발목 위쪽 통증? 전하 경비인대 결합, 골간인대 파열 비수술치료법 <확인>
발목 위쪽 통증이
낫질 않았는데..
초음파 도침 맞으러
진작 와볼걸 그랬어요

안녕하세요
한의초음파연구회 부회장안태석 원장입니다.** 위 이야기는 경기도 일산에서 오신 [발목 인대 파열] 환자분이 하신**
말씀인데요.
저희 한의원에는
[전하경비인대, 골간인대]가 파열되어내원하는 분들이 참 많습니다. 심지어 3-4시간 거리의 지방에서
서울까지 찾아오실만큼
만성 인대 통증은
이
정말 효과적입니다.
오늘은
들이인대 손상을 어떻게 치료하는지실제 치료 사례를 들어설명드리겠습니다.
발목 앞쪽이 아파요
오늘 소개해드릴 케이스는
대전에서 올라오신
40대 초반 환자분입니다.
지난 겨울
스키 부츠를 신고 타다가
발목을 다치셨는데
인근 병원에서
인대가 찢어졌다고
들으셨다고요.

전거비인대가 파열됐다고
말씀하셔서
[구허혈]부터
로 체크해봤습니다.

그런데 빨간 화살표로 표시한
인대는 정상적인 형태였습니다.** 이런 경우 전하경비인대 결합과 골간인대를 확인해봐야 하는데요.
@ https://doi.org/10.1038/s41598-019-46973-4 위 논문 처럼 44% 사람들은 전거비인대와 전하경비인대 부착부가 연결되어 있는데요. 부위가 비슷해서 어느 인대가 다쳤는지 헷갈리는 경우가 많습니다. > 전하경비인대 손상 치료 > > 핵심 혈자리, 족양명경근 한의학에서 전하경비인대 파열의**
핵심 치료 혈 자리는
에 있습니다.

족양명경근 아시혈, 표준 경혈 초음파 @ 소노하니
부산대 침구의학과
오명진 교수님이 제시한
영상에서
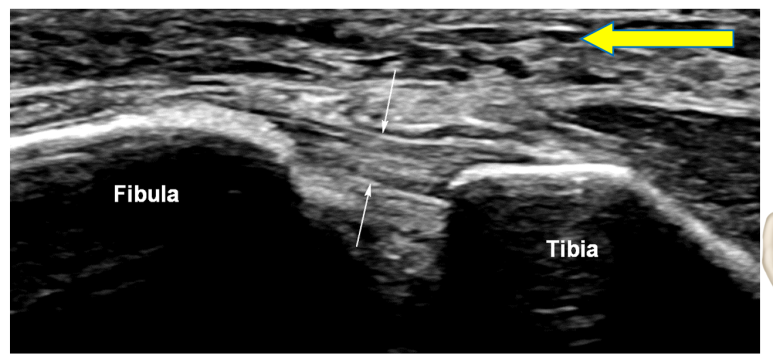
전하경비인대는 이렇게 보입니다.
인대 내부 섬유 패턴이
하얗게 잘 보이면서 인대 표면이
경골과 비골을 연결하는 선을넘어가지 않습니다. 그런데 위 환자분은
인대 내부 섬유 패턴이
없어지면서 까맣게 보이고요. 인대가 늘어나
많이 부어있는 상태였습니다.
이렇게 로
문제가 있는 혈 자리를 찾아정확한 깊이로 시술해야 합니다.*
초음파 도침 치료
해당 혈자리에서
초음파로 침 끝의 위치를 확인하며
가장 효과가 좋은 깊이로
도침을 시술합니다.

만성 염증으로
들러붙은 유착 부위를
도침으로 떼어내고요.
골막까지 자극해서
인대 재생을 촉진합니다.
개인별로 차이가 있지만
일반적으로 20회 정도
치료가 필요합니다.
제 때 치료하지 않는다면?
인대가 많이 찢어져
경비관절이 느슨해진 경우
발목 관절이 불안정해지고연골이 닳게 됩니다. 이러한 연골 손상이 누적되면
으로 진행되어수술이 필요한 경우도 있습니다. 수술을 하더라도
후유증이 남는 경우가 많으므로
반드시 초기 8주 내에치료 받으시길 추천드립니다.
VARO 초음파 도침
바로한의원 의료진은
한의사협회 보수교육 강사로 활동하며
치료법을
학계에 공유하고 있습니다.


특화된 치료법으로
올림픽 대표 선수들이
치료받는 한의원입니다.
전하경비인대 결합,
골간인대 손상으로 생긴
발목 위쪽 통증은 치료를
꼭 받아보시길 바랍니다.
발목 뒤쪽 통증
발목 뒤쪽 통증
종비인대 손상은 아래 글에서 정리했습니다.

바로한의원 서울특별시 강서구 화곡로 143 충효빌딩 3층