화곡동 허리 디스크 아플때, 초음파로 정확하게 치료하는 곳 있습니다
목차
안녕하세요
대한한의영상학회 교육이사안태석 원장**입니다
저는 12년간
경혈 초음파를 활용하며
정확하고 효과적으로
도침과 약침을 시술하는
임상 초음파 연구자입니다.
오늘 소개해드릴 치료 케이스는
허리 디스크 치료할 때한번쯤 확인해봐야 할 내용**입니다
디스크가 아닌
은 아닌지
딱 3분만 집중해서
읽어보시길 바랍니다.
허리 디스크 탈출증 환자,
이번에도 디스크일까?
해당 환자분은
10년 전에 허리 4-5번 사이
디스크 탈출증으로 진단 받았던
50대 여자 환자입니다
가끔씩 허리가 불편했는데
어제부터 갑자기 담 결리듯이
심한 통증이 있다가 없다 한답니다.
본인 생각에는
허리 인대와 근육이 늘어난 것 같다고요
그런데 꼼꼼하게 진찰해보니
디스크 탈출로
평소 아프던 아래허리가 아니라
위쪽 허리가 아프다고 하십니다.
우선 척추 기립근 근육을 촉진해보니
길이가 짧아지고 뭉친 곳이 있었습니다.
개인정보활용동의 후 촬영한 영상으로 무단도용을 금합니다.
통증을 호소하는 혈자리를
손으로 먼저 찾아낸 뒤
경혈 초음파를 통해
문제가 있는 깊이를 찾아
정교한 약침 치료를 합니다.
그런데 이 환자분을
시술하다보니
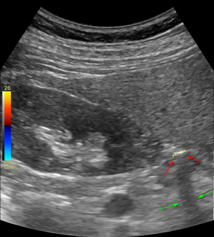
뭔가 반짝이는게 보입니다?

위 사진은 제가 출판한
인데요.
한의학의횡문 지실혈쪽
그러니까 위쪽 허리에는
신장(콩팥, Kidney)이라는 장기가
매우 가깝게 위치하거든요

이 환자분은 신장 주변에서
그림자**(녹색 화살표)와 초음파가 통과하지 못한 딱딱한 흰색 선**(빨간 화살표)이
보입니다.
요로 결석이 의심되어
신장쪽을 두들겨 타진해보니
최근 아프던 통증이
똑같이 나타납니다.
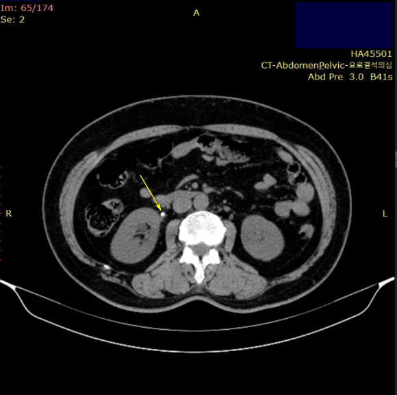
만약에 요로 결석이
요관을 꽉 막고 있는 경우는
수신증으로 진행되어
신장 기능이 손상될 수도 있기 때문에
강서구 화곡동에 있는
2차 병원으로 의뢰하여
CT검사를 진행하였습니다.

CT검사상
우측 요관 결석과신장 결석이 진단**되어
돌을 깨는 쇄석술을 받으셨고요.
퇴원 후에는
빠른 회복을 위해
재활 한약을 처방해드렸습니다.
정확한 진단과 세밀한 치료가 필수
디스크 탈출증 환자더라도
현재 호소하는 증상의 원인이
디스크 탈출증에서 오는 것인지
다시 확인해야 합니다.
왜냐하면
증상이 없는
무증상 디스크 탈출증도
많고요.
디스크 탈출증과
유사하게 나타나는
인대 늘어남 연관통,
근막통증증후군도 흔합니다.
특히 등 부위부터
위쪽 허리가 아프면
은 아닌지
체크해봐야 합니다
이처럼 진료현장에서
임상하는 의사들은
숙련된 진단 스킬과
노하우가 있어야 합니다.
효과적인 치료는
세밀한 진단에서부터
시작한다는 점
잊지 마시길 바랍니다.
디스크 협착증 치료 후기

바로한의원 의료진은
학회 보수교육 강사로 참여하여
초음파 가이드 약침, 도침 치료사례와
시술 노하우를 공유하고 있습니다.
전국 어디서든
가까운 지역 한의원에서
초음파 가이드 침 치료를 받으실 수 있도록
더욱 더 분발하겠습니다.
환자분께서 남겨주신디스크 협착증 치료 후기는이웃 추가 후아래 링크에서 보실 수 있습니다.
https://blog.naver.com/varo_clinic/223215929888
탈출된 디스크,
한의원에서 치료될까요?
한의 치료 후
디스크 흡수율 연구는
아래 글에서 정리하였습니다.