부비동염, 축농증의 초음파 영상 진단
목차

부비동의 초음파 진단은
1970년대에 Mann W.이
최초로 정리했습니다.
초음파 영상 소견과
상악동 천자 소견을
비교한 연구 결과를
연이어 발표했습니다.
Ref.> Mann W. Die ultraschalldiagnostik der NNH-Erkrankugen mit A-und B-scan. Laryngol Rhinol Otol. 1976;55;48
Mann W. Vergleich r ntgenologischer, ultrasonographiscer und sinumanometricscher nebenbhlenbefude. Laryngol Rhinol Otol. 1977;56;739
초음파 영상소견을
정상과 비정상으로 구분해
상악동 천자 소견과 비교한 결과
96% 일치율을 보였습니다.
Ref.> Rebonta M. A-mode ultrasound of maxillary sinusitis in children. Lancet. 1979;1;320
Revonta M. US in the diagnosis of maxillay and frontal sinusitis. Acta Otolaryngol(suppl 370) 1980;1-55
일반적으로 많이 쓰는
초음파 B-Scan부터 살펴보면,

정상 부비동의 이미지 http://imbus.anwresidency.com/txtbook/02_sinus.html
정상 부비동은
폐(Lung)처럼
공기로 가득 차있어서
Air Artifact만 나타납니다.
공기의 공명으로 인해
초음파 빔이 투과하지 못하고
흩어져버립니다.
때문에
부비동 벽의 경계가
보이지 않습니다.

좌측: 정상 부비동 / 우측: 정상 폐
Ref.> Maxillary sinuses ultrasonography - a reliable method in the diagnosis of acute sinusitis in children, ECR 2012
하지만 부비동염으로
부비동 내부에 물이 차거나
점막이 두꺼워지거나
종양이 생긴다면?

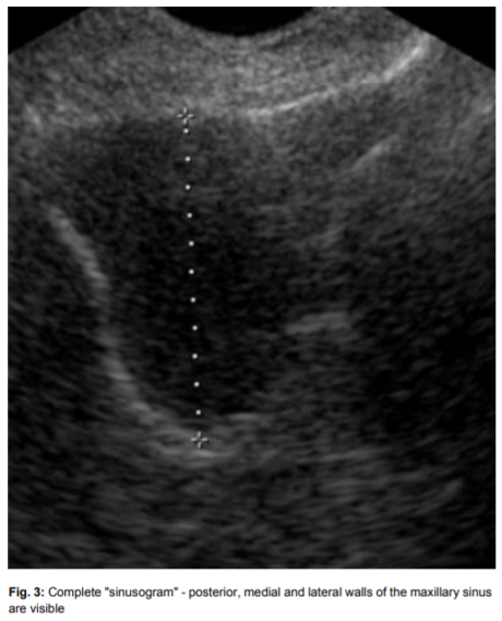
부비동염의 초음파 진단, B-scan
Ref.> A. W. Nelson 외, Gray-Scale (B-Mode) Sonography of the Maxillary Sinus, J Ultr asound Med. 5:477 - 481 , September 1986
초음파 빔이 흩어지지 않고
내부 조직에 반사되어
영상이 나타납니다.

부비동의 뒷쪽, 안쪽, 바깥쪽 벽의 경계선이 보입니다.

좌측그림: 비대된 점막의 우측 부비동, 우측그림: 물이 찬 좌측 부비동

부비동염 (축농증)에서는
부비동의 경계선이 보일 수 있고
점막의 비대나
새까맣게 물이 찬 것이 보입니다.


물이 찬 부비동의 CT / US image

다만, 건강한 아이의 부비동에
물이 차있는 경우가 있고,
단순 감기에서도
급성 부비동염은 흔히 동반되므로
영상만으로 확진할 수는 없습니다.임상증상, 영상진단, 천자검사 등종합하여 진단해야 합니다.
자, 다음은
A-mode 초음파 진단법입니다.
초음파를 오래 쓰던 분들도
A-mode는 생소할 수 있는데요.

이미지 출처: https://www.slideshare.net/drhariba/basic-physics-of-ultrasoundjh
A-mode란
(Amplitude mode)
초창기 초음파 진단기에서
쓰던 방식으로
"안구"를 스캔할 때 사용하곤 했습니다.
초음파 빔이 투과하다가
특정 위치의 조직과 만나 반사되면,
그것을 spike로 표시합니다.
X축은 거리(distance),
Y축은 진폭(amplitude)입니다.
ARDMS & APCA 의
(미국 진단 초음파 협회)
SPI 자격자들은
(초음파 원리 및 기기 조작)
이미 알고 계시죠?
부비동은
공기로 가득 차있는
텅 비어있는 동굴이라
그 사이에
감지되는 것이 없습니다.
하지만
부비동 내부에
물이 차있거나
점막이 비후되었거나
종양이 있다면?!

Ref.> Zdenek Pelikan, Diagnostic Value of Nasal Allergen Challenge Combined With Radiography and Ultrasonography in Chronic Maxillary Sinus Disease, Arch OtolaryngolHeadNeckSurg. 2009;135(12):1246-1255
초음파 빔이 반사되면서
spike를 치게 됩니다.
아래 그림은
부비동의 A-mode 진단법을
정리한 그림입니다.

상악동에서 얻는 A-mode 초음파 영상
Ref.> Jae Hun Cho 외, A Clinical Study on the US Diagnosis of Sinusitis. J Korean Oriental Med 2002;23(2):88-9
1) T (Transducer pulse)
X축 1cm 내에 생기는 transducer pulse로,
정상적으로 나타나는 spike입니다.
2) AME (Air Mucosa Echo)
부비동 안에 공기와 점막의 경계면에서
나타나는 Air mucosa echo로,
정상 상악동은 AME가
T부터 1.5cm 안에 나타납니다.** 하지만 점막이 1mm이상 비후되면? AME가 T부터 1.5 - 3cm에 나타납니다.**
3) BWE (Back Wall Echo)
X축(time scale)에서 4-6cm 떨어져
나타나는 back wall echo로,
삼출액이 1-3ml(평균 2ml)이상 저류되면
BWE가 나타납니다.
4) DE (Double Echo)
back wall echo가 2개 나타나는 것으로,
낭종이 있으면 DE가 나타납니다.



Ref.> Zdenek Pelikan, Diagnostic Value of Nasal Allergen Challenge Combined With Radiography and Ultrasonography in Chronic Maxillary Sinus Disease, Arch OtolaryngolHeadNeckSurg. 2009;135(12):1246-1255
대만에서는
만성 부비동염 환자의 29%가
"한의"와 "양의" 치료를 병행하는데,
한의 치료를 병행하면
부비동염의 수술을 줄일 수 있다는
연구 결과가 있습니다.
Ref.> Hung-Rong Yen 외, Adjunctive traditional Chinese medicine therapy for patients with chronic rhinosinusitis: a population-based study. International Forum of Allergy & Rhinology. 2015; 5(3) : 240-6
처방약을 먹어도
큰 호전이 없거나
수술 후 다시 재발한 경우
과학적인 한의약 치료를
추천합니다.