상된 인대 또한 이전과 같은 역할을 못하는 경우가 많습니다.
2. 종비인대 (Calcano Fibular Ligament, CFL)
종비인대는 전거비인대와 다르게 발바닥 수직방향으로 향합니다. 종골과 비골을 이으며, 발목이 꺾이지 않도록 단단하게 고정하는 구조물인데요. 전거비인대 다음으로 발목염좌의 주된 손상 포인트입니다.
전거비인대 단독으로 다친 것이 아니라 종비인대의 손상까지 겸해져있다면 치료기간은 더욱 길어지며, 치료가 적절하지 못한 경우 만성 통증 및 퇴행성 변화를 야기합니다.
심한 경우엔 이 2가지 인대를 제외한 나머지 부분들도 다칠 수 있습니다.
인대 염좌? 인대 파열? 어떻게 다른가요?
염좌(Sprain)는 말 그대로 인대가 늘어난 것, 파열(Rupture)은 인대섬유의 일부분이 찢어진 것입니다.
고무줄이 팽팽하게 늘어난 상태에서 더 큰 힘을 가하면 끊어지게 되겠죠.
이러한 경계를 Grade로 나눈다면,1단계는 경미한 염좌로 스트레칭이 되었으나 파열은 없는 상태. 2단계는 부분적인 파열이며, 3단계는 완전 파열로 발목의 불안정해지게 됩니다.**
인대는 뼈와 뼈를 잇고 관절을 보강하는 구조물로서 파열이 생긴다면 해당 관절이 경직되어 운동성이 떨어지고, 무게를 지탱하는 능력이 감소하게 되죠.

내번염좌 발목 테이핑
Grade1~2의 단계에서는 손상정도에 따라 테이핑, 부목, 3-6주간 깁스로 고정해야 하며
한의원에서는 1~2단계 뿐만 아니라 수술 전후로도 인대섬유의 재생을 돕는 침, 화침, 약침 등의 치료를 시행하고 부항, 뜸, 전기치료 등으로 혈액순환을 촉진하여 빠른 회복을 도모합니다.
임상적으로 Grade1와 Grade2 정도의 손상은 일반적으로 1주~6주정도의 보존적 치료가 가능하나 2개의 인대가 동시에 완전파열되거나, 인대손상 이후 관절의 불안정이 있는 경우 수술이 필요 할 수 있습니다. 수술 후에는 재활 또한 요구되죠. 수술의 여부를 결정하기 위해서는 반드시 영상검사가 필요합니다.
인대만 다친 건지 어떻게 알 수 있나요? 뼈는 괜찮은걸까요?


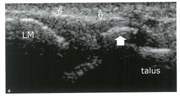
▶좌측: 정상 ATFL 인대 ▶우측: 부분파열된 ATFL 인대 (※출처:근골격계 초음파. Stefano bianchii, Carlo Martinoli)
인대의 손상은 초음파나 MRI를 통해서 정확하게 진단할 수 있는데요.
좌측 그림에서 화살표로 표시되어있는 부분이 정상적인 전거비인대입니다. 뼈와 뼈 사이를 수평하게 잇고, 섬유의 texture와 에코도가 일정하죠. 그와 비교하여 우측 그림을 보시면 중간의 인대섬유가 끊어지고, 부어있는 모습이 보입니다. 에코도 어두워지고 지저분해져있죠. 상처가 난 부위입니다.

견열골절(avulsion fracture)
하지만 인대가 파열되는 것에서 멈추지 않고, 더 큰 충격이 가해진다면 어떻게될까요?
순간적인 장력에 의해 인대가 붙어있는 자리의 뼈까지 떨어져나오는 **견열골절(Avulsion Fracture)이 발생하게 됩니다. Talus로 부터 떨어져나온 뼈 조각이 인대 내부에 자리잡고 있고, 그 위를 덮는 인대는 다른 부위에 비해 두꺼워집니다. 이처럼 뼈의 손상이 동반된 경우엔 치료기간이 더 길어지게 되죠.
떨어져 나온 뼈의 크기가 매우 작기 때문에 X-ray, 심지어 CT에서도 보이지 않는 경우가 있습니다. 이런 경우를 진단하기 위해 초음파검사는 굉장히 유효합니다.
인대가 파열된지 벌써 3개월이 지났는데 아직도 아파요.
비골두 전하방변위를 후상방으로 교정
다친지 4-6주가 되지 않은 아급성염좌의 경우, 전거비인대가 부착된 비골을 정상범위로 배치시키는 비골두 후상방교정을 실시하게 됩니다. 적절한 처치를 통해 통증이 만성화 되지 않도록 하는 것이 중요한데요.
하지만, 몸은 항상 제 맘 같지 않죠.
치료 시기를 놓치거나, 치료를 함에도 발목에 무리한 일을 반복하는 경우, 너무 오랜기간 고정한 경우 후유증이 남게 됩니다. 인대의 유착으로 관절의 가동범위가 떨어지고, 움직임의 제한이 생기죠. 그런 경우엔 슬라이딩의 모션을 회복하는 교정을 통해 원래상태로 되돌려야 합니다.
거골 슬라이딩 회복
검사를 받으셨다면 영상 CD를 지참해서 내원해주시고, 그렇지 않은 경우엔 한의원에서 진료 후 적절한 검사를 의뢰합니다. 인대가 늘어난건지, 인대파열이 있는지, 어느 부위를 다쳤는지 제대로 파악한 뒤에 적절한 조치를 받으시길 바랍니다.