얼굴 허벅지 피 멍울 타박상 혈종 멍 어혈 빼는 법 / 치료시기 놓치면 <이것>으로 변질 돼

안녕하세요, 여러분!
어려운 의학지식을
쉬운 건강정보로 알려드리는
바로한의원 문지현 원장입니다.
오늘은 우리가 살면서 흔히 겪는
‘타박상과 혈종’에 대해
이야기해보려 합니다.
넘어지거나 부딪혀서 생기는 멍,
*그냥 두면 빠질까요? *아니면 적극적으로 치료해야 할까요?
오늘 그 궁금증을 완벽하게
풀어드리겠습니다.
1. 타박상의 시작,멍과 혈종은 어떻게 다른가요?
우리가 흔히 말하는 '멍'은
모세혈관이 터져
피부 아래 피가 스며든 상태입니다.
하지만 '혈종'은 조금 다릅니다.
혈관 밖으로 나온 피가
한곳에 뭉쳐서 덩어리를 만든 것이죠.

특히,
허벅지나 엉덩이는
근육량이 많아 혈종이 크게 생길 수 있고,

방치하면
근육 유착이나 석회화가
일어날 수 있습니다.

얼굴은 피부가 얇고
혈관이 발달해 있어
부기가 심하고
회복이 더디게 느껴지기도 하죠.
2. 2018년 논문이 밝힌 새로운 사실안와 혈종, 마냥 기다리지 마라!

https://doi.org/10.1080/01676830.2018.1528618
2018년 'Orbit'지에 발표된
논문에 따르면,
이런 혈종을 자연 흡수되길 기다릴 경우
무려 6개월이라는
긴 시간이 걸릴 수 있다고 합니다.
그동안 환자는 복시나
안구 돌출과 같은
후유증을 고스란히 견뎌야 하죠.

실제로 12~15세 소년 4명을 대상으로
외상 후 10일 이내에 바늘을 이용해
고인 피를 뽑아냈더니,
시술 즉시 안구 운동 기능이 회복되고
안구 돌출이 사라졌습니다.
즉, 혈액이 응고되기 전
조기에 처치하는 것이
회복 기간을 획기적으로 줄이는
핵심이라는 사실이 입증된 거죠.
*3. 시기를 놓치면 회복이 느리며,장기적인 불편을 초래할 수 있습니다."원장님, 다친 지 오래됐는데* ## 지금 해도 소용있을까요?" 혹은 ## "피가 굳어서 안 뽑히지 않을까요?" 라는 질문을 많이 하십니다. 이에 대해 2021년 'AJR'지에 실린 최대 규모의 연구가 명쾌한 답을 줍니다.
doi.org/10.2214/AJR.19.22752 혈종이 생긴 지 하루 된 것부터 최대 180일까지의 사례들을 분석한 결과, 이 기간 내에 발생한 것이라면 혈종의 '나이'가 시술의 성공 여부를 결정짓지는 않았습니다.
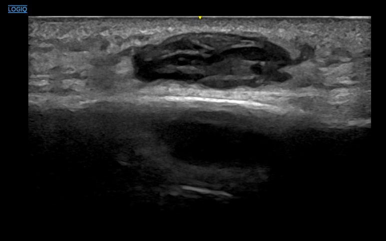
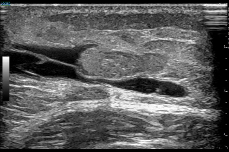
초음파상 피가 굳어 보이는 고에코 상태나 복잡한 격막이 관찰되더라도, 80% 이상의 사례에서 성공적으로 배액이 가능했던거죠. 배액술을 받은 모든 환자가 즉각적인 증상 호전을 보이기도 했고요. * * * ## 2가지 논문을 종합해본 결과즉, 6개월까지는 몸이 스스로 해결하려고 노력하는 기간이자 비침습적으로 해결할 수 있는 ## 이상적인 치료 기간인 셈입니다. * * * ## 5. 한의 초음파의 핵심경혈 주변을 정밀하게 타겟팅! 한의학에서는 이런 혈종을 치료할 때 '경혈' 주변의 해부학적 구조를 면밀히 살핍니다. 초음파를 통해 주변 근육인 경근(經筋) 조직의 손상이나 혈종의 정확한 깊이를 확인하는 것이죠. [하지부] 허벅지의 복토혈(伏兎) 엉덩이의 환도혈(環跳) 과 같은 주변에 깊숙이 자리 잡은 혈종은 손으로 만져서는 정확한 위치를 알기 어렵습니다.
초음파로 병변 부위에 딱 맞춰 시술해야 주변 조직 손상 없이 어혈을 빠르게 제거할 수 있고요. 치료 직후 혈종이 빠르게 사라집니다.
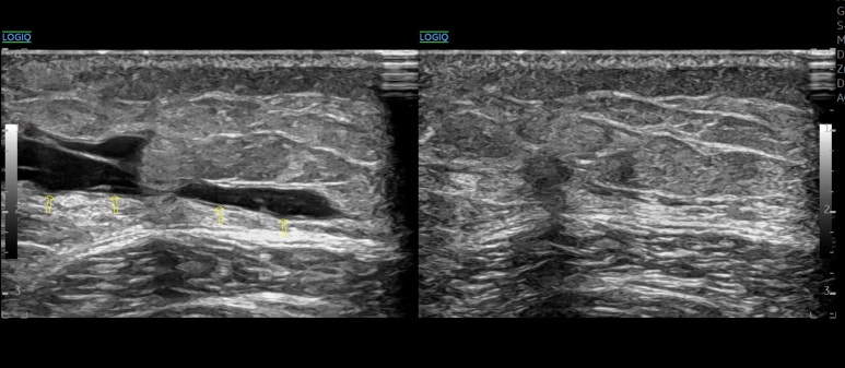
[안면부] 눈과 광대뼈 주변의 찬죽(攢竹), 거료(巨髎)와 같은 혈자리 주위는 신경과 혈관이 복잡해요. *만약 이미 응고되어
*흡인이 되지 않고 섬유화되었다면 어혈을 풀어주는 ## 어혈약침또는DNA 연아약침을 사용해 적극적으로 조직을 재생시켜야 합니다. 어혈약침에 대한 내용은 아래 포스팅에 정리해두었습니다! ↓↓↓ * * * ## 6. 혈종 치료의 골든타임외상 후 10일 이내 가장 좋은 것은 발생 10일 이내에 조기 흡인을 하는 것입니다. 이때는 전신 마취나 큰 통증 없이도 즉각적인 회복이 가능하기 때문이죠. 시간이 지나 피가 굳어버리면 주사기로 뽑아내기 어렵고, 결국 절개 수술을 해야 할 수도 있습니다. 하지만 시기를 놓쳤더라도 *굳어진 혈종을 흡수시키고
*섬유화된 조직을 재생시켜줄 *약침치료를 기억하세요!
타박상 후 부기가 가라앉지 않거나
딱딱한 덩어리가 만져진다면,
간편하게 회복할 수 있는 방법을
꼭 고민해보셔야 합니다.
오늘 내용이 도움이 되셨다면,
없어지지 않는 피 멍울로
고생하고 계신분께
공유 부탁드리고요.
저는 다음에 더 유익한 내용으로
찾아뵐게요!
어혈 풀어주는 약 어혈제거 어혈한약 aspiration 혈종 흡인 얼굴 멍 빨리 빼는 법 노란 멍 빼기 얼굴에 멍 온찜질 파스 피멍울 빼는법 원인 타박상 찜질 연고 치료 무릎 타박상 병원 화곡역 우장산역 발산역 마곡역 송정역 김포공항역 개화산역 방화역 까치산역 신정역 목동역 오목교역 양평역 영등포구청역 영등포시장역 신길역 여의도역 여의나루역 마포역 공덕역 애오개역 충정로역 서대문역 광화문역 종로3가역 을지로4가역 마곡나루역 양천향교역 가양역 증미역 등촌역 염창역 신목동역 신정네거리역 양천구청역 신도림역 개봉역

바로한의원
서울특별시 강서구 화곡로 143 충효빌딩 3층