엄지손가락 건초염 드퀘르벵병 증후군 치료해도 반복된다면 <이것> 확인해봐야 [초음파 약침]

안녕하세요!
여러분의 건강 궁금증을 속 시원하게 해결해드리는
바로한의원 안태석 원장입니다.** 오늘은 손목 통증 중에서도 가장 흔하면서도 고질적인 질환, 바로 **'드퀘르벵 건초염(De Quervain’s disease)'에
대해 이야기해보려 합니다.
예전에는 이 병을
'빨래하는 여성의 손상
(washerwoman's sprain)'이라고 부를만큼
손을 많이 쓰는 분들에게 자주 나타나는데요.
요즘은 스마트폰을 많이 쓰거나,
특히 아이를 계속 안아줘야 하는 초보 엄마들에게
정말 많이 나타납니다.

오늘은 단순히
"손목 아프면 쉬세요" 같은 이야기가 아닙니다. 2017년 발표된 연구 논문을 바탕으로
왜 어떤 사람들은 주사를 맞아도 잘 낫지 않는지, 그리고 한의학에서
초음파를 보면서 치료하는 것이 왜 중요한지
구체적인 해부학적 비밀을 알려드리겠습니다.
1. 욱신거리는 엄지 손목, 그냥 두지 마세요 간단하게 셀프 테스트 하나 해볼까요?
엄지손가락을 안으로 넣고 주먹을 꽉 쥔 다음,
엄지손가락 방향이 아니라
새끼손가락 방향(아래)로 꺾어보세요.
이때 엄지 쪽 손목에 통증이 있다면
드퀘르벵일 확률이 매우 높습니다!

이 병은 우리 손목의
'제1신전 구획'이라는 터널에서 발생하는데요.
여기에는 엄지를 움직이는 두 개의 힘줄
장무지외전근, 단무지신근이 지나가는데,** 이 위를 덮고 있는 **'신전지대'라는
막이 두꺼워지면서 터널이 좁아지는 게 핵심입니다.

*하지만 이 질환, *치료가 쉽지 않습니다."원장님, 저 치료를 받았는데도 왜 재발할까요?"라고
묻는 환자분들이 많은데요.
오늘은 2017년에 실린 연구를 통해
그 해답을 찾아보겠습니다.

DOI: http://dx.doi.org/10.18203/2320-6012.ijrms20173989
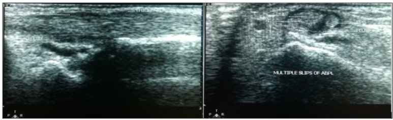
2. 손목 건초염, 드퀘르벵병도대체 어떤 질환인가요? 15명의 환자를 대상으로
고해상도 초음파를 통해 분석한 결과
아주 중요한 사실들이 몇가지 밝혀졌습니다.
첫째,
정상적인 손목 터널 막의 두께는 얇아야 하는데,
환자들의 경우 평균
1.65mm까지 두꺼워져 있었습니다.** 심한 분은 2.22mm까지 두꺼워져 있었죠.**
터널이 두꺼워지니
힘줄이 움직일 공간이 없어 꽉 끼는 상태가 됩니다.
DOI: http://dx.doi.org/10.18203/2320-6012.ijrms20173989
둘째,
놀랍게도 환자의 40%에서
하나의 방이어야 할 공간에
격막(Septum)이라는 칸막이가 존재했습니다.** 이게 왜 중요할까요?
DOI: http://dx.doi.org/10.18203/2320-6012.ijrms20173989 이 '벽'이 있으면 주사 치료를 할 때 약물이 벽에 막혀 반대편 힘줄까지 도달하지 못합니다. 직접 눈으로 보지 않고 Blind 주사를 놓으면 효과가 반감될 수밖에 없는 구조적인 이유가 있었던 겁니다. 셋째, 더 놀라운 건, 환자의 60%에서 장무지외전근(APL) 힘줄이 한 가닥이 아니라 여러 가닥(Multiple slips)으로 갈라져 있었다는 점입니다.
DOI: http://dx.doi.org/10.18203/2320-6012.ijrms20173989 힘줄이 여러 갈래면 마찰이 더 심해지고 치료 난이도도 높아지겠죠. 이 논문에서도 강조하듯이 초음파는 이 해부학적 변이를 찾아내는 데 탁월합니다. 단순히 "염증입니다"가 아니라, **"힘줄에 칸막이가 있어서 염증이 고립되어 있네요"혹은"힘줄이 여러 갈래라 마찰이 심하네요"*라고정확히 구조를 파악할 수 있는거죠.
3. 손목 통증, 드퀘르벵 건초염 특효혈!초음파 약침 드퀘르벵 증후군의 특효혈은 바로
수양명대장경의 양계혈[陽溪, LI5] 입니다.
이 양계혈 주변의 해부학적 구조를
실시간으로 보면서,
염증이 있는 건초 내로
PDRN 연아약침을 주입하죠 PDRN 성분이 염증을 줄여주고,
손상된 조직을 재생시키는 효과가 뛰어납니다.
특히, 도침(Acupotomy)을 사용해
두꺼워진 신전지대(터널)의 유착을 박리하여
꽉 조인 압력을 풀어주는데
*이때 초음파로 혈관과 신경을 피해 *안전하게 시술하는 것이 핵심입니다.
4. 당신의 손목, 이제 참지 마세요 오늘 소개해드린 연구 결과,
어떠셨나요?
내 손목이 아픈 이유가 단순히 많이 써서가 아니라,
내 손목 안의 숨겨진 벽이나
갈라진 힘줄 때문일 수도 있다는 사실!
이런 구조적인 문제를 무시하고 무조건 참거나,
정확하지 않은 위치에 치료를 받는다면
통증은 오래갈 수밖에 없습니다.
손목 통증 없는
편안한 일상을 되찾으시길 바라며,
지금까지 바로한의원 안태석 원장이었습니다.
감사합니다!
드퀘르벵 증후군 수술 건초염 보호대 치료 손목터널증후군 손목건초염 증상 주사 병원 엄지손가락 건초염 마디 통증 관절 왼쪽 오른쪽 엄지손가락

바로한의원 서울특별시 강서구 화곡로 143 충효빌딩 3층