족저근막염 증상 치료 원인 발바닥 앞쪽 가운데 통증 <이것>아닌지 확인
목차
- 혹시 아침에 침대에서 내려와 첫발을 뗄 때,발뒤꿈치나 발바닥에서 '찌릿'하고칼로 찌르는 듯한 통증을 느껴본 적 있으신가요?
- 내 발바닥 통증의 원인이 무엇인지,그리고 어떻게 정확하게 치료해야 하는지에 대한
- 만성적인 퇴행성 변화**가 주를 이룬다고 합니다.
- 이거 혹시 암 아닐까요?"** 라고
- 연부조직 종양이 생길 수 있기 때문에정확한 감별이 매우 중요합니다.
- 족저근막염은 주로 뒤꿈치 뼈에 붙는 지점이
- 발바닥 중간 아치 부분에경계가 명확한 '혹'의 형태로 나타납니다.
- 오늘은 그중에서도 '정확성'과 '안전성'을극대화한 치료법에 대해 말씀드리려고 합니다.
- 한의학에서는 이러한 초음파 유도 기술을'약침 치료'와 접목합니다.
- 특히 PDRN 연아약침은염증을 줄여주고, 재생작용이 우수해
- 훨씬 효율적이고 안전하죠.
- 발바닥 통증, 더 이상 참고 방치하지 마세요.

안녕하세요.
근거 중심의 바른 건강 정보를 전해드리는
화곡동 바로한의원 문지현 원장입니다.
오늘은 여러분이 가장 궁금해하시는
질환 중 하나에 대해
속 시원히 알려드리고자 합니다.
발바닥 통증 족저근막염
발바닥 혹 덩어리
혹시 아침에 침대에서 내려와 첫발을 뗄 때,발뒤꿈치나 발바닥에서 '찌릿'하고칼로 찌르는 듯한 통증을 느껴본 적 있으신가요?
많은 분들이 '아, 나도 족저근막염이구나' 하고
쉽게 짐작할 수 있습니다.

실제로 족저근막염은
성인 발뒤꿈치 통증의 가장 흔한 원인이 맞습니다.
평생 살면서 10명 중 1명은 겪는
아주 흔한 질환이죠.
하지만 여러분,
발바닥 통증이나 발바닥에 만져지는 모든 덩어리가
다 같은 족저근막염은 아닙니다.
오늘 이 글을 끝까지 보시면,
내 발바닥 통증의 원인이 무엇인지,그리고 어떻게 정확하게 치료해야 하는지에 대한
명확한 해답을 얻으실 수 있을 겁니다.
족저근막염
'염증'이 아니라 '낡은 밧줄'입니다
먼저, 우리가 흔히 부르는 '족저근막염'이라는
이름부터 바로잡고 가야 합니다.
이름에 '염증(炎)' 자가 붙어있어서
흔히 급성 염증 질환으로 오해하기 쉽습니다.

@ DOI: 10.4103/jmu.jmu_2_23
하지만 2023년에 발표된 최신 고찰 논문에 따르면,
족저근막염의 조직을 현미경으로 들여다보면
염증 세포는 거의 보이지 않고, 오히려
만성적인 퇴행성 변화**가 주를 이룬다고 합니다.
이게 무슨 말일까요?
우리 발바닥에는
발의 아치를 받쳐주는 두껍고 강한 띠,
'족저근막'이라는 구조물이 있습니다.
족저근막이 충격을 흡수하는 스프링 역할을 하죠.
그런데 과도한 달리기나 오래 서 있는 일,
비만 등으로 인해 이 족저근막에
반복적인 미세 손상이 쌓이면 어떻게 될까요?
마치 튼튼했던 밧줄의 섬유 가닥들이
하나둘씩 끊어지고 너덜너덜해지는 것처럼,
*족저근막의 콜라겐 섬유가 ## 퇴행성 변화를 겪게 되는 겁니다. 그래서 의학적으로는 '족저근막염'보다는 '족저근막증' 또는 '족저근막병증'이라는 용어가 더 정확한 표현일 수 있습니다. 단순히 불난 곳에 소염제로 불만 끄는 치료가 아니라, ## 낡고 약해진 밧줄을 다시 튼튼하게 만들어주는치료가 필요하다는 의미입니다. > 족저근막 증상 치료 원인 그렇다면 이 낡은 밧줄 같은 내 족저근막의 상태를 어떻게 정확히 알 수 있을까요? 바로 여기에 '초음파'라는 아주 강력한 무기가 있습니다. 초음파는 인체에 무해하고, 방사선 노출 걱정이 없으며, 실시간으로 근육, 인대, 근막의 상태를 눈으로 볼 수 있는 훌륭한 영상 진단 장비입니다. 발바닥에 위치한 족소음신경의 의 표준 혈자리 모습입니다.
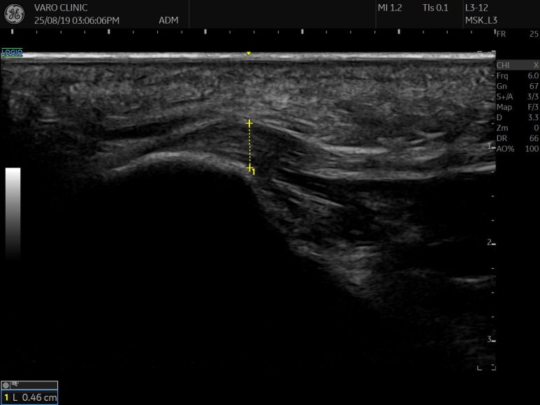
정상적인 족저근막은 초음파 영상에서 3-4mm 이하의 두께로 가지런한 섬유 다발 구조를 보이는 반면,
족저근막염이 생기면, 즉, 밧줄이 낡고 부어오르게 되면 초음파 상에서 4mm 이상 두껍게 관찰되고 맑고 하얗던 섬유 구조가 시커멓게 변하는 '저에코' 소견을 보입니다.
@ DOI: 10.4103/jmu.jmu_2_23 최근에는 여기서 한 단계 더 나아갔습니다. 2021년에 발표된 한 연구에 따르면, '탄성 초음파'라는 새로운 기술로 족저근막염이 생긴 부위의 단단함(경직도)을 측정해보니, 오히려 정상 조직보다 더 무르고 부드러워져 있었다는 사실이 밝혀졌습니다. 밧줄이 탄성을 잃고 흐물흐물해진 상태를 생각하시면 쉽습니다. 심지어 이 방법은 일반 초음파로 두께 변화가 나타나기 전에도 이상을 발견할 수 있어, 조기 진단의 가능성을 열어주었죠. > 발바닥 혹 종양 > > 앞쪽 가운데 바깥쪽 아치 통증 그런데 만약 발바닥에서 무언가 만져진다면 어떨까요? **"원장님, 발바닥에 혹이 만져지는데*
이거 혹시 암 아닐까요?"** 라고
걱정하며 오시는 분들이 많습니다.
실제로 족저근막 외에도 다양한
연부조직 종양이 생길 수 있기 때문에정확한 감별이 매우 중요합니다.
대표적인 양성 종양으로
'족저 섬유종증'이 있습니다.
이것은 족저근막 자체에 단단한 결절,
즉 혹이 생기는 병입니다.
족저근막염과 어떻게 다를까요?

@DOI: 10.15557/JoU.2019.0021

@DOI: 10.15557/JoU.2019.0021
초음파로 보면 그 차이가 명확합니다.
족저근막염은 주로 뒤꿈치 뼈에 붙는 지점이
전체적으로 두꺼워지는 양상인 반면
족저 섬유종증은 그와 떨어진
발바닥 중간 아치 부분에경계가 명확한 '혹'의 형태로 나타납니다.

@ https://doi.org/10.2214/ajr.180.1.1800099
이 외에도 피하 지방층에 생기는 '표피낭종'이나
다른 양성 종양들도 초음파를 통해
그 위치와 형태를 파악하여
족저근막염과 감별할 수 있습니다.
그러니 막연히 불안해하지 마시고,
영상 검사를 통해
정확한 원인을 찾는 것이 우선입니다.
족저근막염 병원 마사지 스트레칭?
자, 이제 원인을 정확히 알았다면 치료를 해야겠죠.
족저근막염에 좋은 스트레칭, 물리치료 등
여러 좋은 치료법들이 있습니다.
오늘은 그중에서도 '정확성'과 '안전성'을극대화한 치료법에 대해 말씀드리려고 합니다.
과거에는 의사가 손으로 아픈 부위를 눌러보고
짐작해서 주사를 놓았다면,
이제는 초음파로 실시간 영상을 보면서 치료하죠.

@ DOI: 10.4103/jmu.jmu_2_23
앞서 소개해드린 2023년 논문에 따르면,
초음파를 보면서 주사하는 것이
단순히 만져보고 주사하는 것보다
치료 결과가 우수하며,
주변 신경이나 혈관을 건드리는 위험을
피할 수 있다고 강조하기도 했습니다.
족저근막염 약침 주사
한의학적 치료
한의학에서는 이러한 초음파 유도 기술을'약침 치료'와 접목합니다.
약침은 한약재의 유효 성분을 정제하여
경혈이나 통증 부위에 직접 주입하는 치료법인데요.
초음파로 을 관찰하면서
두꺼워지고 어둡게 변성된
족저근막 부위를 정확히 찾아낸 뒤,
그곳에 조직의 재생을 돕고
통증을 줄이는 약침을 정확하게 주입하는 겁니다.
특히 PDRN 연아약침은염증을 줄여주고, 재생작용이 우수해
마치 영양분이 부족해 마르고
낡아버린 밧줄 가닥가닥에
직접 영양제를 공급해주는 것에 비유할 수 있어요.
불필요한 부위에 약물이 퍼지는 것을 막고,
*꼭 필요한 병변 부위에만 *치료 효과를 집중시킬 수 있어
훨씬 효율적이고 안전하죠.
족저근막염 초음파 약침 도침
정리하겠습니다.
첫째, 족저근막염은 단순 염증이 아닌,
족저근막이 낡고 약해진 '만성 퇴행성 질환'입니다.
둘째, 초음파 검사는 족저근막염을 진단하고,
다른 위험한 혹은 아닌지 감별하는 데 필수적입니다.
셋째, 초음파 약침 치료는
손상된 부위에 정확하고 안전하게
치료 효과를 전달하는 현대 한의학 치료법입니다.
발바닥 통증, 더 이상 참고 방치하지 마세요.
내 몸이 보내는 신호의 진짜 원인이 무엇인지
정확히 파악하는 것이
건강한 발걸음을 되찾는 첫걸음입니다.
발바닥 통증으로 한번도 진료를 보지 않으셨다면
서울 강서구 화곡동 우잔상동
양천구 목동 신정동 신월동
부천 인천 김포 지역은
발산역 마곡 이대서울병원을 추천드리고
상암 마포 지역이라면
신촌 세브란스병원을
구로 고척 지역은 고대구로병원을
추천드립니다.
오늘 내용이 도움이 되셨기를 바라며,
지금까지 문지현 한의사였습니다. 감사합니다.
본 게시물은 의료심의 면제항목으로만 작성한 공익적인 건강 정보 포스팅입니다.