어깨 회전근개 파열, 수술 전 꼭 읽어보세요.
목차
안녕하세요
미국진단초음파협회 자격자 모임한의초음파연구회 부회장안태석 원장**입니다.
오늘 영하15도로 추운 날씨에도
많은 분들께서 내원해주셨는데
그 중 어깨 회전근개 파열이
5 케이스나 되네요.
그래서 오늘은
어깨 회전근개 수술을 결정하는
과
으로
성공적으로 치료되었던
회전근개 케이스들을
소개해드리고자 합니다.
회전근개 힘줄
내부 미세파열
첫번째 환자분은
강서구 화곡동
정형외과에서
회전근개의 퇴행성 건증과
힘줄 내 미세파열로
진단받고 내원하셨습니다.
스테로이드 주사를
3회 맞으셨는데
팔을 많이 쓰다보니
금새 다시 아파졌다고요.
직장 동료분께서
초음파 도침 치료 이후
통증이 많이 호전되었다며
함께 모시고 오셨습니다.

한의학에서 회전근개 힘줄을
치료하는 핵심 혈자리는
입니다.
은
회전근개 힘줄이 부착되는
대결절이 위치하는 곳으로
정밀 초음파 진단이 필요한데요.
우선 본원의 대학병원급 초음파 진단기로
표준 경혈 초음파와
동일한 상태인지
꼼꼼하게 체크해봅니다.
손으로 확인한 후에
초음파를 대어
다각도로 확인해보니
당장 수술해야 할 정도의
이상소견은
없으신 상태였습니다.
초음파 도침 치료
이런 경우
초음파 가이드 도침으로
깊숙하게 골막까지 자극하여
힘줄 재생인자들과
섬유아세포의 활동을 북돋아
회전근개 힘줄이
재생될 수 있게 합니다.
힘줄 내 미세파열은
총 20회 가량의
도침 치료가 필요합니다.
회전근개 전층파열
두번째 케이스는
양천구 목동
재활의학과에서
회전근개 전층파열로
진단 받고 오신
43세 남자 환자분입니다.

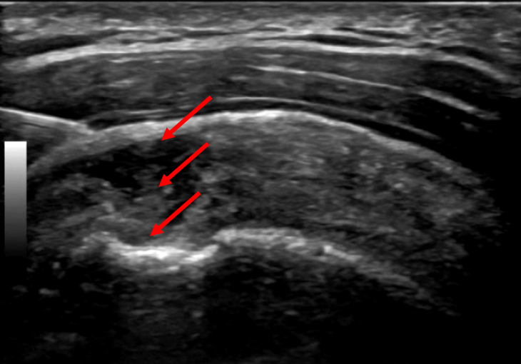
견우혈을 꼼꼼하게 확인해보니
표준 경혈 초음파 영상과 달리
까맣게 비어있는 부분이
확연하게 보었습니다.
이렇게 위-아래 전층이 비어있는 경우
염증을 빠르게 완화시켜주는
초음파 가이드 약침으로
통증 치료부터
먼저 해야합니다.
우선 손 끝 감각으로
문제가 있는 혈자리 포인트를 세밀하게 찾은 뒤
효과적인 깊이로
정확하게 시술합니다.
이미 파열된 힘줄 내부에
3cc 이상의 대용량 약침을 주사할 경우
과도한 자극이 될 수 있어서
초음파로 침 끝을 확인하며 시술하는게 좋습니다.
위 아래가 쭉 찢어진
이라면
파열이 점점 더 진행되는 경우가 많습니다.
특히 환자분의 나이가 젊고
액티브한 업무나 스포츠 활동을 즐겨하시는 분의
은
먼저 수술하고 그 뒤에 재활하는 것이
예후가 더 좋습니다!
회전근개 부분파열은
자가회복될 수 있을까?
서울대병원 의료진이
발표한 논문에 따르면
손상된 회전근개 힘줄이
자가회복된 환자들의 비율은로 나타났습니다.
해당 연구는 MRI검사에서
회전근개 힘줄의
50% 이상의 부분파열로 진단된
81명을 대상으로
1년이 지난 뒤에
다시 MRI 검사를 해봤습니다.
분석 결과
자가 회복 25%파열 중지 59%파열 진행 16%
로 나타났습니다.
완전 파열되지 않은
은파열이 중지되거나자가 회복될 수 있다는 것이죠.
회전근개 완전파열되어도
수술하지 않는 경우
65세 이상의 고령 환자의 경우
3cm 이상의 만성 전층파열은
수술하지 않습니다.
근 위축과 지방 변성이 되었다면
끊어진 힘줄을 다시 연결해두어도
효과를 기대하기 어렵습니다.
이런 경우는
양의학이나 한의학이나
비수술 치료가 원칙이죠.
실제 임상에서 치료해보면
회전근개 완전파열이라도
거기에 적응되면
증상이 많이 호전됩니다
그냥 통증 케어만 하시면 됩니다.
VARO 비수술 치료법

바로한의원 의료진은
초음파를 활용한 도침 치료,틀어진 어깨 관절을 풀어주는 추나 요법,체외충격파를 활용한 근건이완수기요법 등
을
개발하였습니다.
회전근개 손상에 특화된
비수술 치료법으로
국가대표, K리그 프로선수들이
내원하는 한의원입니다
어깨 건강이 생명인
엘리트 운동선수들을 치료했던 경험을 살려
한 분 한 분
꼼꼼하게 치료하겠습니다.
자, 정리해보면
은
부분 / 전층 / 완전파열
각기 상태가 다양하므로
수술하잔다고
바로 결정하지 마시고요.
최소한 2군데 대학병원에서
진료보시길 추천드립니다.
또한 수술을 결정했더라도
초음파 도침 치료를
3주간 받아본 후에
고민해봐도 좋습니다.
앞으로 서울 서부권에서
가장 치료받고 싶은 양한방 협진병원
가족들에게 소개해주고 싶은 한의원이
될 수 있도록 노력하겠습니다!
어깨충돌증후군
어깨충돌증후군은
아래 글에서 정리했습니다.