발목 접질렀을때, 미세골절과 인대 파열이 X-ray에서 안 보인다고?
목차
안녕하세요.
화곡역 바로한의원 재활의학과센터입니다.
저번 포스팅에서 말씀드린 것처럼 엑스레이에서 잘 보이지 않는 미세골절, 실금, 견열골절이 있습니다. 특히 촬영 각도상 뼈가 겹쳐보이는 발등, 발목, 손목 부위에서의 초기 골절은 X선에서 잘 보이지 않는 경우가 있습니다.
많이 아프지 않은데, 골절이라고?
발목을 접질렀을때, 많이 아프지 않은데 골절 진단을 받으시면 의아해하십니다. 하지만 골절이라고 해서 걷지 못하거나 통증이 심한 것은 아닙니다.
힘이 실리지 않는 부위의 골절은 잘 걸어다닐 수도 있고 통증도 심하지 않습니다.
뼈가 어긋나지 않고 작게 실금이 가는 경우에는 많이 붓지 않고, 별로 아프지 않다고 합니다.
하지만 작은 골절이라고 안심해서는 안됩니다. 혈액순환이 잘 되지 않는 허혈성 부위이거나 관절선을 침범하거나 제 위치에서 많이 벌어져 어긋난 경우에는 수술이 필요할 수 있습니다.모든 질환은 빠른 진단이 매우 매우 중요합니다. 진단이 정확해야 수술 여부도 결정할 수 있겠죠.**
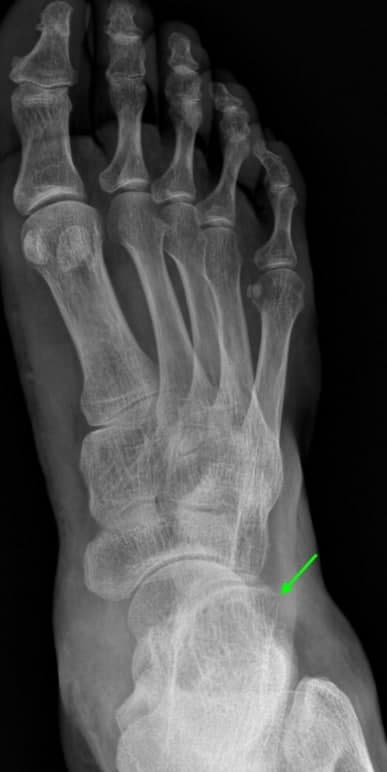
위 환자분은 오전 10시경 화곡역 계단에서 발목을 접질린 후 발등 통증으로 정형외과에서 X-ray 검사를 받으셨습니다. 담당 전문의 선생님께서 X선 판독을 보시고는 뼈는 괜찮고 인대가 늘어났다고 진통소염제를 처방해주셨습니다. 원래 다른 부위를 치료받던 환자분이라 영상CD를 복사하여 11시쯤 바로 한의원으로 걸어서 내원하셨습니다.
## 엑스레이를 꼼꼼하게 살펴보니 골절선이 명확하게 보이지 않았습니다.환자분의 발목에서 부어있는 곳을 2mm단위로 바둑판처럼 촘촘하게 하나 하나 눌러서 아픈 부위를 찾아봤습니다. 환자분께서 통증을 호소하는 곳은 종골이라는 뼈의 앞쪽 돌기였습니다. 발목을 접질렀을때 인대가 늘어나면서 파열도 잘 생기는 곳이고, 뼈를 잡아당기면서 골절도 자주 생기는 부위입니다. ## 무엇보다 제일 큰 문제는 종골 전방돌기가 엑스레이상 뼈가 겹쳐보여서 실금(미세골절), 견열골절이 잘 보이지 않는다는 것입니다. 걷는데 큰 지장이 없고, 인대를 늘려봤을 때 많이 아프지 않다고 하셔서 미세골절 가능성을 충분히 설명해드리고 MRI보다 CT 검사를 권고 드렸습니다. ## 작은 뼈 조각은 MRI에서 보이지 않기 때문에 뼈를 위주로 관찰하는 CT 검사가 골절 진단에 더 적합합니다. 만약 걷기가 어렵고 스트레스 검사상 통증이 심하다면 주변 인대, 근육, 연골 손상이나 뼈에 멍이 드는 골수 부종도 있을 수 있어 MRI 검사를 같이 실시해야 합니다. 어떤 검사를 하면 좋을지는 의학적 전문지식이 필요한 영역으로 진료의가 결정해드립니다..그러니까 크게 고민하지 않으셔도 괜찮습니다.
골절의 가능성이 있으므로 비탄력 테이핑으로 발목을 단단하게 고정하고 협력병원으로 즉시 CT검사를 의뢰하였습니다. ## X-ray를 찍은지 2시간 뒤인 12시반쯤 시행한 CT검사에서 종골 전방돌기의 골절로 진단되었습니다.
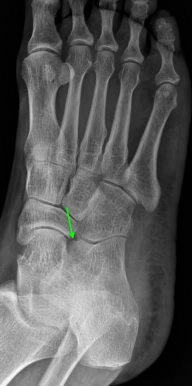
위 사진처럼 발등 골절이 좌측 X-ray에서 보이지 않았지만, 우측 CT에서는 보입니다.초기 미세골절, 견열골절, 실금은 단순 방사선 검사인 엑스레이에서 잘 보이지 않습니다.그렇다고 CT가 완전한 골절 진단법일까요?아닙니다. 연식이 오래된 예전 CT 검사에서는 2mm 이하의 작은 뼈 조각은 안 보일 때도 있습니다. 그래서 가급적 최신 640 CT나 초음파검사로 골절 의심부위를 촘촘하게 단면을 확인해보는 것이 좋습니다.**

튼튼한 뼈가 부러졌는데 인대는?
딱딱한 뼈가 부러질 정도의 충격이라면 인대가 같이 손상되는 경우가 많습니다.
엑스레이나 시티에서는 인대가 보이지 않으므로 초음파, MRI검사를 통해 파열 여부를 확인해야 합니다.
발목과 발등 외측에는 전거비인대, 종비인대, 종입방인대, 종주상인대 등 수많은 인대가 존재합니다.
특히 종골의 전방돌기는 두갈래인대(bifurcate ligament)가 늘어나면서 뼈 조각이 떨어지는 견열골절이 흔하게 발생하는 곳입니다.
골절에다가 인대가 늘어나거나 인대 파열까지 동반하면 그 후유증이 1~2년 이상 지속되기도 합니다.** 반드시 다친 직후부터 적절한 치료를 받아야 합니다.

미세골절, 견열골절의 치료법과 예후는?
수술이 필요하지 않은 미세골절이라면 뼈가 잘 붙도록 깁스로 잘 고정해야 합니다. 4주는 활동하지 마시고 절대 안정을 취해 주세요.
골절 부위가 벌어지면 가골이 크게 생겨 주변 신경을 압박하면 신경병증이 오래 갈 수 있습니다.
뼈가 붙는 기간은 환자의 연령과 골절 부위마다 차이가 있습니다. 성인 30대 남성 기준으로 일반적으로 6~8주 걸립니다. 예외적으로 중족골의 중족간부간 골절은 20주 이상 소요됩니다. 한의학에서는 골절 유합을 촉진하는 한약 치료, 파열된 인대를 재생하는 약침 치료, 통증을 완화시켜주는 전기침 치료를 합니다.
최근 연구에 따르면 비스테로이드 진통소염제 단독 투여군보다 전기침 병행치료군이 통증 완화에 보다 효과적인 것으로 밝혀졌습니다.
잘 쉬고 있는데도, 낫지 않는다면?
발목 접질렀을때 3주간 절대 안정을 취하고 있는데.. 증상이 차도가 없다면?
XRAY에서 보이지 않는 실금, 미세골절, 견열골절은 아닌지 확인해봐야 합니다.
빠른 시일 내에 가까운 병의원에서 진료를 보시고 CT, MRI, 초음파 등 적절한 검사를 해보시길 추천드립니다.