발목 염좌 전거비인대 파열? <이 글>부터 읽어보세요
안녕하세요
미국진단초음파협회 자격자모임한의초음파연구회 학술이사문지현 원장입니다.
원광대 한의과대학 초음피 특강
최근에 내원하셨던
환자분께서
네이버 리뷰를 남겨주셨더라고요.
구로구 고척동에서 오신
30대 여성분이셨는데,
정형외과에서
을진단받고
한의 치료를 원해
찾아오셨습니다.
이 글을 읽고 계시다면
아마도 발목 인대 파열로고생하고 계실텐데요.
실제 치료사례를 들어
설명해드릴테니
끝까지 읽어보시고도움되셨으면 좋겠습니다.
발목염좌, 전거비인대 파열
해당 환자분은
전날 밤 어두운 곳에서발목을 삐끗하면서**
발목 앞쪽 바깥쪽이
붓고 아프다고 하셨어요.

** 친 부위가아프다고 하셨는데요.**
정형외과에서
발목 전거비인대 부분파열로
진단 받고 오셨습니다.
전거비인대
전거비인대Anterior Talofibular Ligament, ATFL라는
용어가
어려우실 수 있는데요.
풀어서 해석하면
전 : 앞에 있는**
거 : 거골과**
비 : 비골을 연결하는**
입니다.
발목 염좌에서가장 많이 다치는 부위죠.*

@ DOI:10.1016/j.foot.2015.05.004
위 그림에서
ATFL 이라고 표시한 인대인데요.
그런데 전거비인대 모양이사람마다 약간씩 다릅니다.
인대 밴드가
1개인 사람도 있고요.
2-3개로 나눠진 사람도 있습니다.

@ https://doi.org/10.1053/j.jfas.2018.12.009
그림 A는
전거비인대가
1개 밴드로 되어있고요
그림 B, C는
2개와 3개의 밴드로이뤄져있습니다.
제가 한의과대학에서
해부학 실습을 해보면
우리나라 사람의 절반은위, 아래2개로 구성되어있습니다.
@ https://doi.org/10.1053/j.jfas.2018.12.009**
위쪽과 아래쪽 중에
한쪽만 다치는 경우도 있기에
ATFL-SB (Superior Band)
ATFL-IB (Inferior Band)로
구별해서 부릅니다.
*어느 혈 자리가 다쳤는지
*정확하게 진단해내야
침 치료도 정확하게 할 수 있겠죠.
경혈 초음파, 구허혈
한의학에서
발목 염좌를 치료하는
핵심 혈자리는
입니다.
을
초음파로 관찰하면
깊이에 따라서전거비인대,거골, 비골이 보입니다.
위 이미지는
의표준 경혈 초음파 영상인데요.
노란 화살표로
표시한 부분이
앞쪽 거골과 비골을 연결하는입니다.
표준 경혈 초음파상
*1) 비슷한 두께로
*2) 직선으로 주행하면서
3) 인대 내부 섬유 패턴이
보여야 하죠.
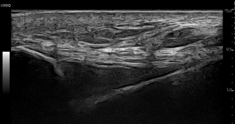
발목 염좌, 경혈 초음파
위 환자분의 경우
정형외과에서
초음파 검사를 하고 오셨지만
초기에 안 보이는미세골절도 있어서꼼꼼하게 체크해봤습니다.
우선, 문제가 있는 구허혈을
손 끝 감각으로 찾아내고요.
그 자리에
그대로 초음파 프로브를 대어
검사해봤습니다.


정상 혈자리와 다른게
보이시나요?
표준 경혈 초음파와 달리
1) 전거비인대가 두껍게부어있고*
**2)구불구불 주행하고요.*
3) 노란색 화살표 친인대 내부에 까만 틈이 보입니다.
경혈 초음파, 다이나믹 스캔
에서
표준 경혈 초음파와 달리
인대 파열이 의심되었을 때
** 인지 확인하는스캔 방법이 있습니다.**
한의 초음파계 선구자이신
부산대 한의학전문대학원
침구의학과 오명진 교수님께서**
고안하신 방법인데요.
전거비인대 뿐만 아니라
종비인대, 이분인대 등
여러 인대가한꺼번에 완전 파열되고관절을 침범하는 골절이 있는 경우응급 수술이 필요한 경우가 있거든요.
그런 환자분들은
한의원에서 침 치료를 할 것이 아니라
빠르게 대학병원으로 보내
수술해야 하기에
필수로 체크해야 할 검사입니다.
일차진료에서 한의사에게 주어진[설명 및 전원 의무]를 다하기 위해*
환자분들께최적의 진료를 제공하기 위해*
바로한의원에서는를 활용하고 있습니다.*
실시간 초음파 검사로인대를 스트레칭시켜서파열 정도를 확인하는 것인데요.
까만 틈을 중심으로
좌우가 벌어지는게 보이시나요?
파워도플러를 켜놓고
좀 더 빠르게 당겨봤는데요.
인대 아래 붙어있는
관절낭 캡슐까지 파열되면서
관절액이 넘어오는신호가 보입니다.
Flash artifact와 유사해서
헷갈리실 수 있는데요.
까만 틈에 국한되어
신호가 보이는 것은
관절낭 내부 액체의 빠른 이동을감지하는 것입니다.이렇듯 혈자리의 상태를초음파로 다시 확인한다면진단의 정확성을 대폭 높일 수 있습니다.
이런 은
통증수용기가
많이 민감해져 있기 때문에
체외충격파를 활용해인대를 풀어주는으로치료하고요.
본원에서는 대학병원에서 활용하는
로
구허혈을 치료하고 있습니다.
한의 진단, 혈어증[U612]
양방에서
인대 파열로 진단받으셨지만
한의학적으로는혈어증(血瘀證, 상병코드 U612)로진단되셨고요.
어혈을 풀어주는 대표한약,
당귀수산을 함께 처방해드렸습니다.
염증이 빠르게 감소하면서
통증과 부종도 가라앉게 됩니다.
전거비인대 완전파열,
수술해야 하나요?
전거비인대 하나만
완전파열된 경우
대부분 수술하지 않고 치료하고요.전거비인대 완전파열과동시에이 있을 경우수술을 고려합니다.
하지만 종비인대까지 파열되더라도
환자의 통증 정도가 심하지 않고
관절 내부 연골이 유지되고 있다면
가 우선입니다.
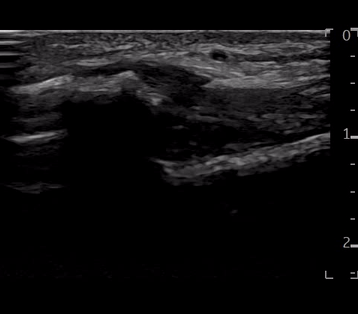
만성 발목 염좌
오래 전에
발목을 삐끗한 뒤로
만성적으로발목이 불안정한 분들도
많습니다.
두번째 소개해드릴 환자분은
30대 남자분이셨는데요.


표준 초음파 영상과 달리
구불구불 곡선으로어둡게 부은 이 보이시죠?
환자 상태에 따라
침을 놓는 깊이가
달라지게 됩니다.
이런 만성 발목 염좌는
인대 부착부 골막 깊이까지자극해서 재생 치료를 하게 됩니다.
초음파로 침을 확인하면서
미세 출혈을 일으켜
인대 재생을 유도하고요.는일반적으로주 3회 주기로총 30회 치료가 필요합니다.만성 발목 염좌는방치할 경우 관절염으로 진행될 수 있어가까운 의료기관에서꾸준하게 치료받으시길 바랍니다.
VARO 비수술치료법
바로한의원 의료진은
대한한의사협회 보수교육 강사로 활동하며**
경혈 초음파를
학계에 공유하고 있습니다.

발목 통증에 특화된 비수술 치료법으로
올림픽 금메달리스트가 치료받는 한의원입니다.
환자분들께 최적의 진료를 제공하기 위해
끊임없이 연구하고 노력하겠습니다.
발목 미세골절
발목 인대파열은
골절을 동반하는 경우가 많습니다.**
엑스레이에서 보이지 않는 발목 실금,
미세골절은 아래 글에서 정리했습니다.