발바닥 통증, 족저근막염, 발바닥 지압? 현직 한의사가 정리해드립니다
목차
발바닥 통증이
낫질 않는데,
족저근막염 인가요?
오늘 서울 대치동에서 오신 분께서
하신 말씀입니다.
아마 이 글을 읽고 계신다면,
본인의 발바닥 통증이
족저근막염 때문인지 궁금하실 텐데요.
의 진단과 치료가어떻게 이루어지는지자세히 설명해드리겠습니다.
끝까지 읽어보시고
도움 받아가시면 좋겠습니다.
족저근막염, 왜 생길까?
은
발가락 근육들이
뒷꿈치 뼈에 부착되는 곳의 근막입니다.
이곳에 염증이 생기면한자로는
이라고 합니다.
특히, 근막이 뼈에 붙는 자리에
염증이 잘 생기기 때문에
발 뒷꿈치쪽이 아픕니다.
염증이 생기는 이유는
오래 서있거나 움직여서족저근막에 스트레스가 가해진 경우아킬레스건 길이가 짧은 경우발의 아치가 심하게 변형된 경우다양합니다.
족저근막염 증상
양천구 목동에서 오신
40대 남자환자분 케이스를
소개해드릴게요.
동네 정형외과에서
족저근막염으로 진단받으셨고요.

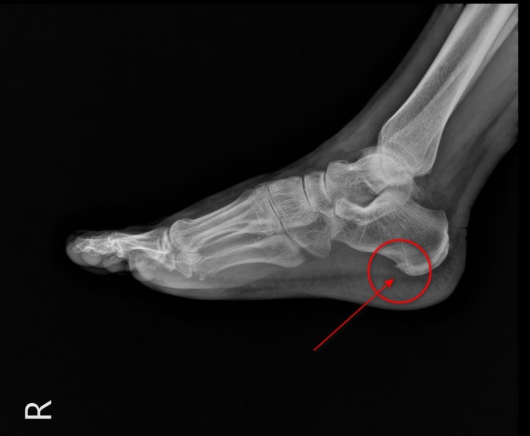
1년 전부터
빨간색 동그라미 친
발바닥 뒷꿈치가 아픕니다.
특히 아침에 일어나서
첫발 디딜 때 가장 아프시다고요.
밤새도록 짧아져있던
근막 염증 부위가
쭉 늘어나며 자극되는 것이죠.
족저근막염 자가진단법
족저근막염인지
스스로 테스트 해볼 수 있는
방법을 알려드리면요.

@ 초음파로 보는 알짜근육학
빨간 화살표 부위를
손가락으로 눌러보세요
눌렀을 때 아프면
족저근막염일 확률이 높고요.
아프지 않다면
족저근막염이 아닐 수 있습니다.
족저근막염, 정확한 초음파 진단이 필수
발바닥 통증은
족저근막염에서만
생기는 것이 아닙니다.
허리 디스크 탈출증도
발바닥이 아프고요.
골반이 틀어지면서
천극인대, 천결절인대가 늘어나도
발바닥이 불편합니다.

@ 프롤로테라피
발바닥 근막에 염증이 있는지는
초음파, MRI 검사로 알 수 있습니다.

위 사진처럼
엑스레이에서는
근막의 경계가 보이지 않아
정확하게 진단할 수 없습니다.
이 맞는지확인하려면초음파 검사를해봐야 하는 것이죠.
경혈 초음파, 족소음경근
족저근막염을 치료하는
핵심 혈자리는
족소음경근 아시혈입니다.

@ 초음파로 보는 알짜 근육학
위 사진은
제가 집필한 근육초음파 서적의
족소음경근 영상입니다.
그림에서 화살표 표시한
부위가 족저근막인데요.
꼼꼼하게 촉진해서
눌렀을 때 민감한 통증이 느껴지는
혈자리를 손끝 감각으로 찾아내고요.
이어서 경혈 초음파로재확인합니다.
초음파 약침
바로한의원**에서는
혈자리를 초음파로 찾아
최대 효과를 내는 깊이에특수침을 시술합니다.
초음파 가이드 약침 치료
보건복지부 인증 탕전실 조제
자하거 태반 약침으로
근막이 재생될 수 있게 도와주고요.
1년 이상
오래된 만성 족저근막염의 경우
섬유화되어 들러붙은 근막을
도침으로 떼어냅니다.
이처럼
실시간 초음파로 확인해서
정교하게 시술하면
치료기간을 대폭 단축시킬 수 있습니다.
족저근막염을제대로 치료하지 않고 방치하는 경우염증이 심해지고족저근막이 점점 두꺼워져제대로 걷기조차 힘들어질 수 있기 때문에
빠른 시일내에 정확한 진단과
정교한 치료가 이뤄져야 합니다.
족저근막염 지압
족저근막을 마사지하거나 지압하는 것도
근막을 풀어주는데 도움이 됩니다.
하지만 통증이 없는 범위에서만
지압하셔야지
무작정 세게 풀면 좋을거라고
콱콱 문지르면 안 됩니다!

@ 초음파로 보는 알짜근육학
지압 부위는
빨간색으로 표시한 곳입니다.
아프지 않는 선에서
가볍게!
꼭 가볍게만 눌러주세요.
VARO 비수술 치료법
바로한의원 의료진은
초음파를 활용한 특수침 치료 프로토콜을
개발하였습니다.

한의사협회 초음파 보수교육 강사로 활동하며
시술법을 학계에
공유하고 있습니다.
발바닥 근막염에
차별화된 비수술 치료법으로
올림픽 금메달리스트, 국가대표 선수들이
치료 받는 한의원입니다.

12년간 초음파를 연구하며
한의사협회 보수교육 강사로
초음파 도침 치료 노하우를
학계에 공유하고 있습니다.

작년 한 해에만 20회 이상
초음파 보수교육 연자로 참여했는데요.
그 공로를 인정받아
서울시 한의사 표창을 받기도 했습니다.

앞으로도
서울 서남권에서
가장 치료받고 싶은 양한병 협진 기관
치료결과로 증명하는 한의원이 될 수 있게
노력해나가겠습니다!
족저근막염 실제 치료사례
아주 오래된
만성 족저근막염
치료 사례는
아래 글에서 정리했습니다.

바로한의원
서울특별시 강서구 화곡로 143 충효빌딩 3층