손가락 손목 건초염 증상 치료 <초음파 도침> 어떻게?
안녕하세요. 화곡동 바로한의원에서 진료하는
한의영상학회 교육 위원 문지현 한의사입니다.
혹시 아침에 일어났을 때손가락이 뻣뻣하고 잘 펴지지 않으신가요?손가락을 구부리거나 펼 때'딸깍'하는 소리와 함께 통증이 느껴지시나요? 마치 총의 방아쇠를 당기는 것 같다고 해서
'방아쇠수지'(trigger finger)'손가락 협착성 건초염' 이라고 불립니다.** 젓가락질도 힘들고, 스마트폰을 잡는 것도, 글씨를 쓰는 것조차 고통스럽다고 많이 말씀하시는데요. 그런데 이 질환, 치료가 참 까다롭죠. 환자분들이 희망을 가져보시길 바라는 마음으로 2022년 발표된 아주 의미 있는 연구 결과를 소개해드리려고 합니다. * * * 손가락 건초염, 도대체 왜 생길까요? 우리 손가락이 부드럽게 움직일 수 있는 건, 힘줄(Tendon)이 '활차(Pulley)'라는 터널을 통과하기 때문입니다. 마치 낚싯줄이 낚싯대의 가이드를 통과하는 것처럼요. 그런데 손을 반복적으로 무리하게 사용하면, 이 힘줄과 터널이 마찰되면서 염증이 생깁니다.**
결국 힘줄은 붓고,
터널은 좁아지게 되죠.
최신 연구가 입증한'초음파 유도하 도침 치료'** 이 끈질긴 통증을 어떻게 해결할 수 있을까요? 바로 이 지점에서 오늘 소개해 드릴 '도침(Acupotomy)' 치료가 등장합니다. 2022년에 발표된 논문은 바로 이 도침 치료의 효과를 과학적으로 입증했는데요.
DOI: 10.1097/MD.0000000000031504 는 염증으로 두꺼워지고 달라붙은 힘줄 주변 조직(활차)을 정교하게 끊어내고 벗겨낼 수 있습니다. 좁아진 터널의 압력을 즉각적으로 해소시켜, 힘줄이 다시 부드럽게 움직일 수 있는 공간을 만들어주는 원리죠. 과거에는 시술자의 감각에 의존했다면, 현대 한의학에서는 '초음파 검사 장비'를 활용합니다. 초음파로 힘줄과 활차, 그리고 주변의 신경과 혈관까지 눈으로 직접 보면서 시술하는 거죠. 이것이 '초음파 유도하 도침 시술'의 핵심입니다. 병변 부위를 정확히 찾아내 1mm의 오차도 없이 정확하게 유착을 풀어주니, 안전성은 물론 치료 효과까지 극대화할 수 있습니다. 여기서 도침치료란? (Acupotomy)도침은 침(Acupuncture)과 칼(Knife)의 장점을 결합한 특수 침입니다. 끝이 미세한 칼날 형태로 되어 있어 유착된 조직을 정교한 박리할 수 있어요.**
만성적인 염증이나 손상으로 인해 두꺼워지고 달라붙은 힘줄, 인대, 근막 등을 도침으로 박리하면, 해당 부위의 압력이 즉각적으로 해소됩니다.
이로인해 눌려있던 주변 혈관과 신경의 압박이 줄어들고, 해당 부위로의 혈액 공급이 원활해집니다. 이 때 염증 물질이 배출되고 조직이 회복되는 것이죠.
손가락 건초염 특효 혈자리 '노궁혈' 특히 손바닥의 노궁혈(勞宮穴) 주변에서 문제가 많이 발생하는데, 이곳의 기혈 순환이 막히고 조직이 단단하게 굳어지면서 통증과 기능 제한이 나타나는데요.
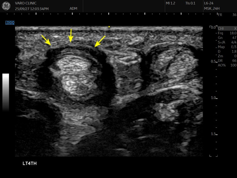
4번째 손가락의 손가락 건초염으로
내원하신 환자분의 을 손으로 촉지한 후 병변이 의심되는 곳에 초음파 영상을 확인해 봅니다.

좌측의 4번째 손가락이,
그 옆에 위치한 다른 손가락에 비해 건초가 많이 두꺼워져있는 것을 관찰 수 있는데요 (노란색 화살표)
이 지점의 유착을 박리하고,
혈액순환을 돕기 위해 도침 시술을 진행합니다.
도침뿐만 아니라,
염증이 다시 재발하지 않기 위해
재생 효과가 뛰어난 연아 약침을 병행하면** 효과가 극대화됩니다. * * * **얼마나 효과가 좋을까요?논문으로 확인해 보시죠. 이 논문은 총 11개의 임상 연구(RCT)에 참여한 828명의 환자 데이터를 종합 분석한 '메타 분석' 으로 신뢰도가 아주 높은 연구입니다.
결과는 놀라웠는데요.
치료 유효율: 도침 치료를 받은 그룹은 일반적인 치료를 받은 그룹보다 치료 효과가 나타날 확률이 무려 6.77배 높았고완치율:** 완전히 회복될 확률 역시 3.32배나 높게 나타났으며통증 감소:통증 지수(VAS)** 역시 도침 치료군에서 훨씬 더 의미 있게 감소했습니다.** 게다가 이 시술은 상처가 매우 작고, 회복이 빠르며,비용 부담이 적다는 장점까지 갖추고 있습니다. 시술 시간은 짧지만, 그 효과는 수술과 비견될 만큼 강력한 것이죠.
* * * 손가락 통증, 그냥 '나이 탓이겠거니','좀 쉬면 낫겠지' 하고 방치하지 마세요.* 오늘 소개해 드린 것처럼, 최신 한의학은 초음파 영상 진단을 통해 병의 원인을 정확히 찾아내고, 도침과 같은 과학적으로 검증된 방법으로 문제를 해결하고 있습니다. 손가락, 손목 건초염으로 한번도 진료를 받아보시지 않으셨다면 강서구 화곡동 가양동 우장산동 양천구 목동 신정동 신월동 파주 일산 인천 김포 지역에 거주하시는 분은 마곡 이대서울병원, 이대 목동병원 등의 대학병원이 위치하니 진료에 참고하시길 바랍니다. 오늘 내용이 건초염으로 고통받는 분들께 부디 도움이 되기를 바랍니다. 지금까지 바로한의원 문지현 한의사였습니다. 감사합니다! [해당 포스팅은 의료 정보 제공 목적으로 작성되었습니다.]
바로한의원 서울특별시 강서구 화곡로 143 충효빌딩 3층