발바닥통증, 열감은 <발바닥 지압점, 핫팩>으로 해결되지 않습니다!
안녕하세요
대한한의영상학회 교육이사
안태석 원장입니다.
오늘은 발바닥통증, 열감으로** 도수치료, 체외충격파를 받아도 호전이 없다며 한의원으로 오셨던 사례를 소개하겠습니다. > 빌바닥통증,열감 원인은 다양해 발바닥 통증, 열감을 일으키는 질환은 굉장히 많은데요. 가장 흔한 질환은 ## 발목 터널 증후군(족근관 증후군)**입니다.

@ https://link.springer.com/chapter/10.1007/978-3-319-27482-9_75
발목 터널의 구조를 살펴보면
발목 안쪽 복숭아뼈와
발바닥 종골뼈를 연결하는 지지대 아래로
발바닥을 지배하는 후경골신경이 지나갑니다.**
@ https://link.springer.com/chapter/10.1007/978-3-319-27482-9_75 발바닥의 감각은 대부분 후경골신경이 지배합니다. 후경골신경에서 갈라져나온 분지인 내측족저신경, 외측족저신경 내측종골신경, 하종골신경 4가지가 발바닥 감각의 95%를 지배하죠. 그러므로 한의학적 치료로 후경골신경을 조절하는 것이 발바닥통증,열감 치료의 핵심입니다. 환자분이 불편한 곳은 발바닥이지만 한의사가 치료할 곳은 발목이라는 의미이기도 합니다. > 발바닥이 화끈거리고 아픈 40대 환자 이제 치료 사례 설명 들어갑니다. 발바닥 통증, 열감으로 오신 49세 여자 환자분으로 양 발 모두 평발이셨어요. 식당 홀서빙하며 오래 서있는 일을 하시는데 도수치료와 체외충격파를 받아도 전혀 차도가 없어서 집에서 지압점을 찾아 누르고 핫팩 찜질을 하셨다고요. 증상이 점점 악화되자 같이 일하는 직원분이 바로한의원을 추천해줘서 오셨습니다. 문제가 되는 한의학의 대종, 수천혈을 진찰해보니 거골하관절(subtalar joint) 부근에서 찌릿한 티넬 사인(tinel sign)이 나타납니다.
정상 경혈의 초음파 영상 이 부분은 경혈 초음파상 발목 터널 안쪽에 후경골신경의 분지와 후경골동맥, 정맥이 보여야 하는데
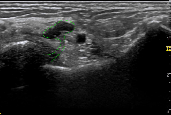
환자분의 수천혈 초음파 해당 환자분은 까만 물혹(빨간 화살표)이 보입니다.
경혈 초음파로 살펴보니 거골하관절로 연결된 것이 보입니다. 예전에도 관절염으로 물이 차서 결절종을 제거했던 적이 있으셨다고요. ## 이렇게 딱딱한 물혹이 터널 안에서공간을 차지하면서 발바닥신경을 압박하고 있는데지압한다고 꾹꾹 눌러대니증상이 악화되는 것은 당연하겠죠? 더군다나 평발로 발의 아치가 무너져있는데 오래 서있으니까 도수치료, 체외충격파로도 회복하기 어려웠을 겁니다. > 초음파 유도하 도침술 발목 터널의 압력을 빠르게 해결해주는 도침 치료를 시행했습니다. 실시간 초음파로 도침을 확인하면서 신경과 혈관을 피해서 정확하게 시술합니다.
초음파로 보는 알짜근육학 396p. 제가 출판한 초음파 전문서적 ## [초음파로 보는 알짜근육학]**을 보면
대종, 수천혈에는
후경골신경의 분지인 내/외측족저신경과
혈관이 지나가기 때문에
정확한 진단과
세밀한 침 치료를 위해
경혈 초음파가 반드시 필요합니다.

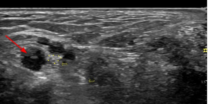
초음파 유도하 도침 시술 후에
촬영한 대종혈의 초음파 영상입니다.
결절종이 흡수되면서
내측족저신경의 경계가 선명해진 것이 보이시죠?
이 환자분처럼 결절종이 관절에서 시작된 경우
관절의 염증을 완화하는 한약**을 병행해야
재발율이 확 줄어듭니다.
VARO 한의원의 초음파 유도하 특수침
강서구 화곡역, 우장산역 인근에 있는
바로한의원 의료진은
한의영상학회 교육위원회 소속으로
미국진단초음파협회 자격자 모임인
한의초음파연구회 부회장과 학술이사를 맡고 있습니다.
12년간 초음파 유도하 특수침 (도침, 약침)을
2만6천회 이상 시술하며
의학적으로 가치가 있는 치료사례들을 정리하여
재활의학과 학회지에 발표하였습니다.
누적된 치료성공사례와
특화된 치료 노하우로
국가대표, K리그 프로 선수들이
내원하는 한의원입니다.

1억2천만원이 넘는
GE Fortis를 포함해서
초음파 진단기가 무려 3대,
체외충격파의 샤넬,
스톨즈 집중형 체외충격파 장비가 2대
(2대 합쳐 1억3200만원입니다)
척추 디스크 무중력 감압교정치료기
스파인엠티 2대 등
대학병원급 고성능 의료장비가 완비되어 있습니다.
환자분들 제대로 치료해서 낫게 해드리는게
제 삶의 가장 큰 보람이고 즐거움이기에
의료기기에 정말 아낌없이 투자하고 있습니다.
앞으로도 서울 서부권에서
가장 치료받고 싶은 한의원,
치료결과로 증명하는 한의원이 되겠습니다!
결절종 수술은
아래 글에서 정리했습니다.