잘 걷는데 발등 골절이라고요? [설상골, 중족골 골절]
목차
- 한의초음파연구회 학술이사와대한한의영상학회 교육위원**으로 활동하고 있는
- 발등을 삐었지만 잘 걸을 수 있다면?
- 50대 여성분**이 일주일 전 버스 정류장에서 양측 발등을 삐끗하셨다고 오셨습니다.
- 기존에 저에게 치료받으셨던 환자분의 소개로 함께** 오셨는데요.
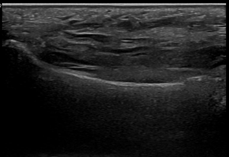
- 좌측의 정상 뼈 모습**은 표준 경혈 초음파 영상과 동일한데요.
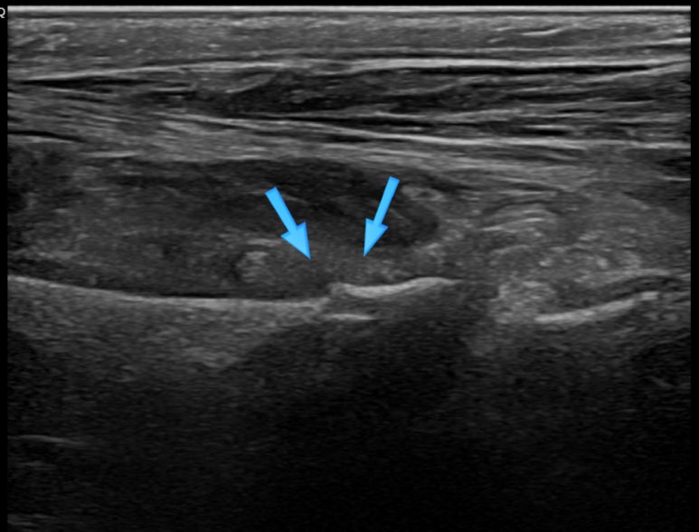
- 우측 용천혈의 아래쪽에서 연속되어야 할 뼈가 끊어져보입니다.
- 약침, 한약치료** 등의 한의 복합치료를 통해 골 유합을 촉진하고, 환자가 호소하는 통증을 줄이는 것 뿐만 아니라 본래 기능을 회복할 수 있도록 도와줍니다.
안녕하세요.
한의초음파연구회 학술이사와대한한의영상학회 교육위원**으로 활동하고 있는
바로한의원 문지현 원장입니다.

발목과 발등을 삐끗해서 한의원에 오시는 분들은 정말 많은데요.
발등을 삐었지만 잘 걸을 수 있다면?
으레 발등 골절은 아니겠지~ 하면서 큰 문제가 없을 거라고 생각하기 일쑤입니다.
하지만, 오늘도 역시나 X-ray에서 보이지 않는 발등 골절로 오신 케이스가 있어 소개하려고 합니다.
발등 골절 증레
50대 여성분**이 일주일 전 버스 정류장에서 양측 발등을 삐끗하셨다고 오셨습니다.
기존에 저에게 치료받으셨던 환자분의 소개로 함께** 오셨는데요.
발등과 발가락에 멍이 들고 부종이 전반적으로 퍼져있어 예사롭지 않았는데, 발바닥까지 아프다고 하셨습니다.
일주일이나 됐지만 잘 걸을 수 있어서 괜찮겠지 싶어 병원에 가지 않았다고요.** 이렇게 생각하시는 환자분들이 생각보다 많고, 초기에는 엑스레이나 시티에서도 잘 보이지 않는 골절도 있습니다.
## 좌측 발목**을 자세히 진찰해보니 특정 부위의 압진시 통증이 심했는데요. 여쭤보니 골다공증의 이력도 있으셨습니다.
한의학적으로 어혈/담음증에 해당하여 경혈초음파를 시행했습니다.** > 경혈 초음파 등 뿐만 아니라 발바닥쪽 통증도 호소하셔서 족소음신경 용천혈(溶泉穴) 주변을 초음파로 관찰한 영상입니다.**


용천혈 주변 좌측 / 우측
좌측의 정상 뼈 모습**은 표준 경혈 초음파 영상과 동일한데요.
우측 용천혈의 아래쪽에서 연속되어야 할 뼈가 끊어져보입니다.
뼈(骨)가 끊어져 보인다(折)는 것은 말 그대로 골절(骨折)을 의미합니다. 한의학 고전 중 외대비요에서 처음으로 골절이라는 병명을 언급하였고, 의종금감에 이르러 골절에 대한 체계가 잡히게 되었습니다. 현대 한의학의 외과 영역에서 골절은 주요 질환으로 치료하고 있는데요. 하지만 과거의 골절됐던 부분이나 퇴행성 변화로 뼈가 울퉁불퉁한 부위는 경혈 초음파상 뼈(骨)가 끊겨 보일 수 있고요.
무엇보다 경혈 초음파가 "골절"의 골든 스탠다드 진단법이 아니기 때문에 이번에 발생한 급성 골절이라고 확정지어 진단내릴 수 없는 경우가 많습니다.
그래서 골절인지 아닌지 정확한 감별하기 위해 640 CT가 가능한 협력병원으로 X-ray와 CT 검사를 의뢰하였습니다.
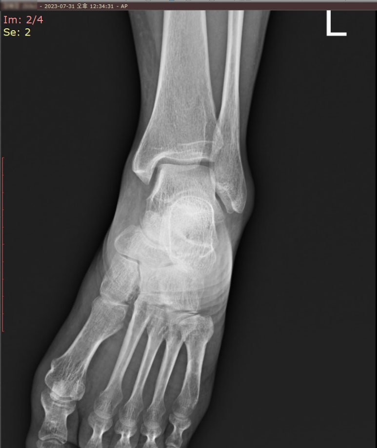
X-ray 검사에서 보이지 않는 발등 골절


정면과 측면에서 본 왼쪽 발등은
"left is not remarkable"
골절선이 보이지 않았습니다.
이러한 실금은 엑스레이에서 보이지 않을 수 있기 때문에 CT도 함께 의뢰했는데, CT에서는 어땠을까요?

설상골(cuneiform bone)부터
2/3/4 중족골까지,
무려 4군데 다발성 골절로 진단되었습니다.
영상의학과에 대학병원급 장비인 640CT가 있어서
작은 실금이나 미세골절, 견열골절들을 잘 잡아내십니다.

만약 골절을 모른채, 고정하지 않고 평소와 같이 생활하셨다면 뼈가 잘 붙지 않거나 골절 부위가 벌어져 빨리 낫지 않으셨을 겁니다.
다행스럽게도 본원에서 골절을 의심하여 영상의학과로 전원하여 신속하게 진단이 이루어졌고,
정형외과에서 정복이나 수술이 필요한 상태가 아니니 붓기 빠질 때까지는 반깁스를 먼저 하고, 이후에 통깁스를 하자고 컨설턴트를 주셔서 앞으로 한의 치료와 병행하기로 했습니다.

위 사례처럼 한의원에서 한의학적 이론에 따라 초음파 진단기기를 활용한다면 한의학적 진단의 정확도를 대폭 높일 수 있고요.
또한, X-ray 에서 보이지 않는 골절이 의심되는 경우 빠르게 타 병원으로 전원하여 세밀한 진단이 이뤄진다면 그에 따라 최적의 치료가 이뤄질 수 있습니다.** 발등을 삔 뒤에 잘 낫지 않아 인터넷에서 검색중이시라면 반드시 가까운 의료기관을 통해 CT검사를 받아보시길 바랍니다. > 골절에 대한 한의치료, 논문 발표 ## 골절에 대한 한의학적 치료의 효과**는 과학적으로 입증되고 있습니다.
약침, 한약치료** 등의 한의 복합치료를 통해 골 유합을 촉진하고, 환자가 호소하는 통증을 줄이는 것 뿐만 아니라 본래 기능을 회복할 수 있도록 도와줍니다.
한의학과 초음파에 진심인 바로한의원에서는 골절에 대한 한의복합치료를 병행한 환자분들의 치료 노하우를 논문으로 발표했습니다.
아래 링크를 참고하시길 바랍니다.