요골신경마비, 손목 힘 빠짐, Wrist drop 치료법 <확인>

안녕하세요
올바른 건강 지식을 전달하는
바로한의원 안태석 원장입니다.**
팔을 좀 썼을 뿐인데..
술 먹고 팔 베개하고 잤을 뿐인데..
갑자기 손목과 손가락이 축 처지는 힘 빠짐,
경험해보셨나요?
바로 '요골신경마비'의 대표적인 증상,손목 처짐(wrist drop)입니다.
많은 분들이 놀라서 병원을 찾지만,
시간 지나면 낫는다고만 하고
방치해두는 경우가 많은데요.
초기에 제대로 치료하지 않으면
회복되지 않아 감압 수술이 필요할 수 있습니다.
오늘은 2024년 최신 연구를 기반으로
요골신경마비 치료법을 소개해드리겠습니다.
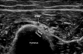
요골신경?

https://doi.org/10.1016/j.crad.2024.08.010
우리 위팔뼈에는
요골신경이 지나가는 특별한 길이 있습니다.
**'나선 고랑(spiral groove)'이라고 하는데요.
이름 그대로 나선형,
사선으로 파인 이 길을 따라서
'요골신경'이 지나갑니다.
요골신경은
손목과 손가락의 움직임을 담당하기에
마비가 되면 손목과 손가락에 힘이 빠지죠.

https://doi.org/10.1016/j.crad.2024.08.010
여기를 지나갈 때
신경 위쪽에는
말캉한 근육이 있는데요.
신경 아래쪽에는
딱딱한 뼈만 있고 별다른 쿠션이 없습니다.
팔을 많이 쓰면서 마찰이 많아지거나
팔 베개를 하면서 꾹 눌려버리면
신경이 흔히 손상됩니다.
마비된 신경은 '피해자'다?
그런데 여기서 중요한 점은요.
마비된 '요골신경'은
'피해자'이고요.
진짜 '가해자'는
바로 **'신경을 짓누르는 주변 조직'입니다.

https://doi.org/10.1016/j.crad.2024.08.010
아래쪽의 단단한 '상완골'과
뒤쪽의 '상완삼두근 외측두'
(Lateral head of Triceps) 라는
가해자 사이에
요골신경이라는
피해자가 끼어있는 구조죠.

https://doi.org/10.1016/j.crad.2024.08.010
팔을 많이 써서 삼두근과 주변 근막이
딱딱하게 긴장되고 유착되면서
이 공간이 좁아지고
요골 신경이 눌리게 되는 것이죠.
2 Step ! 투 스텝 치료법
그래서 요골신경마비 치료는
반드시 2단계로 이루어져야 합니다.
'피해자'와 '가해자'를 모두 해결하는
2단계 접근이 핵심 치료법입니다.
피해자부터 먼저 구출
첫 번째는 '피해자'인 요골신경을
직접 구해주는 것입니다.
현대 한의학에서는
로
소락혈 주변의 눌어붙은 유착 부위를 확인합니다.
염증 부위에
염증을 줄여주는 PDRN 연아약침으로 주사해서
눌려있는 신경 주변 공간을 만들어줍니다.
이렇게 눈으로 보면서 약침을 놓는 것을
이라고 합니다.
이어서 가해자 분리 조치
하지만 유착됐던 부위는
접착면이 다시 들러 붙으려는 특징이 있습니다.
재발하기 쉽겠죠.
그래서 재발 원인이 되는 '가해자'주변 근막, 근육을 치료해야 합니다.
먼저 긴장된 근막층에
PDRN 연아약침이라는 DNA 주사를 통해
단단하게 뭉친 혈자리를 풀어줍니다.
이후 근육 내 압통점을 자극해서
단단하게 뭉친 조직을 풀어줍니다.
뭉쳤던 근육이 움찔하고 점핑되는
트위치 사인이 나타나면 더 잘 풀립니다.
이렇게 '가해자'인 근막과 근육을 풀어줘서
'피해자'인 신경을 압박하는 것을 막아줘야
지긋지긋한 재발을 막을 수 있습니다.
전체를 바라보는 치료
요골신경마비는단순히 신경 그 자체만 봐서는 안 됩니다.
신경이 왜 마비되었는지,
그 구조적인 원인을 찾아 해결하는 것이
무엇보다 중요합니다.
피해자인 신경을 구출하고,
가해자인 근막과 근육을 치료하는
2-STEP 접근법이 필요하고요.
만약 골절이나 외상으로 발생한 마비라면
골절로 인한 혈종과 부종,
그리고 골 유합으로 인한
신경압박을 함께 풀어줘야겠죠.
원인별 정밀 치료
요골신경마비, 오래 되셨다면
더이상 방치하지 마시고요.
가까운 의료기관에서 초음파와 MRI,
신경의 기능을 평가하는
신경전도검사도 꼭 받아보셔야 하고요.
원인에 맞는 정밀 치료를 받으시길 추천드립니다.
서울 서남권 강서구 쪽이라면
발산역 마곡 이대서울병원
양천구 이대목동병원
구로구 고대병원에서 검사해보시는게 좋습니다.
오늘 정보가 도움이 되셨다면
이웃 추가 부탁드리고요.
앞으로도 유익한 정보들 전해드리겠습니다.
지금까지 바로한의원 안태석 원장이였습니다.

바로한의원
서울특별시 강서구 화곡로 143 충효빌딩 3층