GE Fortis (E10 슬림버전), 초음파 최상위 기종
해당 포스팅은 정보 전달용으로 작성했으며, 이미지 저작권은 모두 "GE 초음파"에 있음을 알려드립니다.
GE LOGIQ의 최상위 기종, E10과 Fortis
GE의 범용 초음파 라인인 LOGIQ의 최상위 기종은 E10과 Fortis입니다. E10은 국내 메이져 빅5 대학병원에서 쓰는 프리미엄 장비이고, E10의 슬림형 모델이 포티스입니다.
GE Fortis는 E10과 동일하게 cSound 이미지 포머를 사용하면서 로컬 일차의원이나 초음파 유도하 시술하는 병원에서 쓰기 좋게 부피를 대폭 줄였습니다.
연부 조직에 있어서는 MRI급 해상도를 보여주는 최상위 초음파로 프루브나 옵션 구성에 따라서 1억1천~1억7천만원대의 장비입니다.
cSound Imageformer
씨사운드 이미징 포머는 영상 데이터를 얻고 처리하는 영상 정보 처리 장치입니다.
인공지능과 자율주행기술 개발로 획기적으로 개선된 NVIDIA(엔비디아)의 GPU를 탑재하면서 전작 E9 XDclear 대비 데이터 처리량은 무려 48배나 증가하였고, 종합적인 처리능력은 10배 개선했습니다.
GPU은 중앙정보 처리장치로 자동차로 치면 엔진에 해당되는데요. 불과 3년 전보다 배기량이 10배나 좋아지면서 해상도가 훨씬 더 개선되었다고 합니다.

실사용자가 체감할 수 있는 가장 큰 특징은 Focus를 조절할 필요가 없습니다. 포커스 버튼 자체가 없습니다.
빅데이터 메모리를 통해서 모든 픽셀이 포커싱 되어 이미지 전체를 균일한 고해상도로 나타내줘서 상하로 포커스를 조절할 필요가 없어 조작 편의성이 좋아졌습니다.
XDclear Probe
XDclear probe는 GE 초음파가 특허를 낸 독자적인 프루브 기술입니다.
신호 대비 노이즈 효율이 좋은 싱글 크리스탈(Single crystal)을 사용하면서, 크리스탈에서 발생하는 열을 빠르게 식혀주는 냉각판(Cool stack)을 추가하였습니다.
또한 깊은 부위에서 돌아오는 미세한 반사 신호를 증폭하는 기술(Acoustic amplifier)이 탑재되었습니다.

그 결과 복부 기준으로 같은 주파수 대비 4cm 정도 더 깊게 투과됩니다.
지방층이 두꺼운 비만 환자나 지방간 환자의 경우 초음파 진단에 한계가 있었는데, XDclear probe를 활용한다면 좀 더 나은 해상도를 보여줍니다.
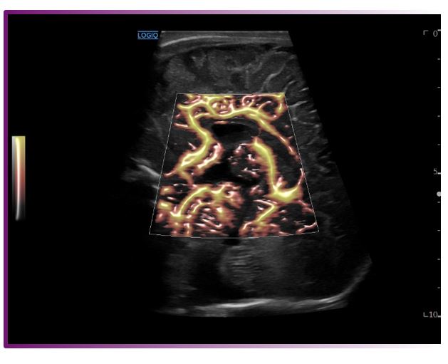
Radiant flow

포티스의 기본 옵션으로 혈류 정보를 분석해서 입체적으로 표현하는 기능입니다.
노이즈를 제거하여 미세혈관을 좀 더 선명하고 정확하게 나타냅니다.
Microvascular Imaging, MVI

마찬가지로 포티스의 기본 옵션으로 파워도플러의 확장형 기능입니다.
높은 속도의 혈류나 연부조직의 노이즈를 제거해서 낮은 속도의 혈류도 감지할 수 있습니다.
미세혈류나 느린 정맥 혈류를 감지하는 기능입니다.
Auto Doppler Assiatant

Pulsed Wave 측정시 수동으로 조작했어야 하는데, 원터치 자동으로 최적화 해주는 기능입니다.
보고자 하는 필드에서 스캔 라인 각도를 조절하여 알아서 최적화해주는 기능입니다.
ShearWave Elastographt, SWE

쉐어웨이브 엘라스토그래피 옵션은 빔에서 양 옆으로 수평 방향을 향해 발생하는 횡파를 측정하는 최신 기술입니다.
일반적으로 수직 방향으로 빔을 쏴서 돌아오는 데이터를 분석하는데 이건 수평 방향의 약한 반사파를 잡아냅니다.
주로 조직의 경화도를 정량적으로 수치화하여 간경화/섬유화, 종양의 진단과 중증도 단계 분류, 경과 비교를 위해 활용됩니다.
2016년 5월에는 간 섬유화에 대한 신의료기술 인증을 얻으면서 양방에서는 인정비급여 청구가 가능하다고 합니다. 자동측정 기능을 확인하면 평균값, 중간값, 표준편차 등을 한번에 수치로 보여줍니다.
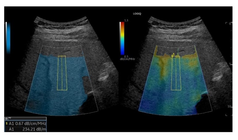
Ultrasound-Guided Attenuation Parameter, UGAP

UGAP(유갭)은 지방간을 분석하는 검사법입니다.
과거에는 비알콜성지방간질환/간염, 알콜성지방간염 환자에 대해 신장과의 에코도 차이, 횡격막 및 혈관벽의 구별정도를 가지고 정성적인 등급을 매겼습니다.
하지만 유갭 기능을 활용한다면 객관적인 숫자로 그 정도를 정량적으로 평가할 수 있습니다.
Hepatic assistant기능을 활용하면 간에 대한 SWE와 UGAP 연달아 시행할 수 있어 편리합니다.
B-Flow

비플로우 옵션은 주로 경동맥이나 심혈관계 등 혈관을 검사하는 기능입니다.
특이하게 도플러 기능을 사용하지 않고 B모드상에서 강하게 돌아오는 조직의 신호는 제거하고 적혈구에서 돌아오는 약한 신호만 증폭시켜 혈류역학적인 영상을 만들어주는 GE의 고유 기술입니다.
도플러를 쓰지 않으니까 구불 구불하게 사행하는 혈관도 끊김없이 번지지 않게 표현해주고요.
혈관 위로 겹치는 아티팩트나 에일리어싱 현상이 없어 혈관벽의 정확한 경계를 보여줍니다.
임상적으로 고지혈증 및 동맥경화에 진단에 유용합니다.
Auto IMT

경동맥 검사시 동맥경화나 심혈관계 평가를 위해 내막-중막 두께(Intima Media Thickness, IMT)를 자동 측정하는 기술입니다.
범위를 선택할 때 수백 곳의 포인트에서 내막-중막의 두께를 측정하여 평균치를 보여줍니다.
넓은 범위에 걸쳐서 자동 측정해주기 때문에 측정자에 관계없이 신뢰도 있는 데이터를 확인할 수 있습니다.
B Steer+

조직검사나 초음파 유도하 시술시 바늘 끝을 눈에 띄도록 빔을 기울여주는 기능입니다.
좀 더 정확하고 안전한 시술과 검사가 가능합니다.
Volume Navigation, Vnav

볼륨 네비게이션 옵션은 의료기관 내 팍스 서버에 있는 CT, MRI 이미지를 초음파 장비로 전송하여 서로 연계해주는 기능입니다.
프루브에 탑재된 센서를 통해 차량의 네비게이션처럼 CT나 MRI에 있는 병변의 위치를 찾아 동일한 단면을 찾아줍니다.
GE LOGIQ Fortis
의료 이원화 체계에서 한의사는 한의학적 이론에 따라서 초음파 진단기기를 보조적으로 활용합니다.
전국 한의과대학 및 한의학전문대학원, 한의약진흥원, 한의학연구원과 연계하여 한의약 발전을 위해서 수많은 연구자들이 노력하고 있습니다. 과학기술의 산물인 초음파 진단기기를 활용하여 좀 더 객관적인 임상연구 데이터를 구축하고 있습니다.
경혈 초음파를 통해 세계 보완대체의학 시장에서 한국 한의학이 입지를 넓혀가기를 기대합니다!