손목 결절종, 꼭 수술해야 하나요?
목차
안녕하세요.
한의초음파연구회 학술이사와대한한의영상학회 교육위원**을 맡고 있는
바로한의원 문지현 원장입니다.

오늘은 손목 결절종에 대한 비수술 치료법에 대해서 설명해드리겠습니다.
결절종의 원인
오늘의 주제는 손목에서 가장 흔한 양성 물혹,
바로 결절종입니다.** 손목 결절종이 생기는 원인은 다양한데요. 대부분 손목 관절의 과도한 사용으로 인한 건초염과 퇴행성 관절염으로 발생합니다. 염증으로 인한 진물(삼출액)로 물혹이 생기는 것이죠.**
결절종은 손목 안쪽 바깥쪽 어디에서나 발생할 수 있지만 70%정도가 손등면에서 보입니다.** > 손목 결절종의 경과 손목 결절종은 관절이나 건초에서 기원한 물혹으로 양성종양에 해당합니다.**
이게 암처럼 악성종양으로 변하지 않기 때문에 위급한 질환은 아닙니다.
처음에는 물혹이 작아 겉에서 보이지 않는데, 이러한 잠재성 결절종(occult ganglion)은 크게 불편하지 않습니다. 하지만 점점 크기가 커지면서 불편감을 느끼게 됩니다. 주변 힘줄, 신경, 혈관 같은 구조물을 세게 누르면서 증상이 생기는 겁니다. 특히 신경을 누르게 되면 통증과 근육 마비가 생길 수 있어 그제서야 진료를 보러 오시는 경우가 많은데요. ## 맨눈으로 봐도 손목 위로 동그랗게 볼록 튀어나오면 이미 상당히 진행된 상태입니다. 마치 거대한 빙하가 수면 위로 떠오른 것이죠. > 결절종 증례 보고
10년 전부터 우측 손목이 한번씩 불편했는데 최근 3달 전부터 손목이 아프고 시큰하고 찌릿하다고 내원하신 30대 여자분입니다.
아이를 돌보고 요리를 많이하면서 부쩍 손을 많이 쓰셨다고 해요.
특히 손목을 구부렸을 때 뭔가 딱딱한 덩어리가 만져진다고 하는데요.
정형외과에서 초음파검사상 손목 결절종으로 진단받고 치료를 해도 잘 낫지 않아 포기하고 있었는데, 저에게 결절종으로 치료받으셨던 다른 환자분이 강력추천했다고 하며 내원하셨습니다.
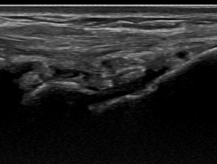
꼼꼼하게 진찰해본 결과 한의학적으로 습비증(濕痺)으로 진단되었는데, 특히 담적이 많은 체질이신 분들은 결절종이 재발하는 경향이 있습니다. 양방과 다르게 한의학적으로 진단하고 치료하기 때문에 접근 방법이 다릅니다. 잘 낫지 않는 결절종은 한의학적 관점에서 접근해볼 필요가 있습니다. > 경혈 초음파 습비증으로 진단한 뒤 민감한 압통이 나타나는 수소양삼초경의 양지(陽池, TE4)혈자리를 촉진하고 그 자리에 프로브를 대어 초음파 영상으로 관찰해보았습니다. 아래 그림은 경혈학 교과서에 실린 양지혈의 표준 CT 및 초음파 영상입니다. 손등 쪽 손목주름 위, 손가락폄근힘줄(ED)의 척골측 오목한 곳에 위치하는데요.
대학경락경혈학실습, 대전대학교 한의과대학 경락경혈학교실 양지혈의 표준 초음파 영상과 비교하여 차이는 없는지 살펴보았습니다.
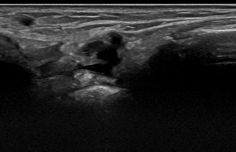
좌측 손목 / 우측 손목 ## 증상이 없는 좌측 손목의 영상은 표준 초음파 영상과 동일한데요.
통증이 있는 우측 손목**의 영상으로 표준초음파 영상과 달리 까만 덩어리가 보입니다.
초음파상 결절종을 확진할 수는 없지만 양방 초음파 검사상에서 이미 결절종으로 추정진단을 받고 내원하셨고, 한의학적으로 습비증으로 진단하였는데요.
이처럼 양방과 한의 모두 사용하는 초음파 진단기기는 동일하지만, 활용하는 이론과 영역이 다릅니다.'以常衡變 以變識病'** 이라는 한의학적 원리에 따라 정상 초음파 영상을 바탕으로 진단의 정확도를 대폭 높일 수 있습니다.
해당 케이스는 습비증이면서 세부적인 경락변증으로는 수소양병증으로 진단되어, 이에 따라 비수술치료를 시행하였습니다.
초음파 유도하 도침술
혈자리에 침을 놓을 때 2D B-mode 초음파를 통해서 경혈 주변의 신경의 위치를 확인하고, 도플러 초음파를 통해서 혈관의 위치를 확인합니다.** 신경, 혈관과 같은 고위험 구조물을 피해 안전한 경로를 선택합니다. ## 위의 영상처럼바로한의원**에서는 초음파 유도하에 정확한 혈 자리에 최소 침습 경로로 시술합니다.

침 치료 직후에 경혈 초음파를 보면 종양 벽이 허물어져 주변으로 흡수된 것이 보입니다.
하지만 관절이나 힘줄의 문제가 기저에 있기 때문에 이에 대한 치료가 꼭 동반되어야겠죠.** > 결절종, 꼭 수술해야 하나요? 수술적 절제술은 결절종을 아예 들어내는 방법인데요. 비수술 치료로도 증상 호전이 없어 일상생활에 큰 지장을 받는 경우 고려해볼 수 있습니다. 하지만, 수술을 한다고 해도 재발에서 완전히 자유로울 순 없다보니1주일에 3회씩 총 3개월간 비수술 치료를 먼저 받아보시는게 좋습니다.**
잘 낫지 않는 손목 결절종
잘 낫지 않는 손목 통증**은
초음파, MRI와 같은 검사도 반드시 필요합니다.
X-ray로 인대와 힘줄의 진단에는 한계가 있기 때문에 검사를 받아보지 않으신 환자분들은 협력 병원에 양방 초음파/MRI 검사를 의뢰드리기도 합니다.
실제로 10년된 결절종 환자분의 뼈에 생기는 육종 같은 악성 질환을 발견했던 적도 있고요.** 넘어진 뒤로 아팠던 경우 결절종과 함께 X-ray에서 보이지 않는 **주상골 골절(骨折)이 의심되어 640 CT로 확진받고 수술을 하셨던 적도 있습니다.
결절종은 염증의 결과물이기 때문에 기저에 있는 건초염, 건증, 관절염 상태를 확인해봐야 합니다. 정확한 양한방 진단이 선행되어야 적절한 치료가 이뤄질 수 있습니다.** 제가 진료봤던 만성 결절종 환자분들은 제대로 치료 받지 않았던 경우가 대부분이였습니다. ## 오래된 결절종은 최소한 주 3회 이상, 30회 이상의 치료가 필요**한데, 이러다 괜찮겠지 하는 마음으로 방치한 분들이 많았습니다.
손목 결절종으로 고생중이라면,
가까운 의료기관에서 꼭 꾸준하게 치료를 받아보시기를 바랍니다.
최근 바로한의원 의료진의 활동이 궁금하시다면** 아래 포스팅을 클릭해주세요!