발목 뒤쪽 뒷꿈치가 아파요. 아킬레스 건염, 건증, 석회화, 점액낭염 치료 [한의원]
목차

며칠 전 발목 뒤쪽이
아프다는 환자분께서 오셨습니다.
정확한 진단 없이
막연하게 물리치료와
진통제만 드시다 오셨다길래
협력 병원으로 초음파 검사를
의뢰하였습니다.
검사 결과
1) 아킬레스 건증, 석회화2) 거골하 관절염
으로 진단 받으셨는데요.
오늘은 발목 뒤쪽 통증에 대해서
설명하려고 합니다.

아킬레스건 이란?
비복근과 가자미근
2가지 근육이 연결되는
공통 힘줄입니다.
굽이 높은 신발을 신거나
오래 걷거나
오래 서있으면

이 근육들이
뭉치고 긴장되면서
[근막통증 증후군]**을
일으키게 됩니다.

또 운동 중에
[힘줄 파열]**이 발생하는 경우가
있는데요.
출처 wikiem
초음파 검사에서
확인된 파열 범위에 따라
반드시 수술이 필요한 경우도
있습니다.

또한 아킬레스 힘줄은
직진하기 때문에
힘줄의 마찰을 줄여주는
건초가 없이
건막만 있는데요.
오래 서있거나
갑작스러운 운동으로
힘줄 주변에 염증이 생기거나
인근에 위치한
점액낭에 염증이 생기는 경우가
있습니다.

이를
[힘줄주위염, 점액낭염]
이라고 합니다.
이런 상태에서 충분히 쉬지 못하고
반복적으로 이어지면
힘줄에 염증물질이 축척되면서
힘줄 자체가 두꺼워지게 됩니다.
퇴행성 변화가 오게 되는 것이죠.
.jpg)
이를 **[건증]이라고 합니다. 과거에는 ## [건염]**이라는 용어를
더 많이 사용했지만
최근 조직학적 연구결과에서
힘줄 내부에
염증세포가 발견되지 않아
[건증]** 이라는 용어를
더 많이 사용하고 있습니다.
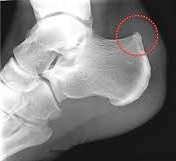
사람에 따라서는
힘줄이 부착된 뼈를
잡아당기면서
뼈가 점점 자라나기도 합니다.


이를
[하글런드 변형]Haglund's deformity
이라고 합니다.
뼈에 가시가 돋는 모양이라
뼈 골, 가시 극
[골극]**이라고도 부릅니다.
여기다가
혈액순환까지 잘 되지 않으면
석회가 침착되기 시작합니다.

이를
[아킬레스건의 석회화, 석회성 건염]
이라고 합니다.
특히 아킬레스건은
어깨의 극상건과 함께
혈액순환이 안되기로
악명 높은 곳입니다.
그리고
발목 뒤쪽 통증 중에서
발목을 접질린 뒤에
관절 연골이 찢어져서
관절낭염이 함께 있는 경우가
꽤 많습니다.
.jpg)
위 그림처럼
발목 관절낭염이나
거골하 관절낭염이
동반되어 물이 찬 경우라면
삼출액을 없애고
염증을 치료하는 기간도
더 길어지게 됩니다.
그러면
발목 뒤쪽 통증 치료는
어떻게 해야 할까요?
혈액순환이 잘 되도록
전기침, 화침, 뜸 등
여러 치료를 병행하면
도움이 되는데요.

[ 바로한의원 x 한의사랑 ] 공동개발한 스파우트 파우치
혈액순환을 도와주는
한약 치료
틀어진 관절을 바로잡는
추나 교정
힘줄 재생을 유도하는
약침 치료
인대 증식 재생을 돕는
화침 치료
연골 재생에 도움이 되는
전기침 치료를
병행한다면
치료기간을
훨씬 더 단축시킬 수 있습니다.

잘 낫지 않는 발목 통증으로
고생하고 계시다면
가까운 한의원에서
과학적인 한의치료를
받으시길 추천합니다.


바로한의원
서울특별시 강서구 화곡로 143 충효빌딩