발목 염좌 후 인대가 늘어났어요. 과연 인대만 다쳤을까요? [발목 관절염 한의원]
.jpg)
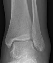
엑스레이상
인대가 늘어났다고
치료받으러 오시는 분들이
많습니다.
그런데
X-ray에서
인대가 늘어난게
잘 보일까요?
.jpg)
위 X-Ray 영상처럼
"인대" 그 자체는
잘 보이지 않고요.
"인대"란
뼈와 뼈 사이를 연결하는
구조물이기 때문에
뼈와 뼈 사이를 벌린 상태로
벌어지는 거리를 측정하여
인대의 상태를 진단합니다.

2개의 뼈를 연결하는
인대가 파열되면
두 뼈를 벌린 간격이
정상 범위를 넘어갑니다.
가장 많이 다치는
앞쪽 거비인대(ATFL)는
엑스레이상
거골과 비골의 거리가
4-6mm 이상 벌어졌을때
완전파열을 의심할 수 있고요.
단순염좌, 부분파열, 완전파열 등을
인대 손상을
정확하게 체크하려면
아래 그림처럼
실시간 초음파 검사나
MRI로 봐야합니다.
.jpg)
좌측: 정상 인대 / 우측: 손상된 인대
좌측 정상에 비해서
우측의 인대는
급성 염좌로 많이 붓고
어둡게 보입니다.
이렇게 관절을 고정하는
인대가 손상되면
발목 관절을
단단하게 잡아주지 못하기 때문에
그 뒤로도 자주 접질리게 됩니다.
그러다보면
연골 손상이나
관절의 염증까지도
진행됩니다.
사실,
인대의 부분파열은
잘 쉬면서
치료받으면
1-3주 내에 금방 호전됩니다.

발목 관절낭염의 MRI, 초음파 이미지
하지만
위 그림처럼
관절낭염이 동반된 경우는
3주 이상 불편감이 지속되고,
괜찮아지는것 같다가도
피곤하거나
비가 온다거나
많이 걸으면
금방 재발됩니다.

발목의 만성 통증은
세밀한 검사가 필요합니다.
강서구 화곡동에 위치한
바로 한의원에서는
개인 맞춤형 치료를 제공합니다.
