Foot drop, 발목 처짐, 족하수? 비골신경 마비 골든타임을 놓치지 마세요 <초음파 약침>
목차

안녕하세요.
근거 중심의 건강 정보를 전해드리는
바로한의원 원장 안태석입니다.
자고 일어났는데 발목이 안 움직여요!
혹시 딱딱한 바닥에서 자고 일어났거나,
무릎 바깥쪽을 부딪혔는데
한쪽 발목에 힘이 쭉 빠지면서
발목과 발가락이 위로 들어 올려지지 않는 경험,
해보신 적 있으신가요?

이것을 바로 '발목 처짐(Foot Drop)',
한자로는 '족하수(足下垂)'라는 이름의 증상입니다.
많은 분들이 '뇌, 허리 디스크 문제는 아닐까?' 하고
덜컥 겁을 먹고 응급실을 찾으시곤 하는데요.
당연히 신경학적 원인을 감별하는게 필요하지만,
부딪히거나 눌려있던 경우는
'총비골신경 마비'**가 원인입니다.
오늘은 이 불안하고 당황스러운 증상의
원인을 명확히 짚어보고,
현대 한의학에서는 초음파를 이용해
어떻게 정밀하게 치료하는지
최신 연구와 함께 알려드리겠습니다.
총비골신경, 왜 잘 눌리나?
우리 다리에는
허벅지 뒤쪽에서부터 내려와
무릎 바깥쪽을 감싸고 도는
'총비골신경(Common Peroneal Nerve)'
이라는 신경이 있습니다.

@ https://doi.org/10.14740/ijcp513
이 신경은 무릎 바깥쪽에 튀어나온 뼈인
'비골두(fibular head)'를 끼고
피부에서 가까운 아주 얕은 곳으로 지나갑니다.
주변에 근육이나 지방 같은 쿠션이 거의 없어서
외부 압박에 매우 취약하죠.
마치 얇은 고무호스가
모서리에 아슬아슬하게 걸쳐있는 것과 같습니다.
이 부위를 살짝만 눌러도
호스가 꺾여 물이 잘 안 통하는 것처럼,
총비골신경도 작은 압박에
쉽게 기능이 마비될 수 있습니다.
이것이 바로 딱딱한 바닥에서 자거나,
정강이 바깥쪽을 부딪힌 후에
총비골신경 마비로
풋 드랍이 잘 생기는 이유입니다.
Foot drop, 풋드랍 진단?
과거에는 이런 증상이 나타나면
MRI 같은 고가의 검사를 진행했습니다.

하지만 2020년 베일러 의과대학에서 발표한
흥미로운 논문에 따르면,
MRI나 근전도 검사에서
모두 '정상'으로 나왔음에도
신경 압박으로 인한 통증이
지속되던 케이스가 있었습니다.

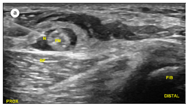
이때 활약한 것이 바로 '정밀 초음파'입니다.
초음파로 신경을 직접 들여다보니,
신경 섬유 내부가 부어있는 것이 확인되었죠.
현대 한의학, 초음파 파약침
현대 한의학에서는
초음파로 혈자리를 단순히 보기만 하는 것을 넘어,
으로 치료합니다.
'신경 이완 약침'**이라고 하는데요.
눌린 신경의 압박을 풀어주는 '물길'을
열어주는 것이죠.
은문제가 있는 양릉천이라는 혈자리를눈으로 보면서 주사하는 것입니다.
주로 염증을 줄여주고 재생에 효과적인
PDRN DNA 약침**을 사용합니다.
약물이 이 신경과 주변 조직 사이로
부드럽게 퍼져나가면서,
물리적으로 공간을 확보해신경에 가해지는 압박을 해소해 줍니다.
마치 막힌 틈새에 물을 왕창 쏟아 부어
뚫어내는 것처럼요.
이를 통해
신경이 다시 숨 쉴 공간을 만들어주고,
혈액순환을 개선하여
신경이 스스로 회복할 수 있는최적의 환경을 만들어주는거죠.
그런데 시술하다보면
염증으로 들러 붙은 유착 부위나
상처가 나서 딱딱하게 섬유화된 흉터에는
약물이 잘 들어가지 않습니다.
이런 모습을 보면서
MRI에서 나타나지 않던
신경의 압박 부위를 확인할 수 있는 것이죠.
발목이 갑자기 움직이지 않는 '발목 처짐' 증상
자고 일어났을 때, 혹은 부딪힌 후에
허리부터 엉덩이, 대퇴부 통증이 없다면
너무 불안해하지 마세요.
대부분은 총비골신경이 눌려서 발생하며,
1년 내에 충분히 회복될 수 있습니다.
특히 현대 한의학의 '초음파 약침'은
문제가 있는 부위를 눈으로 직접 보면서,압박을 정밀하게 풀어주는 비수술 치료법입니다.
혹시라도 이런 증상을 겪게 되신다면
골든타임인 3주 이내에
신경의 상태를 직접 눈으로 확인할 수 있는 곳에서
정확한 진단부터 먼저 받으시길 바랍니다.
양천구 목동 신정동 신월동
강서구 화곡동 우장산동
마포 상암 김포 일산 부천 인천 지역이라면
마곡 발산역에 있는 이대 서울 병원을 추천드립니다.
오늘 내용이 도움이 되셨다면
부탁드리고요.
지금까지 바로한의원 안태석 원장이었습니다.
감사합니다.
Wrist drop, 손목 처짐
요골신경 마비로 인한 wrist drop은
아래 글을 참고하세요.
https://blog.naver.com/varo_clinic/223968055947
위 포스팅은 의료광고심의면제 조건으로만 작성한 공익적인 건강정보 게시글입니다.
전국 어디나 초음파를 활용하는 의료기관이 있으니, 가까운 곳에서 진료보시길 추천드립니다.