삼각섬유연골복합체 TFCC 손상, 방치하지 마세요 <초음파 약침>

안녕하세요
바로한의원
안태석 원장입니다.
환우 카페에서
TFCC 손상된 환자분들이 오시는데**
초음파로 모든 걸 다 진단할 수 있다고
오해하시는 분들이 많더군요.
그래서 구체적인 의학 정보들을
정리해드리고자 합니다.
손목 척측 통증
손목을 짚거나 돌릴 때
새끼손가락쪽 손목이 시큰거리시나요?
병원에서 치료를 받아도
잘 낫지 않는다고요?
그런 경우에는
삼각섬유연골복합체 손상을
의심해야 합니다.
통계 연구상
새끼손가락쪽 손목 통증의 원인
1위로 지목되죠.

특히 지긋지긋할 정도로
낫지 않는다면?
대부분삼각 섬유 연골이라는'관절 디스크'가 파열된 경우가굉장히 많습니다.
TFCC 손상 분류법
TFCC는 구조가 복잡해서
어디가 문제인지 체계적인 진단이 되야
수술할지가 결정됩니다.

@ DOI:10.1016/j.arthro.2012.04.152
기본적으로
**팔머 분류(Palmer Classification)로
2타입 9종류로 나누는데요.
다쳐서 외상성이면 '타입 1' 이고요.**
A : 관절연골 중심부 파열
B : 척골쪽 부착부가 떨어져 나감
(골절 동반 O/X)
C : 원위부 손상
D : 요골쪽 부착부가 떨어져 나감
(골절 동반 O/X)
4가지 서브타입으로 나눠집니다.
많이 쓰거나 척골이 길어서 충돌되면서
점점 닳아서 생긴건
퇴행성 병변으로 **'타입2'입니다.
A : 관절연골 닳아 얇아짐
B : 관절연골 마모 + 주변 연골 손상
C : 관절연골 파열 + 연골 손상
D : C에 월상삼각인대 파열까지
E : D에 손목 관절염까지 진행
5가지 서브타입으로 나눕니다.
9가지 중에 가장 흔한 타입은
외상성 중 B형인데요.

@ https://doi.org/10.1186/s12891-020-03321-2
안정성에 중요한 깊은 층과
상대적으로 덜 중요한 얕은 층을
구별하지 않는다는 한계점이 있습니다.
요즘엔 보통 Atzei 아체이 분류법을
함께 사용해서 수술 여부를 결정합니다.
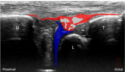
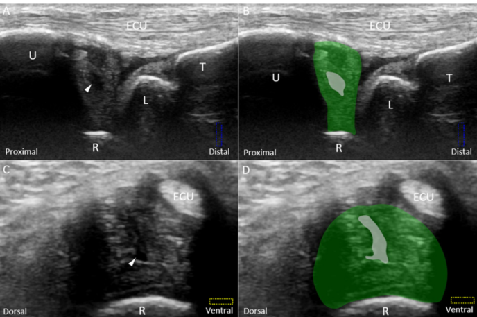
TFCC, 초음파로 보면?
2018년부터 TFCC를
초음파로 스캔하는 임상 연구들이
대거 쏟아지고 있습니다.

@ DOI: 10.3390/jcm8101540
민트색 박스 표시한
척골 경상돌기(Sp)에 프로브를 대고
TFCC 장축 스캔을 하면요.

가장 바깥에
척측수근신근 힘줄이 보이고요.**
(ECU, extensor carpi ulnaris)
잘 보이시진 않겠지만
힘줄집(subsheath)을
신전근 지대(Extensor retinaculum)가
감싸고 있는 형태입니다.
간혹 신전근 지대가 손상되거나
선천적으로 약해서
힘줄이 완전 탈구된 분들은수술이 필요합니다.
@ DOI: 10.3390/jcm8101540
그 아래에 파란색으로 표시한
척골 측부인대(Ulnar collateral ligament)
가 보입니다.
그 아래는 빨간색으로 표시한
반월 연골 유사체(Meniscus homologue)
가 보이고요.
그 아래는 귤색으로 표시한
요척 인대(Radio-Ulnar ligament)
얕은층(superior limb)와
깊은층(deep limb)으로 보입니다.

@ DOI: 10.3390/jcm8101540
반월 연골 유사체 아래에는
보라색으로 표시한
월상 삼각 인대(Luno-Triquertral ligament)
가 보입니다.
그 아래에는 녹색으로 표시한
가장 중요한 구조물이죠.
바로 '삼각섬유연골' 이라는(Triangular fibrocartilage, TFC)
관절 디스크(Articular disc)가
요골에 붙어있습니다.

MRI상 삼각섬유연골 파열로
진단 받으신 분들은
표준 경혈 초음파와 달리이렇게까맣게 손상된 틈이 보이는데요.
제가 1억이 넘는 GE초음파 최상위 기종
LOGIQ FORTIS를 쓰고 있는데
사람에 따라서
요골 부착부나 척골 부착부쪽은
안 보일 때가 있습니다.
양방 초음파든 한방 초음파든
삼각섬유연골의 전체 범위를 볼 수 없어서
확실하게 진단할 순 없고요.
반드시 MRI를 찍어봐야 합니다.
초음파는 개인 의원급에서
일차적으로 확인하는 목적이 크고요.

MRI 검사를 바탕으로
주사 놓을 때 가이드 목적으로
초음파를 사용하는 겁니다.


@ DOI: 10.3390/jcm8101540
관절 연골 외에도
반월 연골 유사체가 손상되거나**


@ DOI: 10.3390/jcm8101540
월상 삼각 인대가**
함께 파열된 환자분들도 있고요.
만성기 환자 대부분은
손목 관절염도 동반하고 있습니다.**
병명은 모두 TFCC 손상이지만
개인별로 상태가 모두 다르니사실상 똑같은 병이 아닌 겁니다.
어떤 분은 주사치료로도 잘 나을 수 있고
어떤 분은 수술이 필요하죠.
정확한 진단에 따라
맞춤형 치료가 들어가야 합니다.

문제가 있는 혈자리를 눈으로 보면서
PDRN 약침 (=DNA 주사)으로
염증을 줄이고, 재생을 유도합니다.
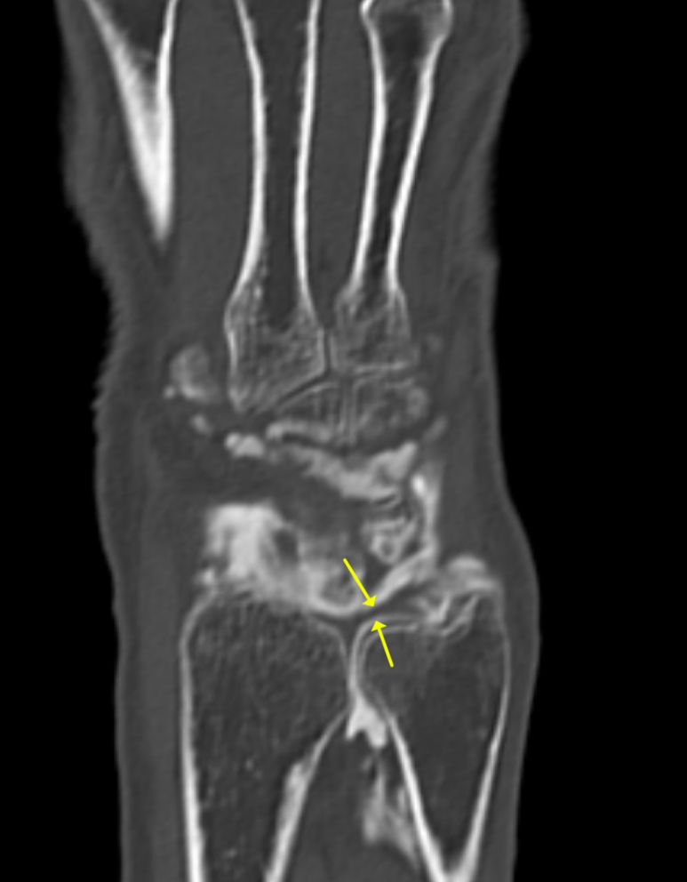
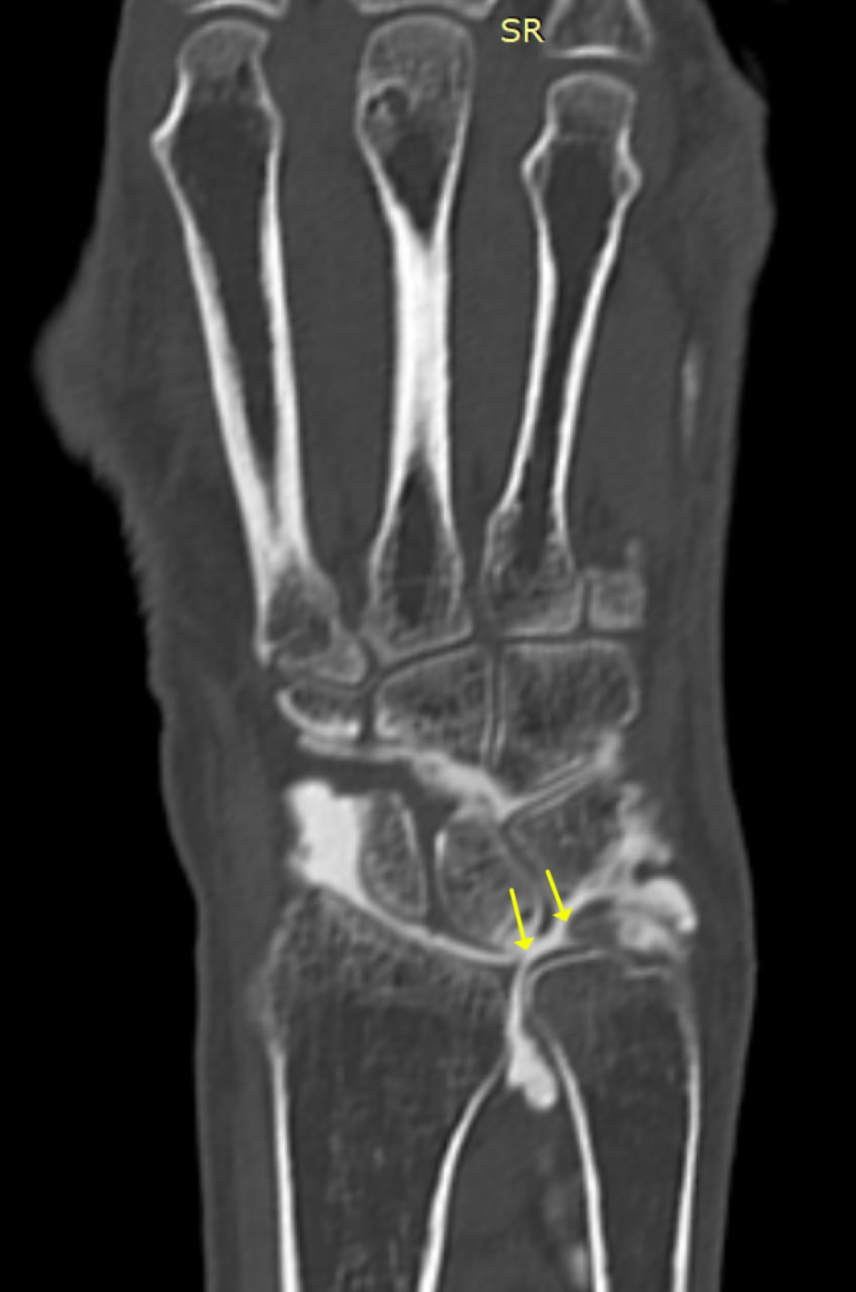
확진은 관절 조영술
많은 환자분들이
'MRI 찍으면 다 보이겠지'라고
생각하시는데요.
미세 파열은**
3.0T 고해상도 MRI로도
진단이 안되는 분들도 있습니다.
삼각섬유연골 파열 부위가 작은건
놓치기 쉽거든요.
그리고 정형외과도 손목, 무릎, 척추 등
주로 보는 전문 질환이 다르다보니
반드시 손목 전문의를 찾아서진료를 보셔야 합니다.
TFCC 파열을 진단하는
가장 확실한 골든 스탠다드는
관절에 조영제를 직접 주사한 뒤 검사하는
**'MRI 관절 조영술'입니다.
관절 주머니에 밝은 조영제를 넣으면
주변 구조물이 훨씬 선명하게 보이거든요.

노란색 화살표 친
**'삼각섬유연골'은
**'손목 관절'과
'원위요척관절' 사이에 있는데**

연골이 파열되면
그 틈으로 조영제가 새어 나가는 것을
직접 눈으로 확인할 수 있습니다.

@ https://doi.org/10.1186/s12891-020-03321-2
원래는 TFC로 막혀있어야 할
손목 관절과 원위요척관절이
파열로 틈이 생기면서
서로 연결되는 것이죠.
수술해야 할까?
척골 충돌이 심하지 않다면
우선 비수술치료부터 시도해야 합니다.
특히 닳아서 마모된 퇴행성 타입은
현재 느끼는 통증의 직접적인 원인이
TFC 파열 때문이 아닐 수 있습니다.
주사 치료 횟수와 간격?

TFCC 손상은 빠르게 아물지 않아
주 1-2회씩 2개월 이상
장기 치료가 필요합니다.
주사 약물 자체가 아프진 않지만
주사 바늘 자체가 자극이 되기 때문에
시술 후 3-4일 정도는
더 아프고 붓고 힘듭니다.
정상적인 회복 신호의 시작이지만
그 과정을 참기 힘들다면
수술을 먼저 하시는게 좋습니다.
통증이 참을 수 없이 심한데,
주사 바늘이 너무 무섭고
주사가 너무 아프다면
수술도 고려해봐야죠.
중심부 파열은 회복이 어렵다

@ DOI: 10.3390/jcm8101540
TFC는 2개의 레이어로 나눠지는데
그 사이에 혈액이 통하는
Ligamentum subcruentum라는
섬유성 결합조직이 존재합니다.
그 아래 깊숙히 중심와에 부착하는
Proximal lamina 중심부는
혈관이 거의 없는데요.
영양을 공급할 혈관이 없어
여기가 손상될 경우
자연 회복이 어렵습니다.
요골쪽 부착부 손상도
상대적으로 혈액순환이 잘 안되는 부위라
예후가 좋진 않습니다.
우선 비수술 치료 해보고
안되면 수술하는게 좋고요.
삼각섬유연골의 원위부 파열은
혈액 순환이 안되는 중심부에 비해서
혈액을 통해 영양 공급이 되는 부위라서
수술했을 때 결과가 좋습니다.

손목 척측 통증,
더이상 방치하지 마시고요.
우선 손목 전문 병원에서
먼저 MRI 검사부터 받아보세요.
수술이 꼭 필요한 상태라면
수술 전부터 주사 치료하시면서 염증 잡고
수술 후에도 주사 치료 받으시고요.
수술하지 않고
주사 치료가 더 나을 상태라면
하루 빨리 치료하시길 바랍니다.
일반적으로 한의원에서는
PDRN 연아약침을 주로 사용해서
초음파 가이드로 주사하고요.
환자 상태에 따라
태반 자하거 약침,
분리 정제 봉약침 (=봉침),
프롤로 증식 왕도약침도 함께 병행합니다.
양방이든 한방이든
수술 전후로 치료 받으면
더 빨리 회복될 수 있습니다.
본인에게 맞는 치료가 있으니
여러 병원에서 교차 진료보시길 바랍니다.
아체이 분류법은
아래 포스팅에서 확인하실 수 있습니다.
본 게시물은 의료법령을 준수하여 의료광고심의 면제 항목으로만 작성한 포스팅입니다.
TFCC 수술 여부는 담당 전문의와 충분히 상담 후에 결정하시길 바랍니다.

바로한의원
서울특별시 강서구 화곡로 143 충효빌딩 3층