TFCC 증상 수술 치료 보호대 / 삼각섬유연골복합체 손상 한의원 치료 어떻게? <이 것> 감별 먼저!
목차

안녕하세요!
어려운 의학지식을
알기쉬운 건강정보로 안내해드리는
바로한의원 안태석 원장입니다.
오늘은 손목 새끼손가락 쪽이 아파서
고생하시는 분들이라면
한 번쯤 들어보셨을 이름,
TFCC(삼각섬유연골복합체) 손상으로고생하고 계신가요?
새끼손가락 쪽 손목이 시큰거리고,
문고리를 돌리거나 수건을 짤 때
"윽!" 소리가 난다면 주목해 주세요.

오늘은
아주 따끈따끈한 최신 논문들을 바탕으로
여러분의 손목 통증의 원인에 대해
설명해보려고 합니다.
1. TFCC가 도대체 뭔가요?
우리 손목의 척측(새끼손가락 쪽)에는
요골과 척골,
그리고 손목뼈 사이를 이어주는
복잡한 그물망 같은 구조물이 있습니다.
이것들을 합쳐서
Triangular Fibrocartilage Complex
줄여서 TFCC라고 합니다.

doi:10.1136/jisakos-2017-000135.
기능적으로는 손목의 가해지는 충격을
20% 정도 흡수해 주는
쇼크 옵서버(충격 흡수기)역할을 합니다.
잘 낫지 않는 손목 바깥쪽 통증의
30%는 TFCC 손상이 있다고 할 만큼
관절을 안정시키는 핵심 구조물인거죠.
2024년 Schmitt 등의 연구에 따르면,
TFCC는 단순히 연골 하나가 아닙니다.



DOI 10.1055/a-2411-8444
중심부에 관절 디스크 원판과
바깥쪽의 요척인대 2개 관절 캡슐과
캡슐이 두꺼워진 척측 측부인대
반월판 상동체
척측수근신근의 힘줄집 등
여러가지 구조물이 얽혀 있어
진단이 매우 까다롭습니다.
2. 왜 내 손목은 자꾸 덜덜거릴까?(원인과 증상)
손목 통증 환자 3명 중 1명이 겪는
이 질환의 핵심은
'중심와 층(Foveal lamina)'입니다.

doi.org/10.1177/17531934221121931
2024년 최신 논문은
이 부위를 원위 요척관절(DRUJ)의
가장 중요한 안정화 구조물로
지목하기도 했는데요.

DOI 10.1055/a-2411-8444
이 '뿌리'가 손상되면
손목 기초가 흔들리며
덜걱거림과 극심한 통증이
발생하게 됩니다.
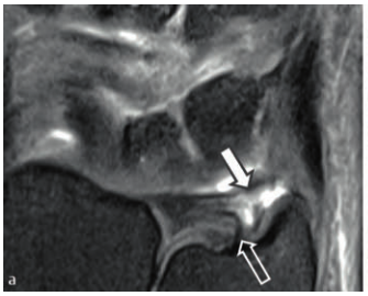
3. 2024년 논문이 밝힌 'CUP'의 마법(진단 분류)
이제 내 손목 상태를
알파벳 세 글자 C.U.P.로 확인하세요!

C (Central - 중앙):
연골판 중앙에 구멍이 난 상태입니다.
타이어 펑크처럼 완충 능력이 떨어지죠.

U (Ulnar - 척측):
가장 중요합니다!
뼈를 잡고 있어야 할
인대 뿌리가(중심와 층) 뽑힌 상태로,
손목이 매우 불안정해집니다.

P (Peripheral - 주변부):
손목 캡슐이나 주변 인대,
힘줄막이 찢어진 경우입니다.
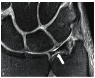
4. 초음파와 MRI,무엇이 더 정확할까?
"원장님,
초음파로 다 보인다고 하던데
왜 굳이 비싼 MRI까지 찍어야 하나요?"
라는 질문을 많이 하시는데요.

DOI: https://doi.org/10.52403/ijrr.20250673
2025년 Febyan 등의 최신 논문을 보면,
초음파**는 손목 겉면에 있는 인대나
힘줄을 살피는 데는 아주 훌륭합니다.
하지만 TFCC(삼각섬유연골복합체)처럼
여러 층으로 겹쳐진 복잡한 구조물을
볼 때는 결정적인 한계가 있습니다.
특히 2024년 Schmitt 등의
연구에서 강조한
'중심와 층(foveal lamina)'을
주목해야 합니다.
이 부위는 TFCC의 뿌리에 해당하고
척골 뼈의 깊숙한 곳(fovea)에
붙어 있다고 말씀드렸죠.
초음파는 뼈 뒤쪽이나
아주 깊은 곳의 유착은
'그림자'에 가려져 명확하게
잡아내지 못할 때가 많습니다.
*관절 깊숙한 곳에 있는 연골의 *심부 병변(Deep lesion)을 파악하는 데는
한계가 있는거죠.
이 깊숙한 곳은 혈관이 없어
손상될 경우 자연 회복되지 않아
수술이 필요한데요.
초음파로 이 부분이 보이지 않으니
0.2mm 단위로 영상을 만들어주는
고해상도 인플레인 3.0T MRI 검사가
필수적인 것이죠.
MRI가 없는 동네 의원에서 초음파는
아주 훌륭한 1차 진단 도구지만
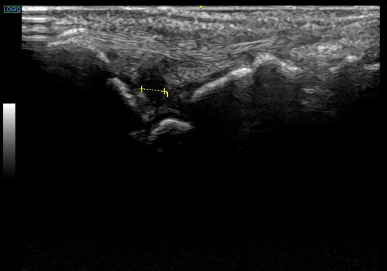
표준 검사법은 관절 조영 MRI 입니다.** * * * ## 5. 한의 진료에서 초음파가왜 중요한가요? 논문에서는 TFCC의 중심와(fovea) 부위 손상을 DRUJ(원위 요척관절) 안정성의 핵심으로 봅니다. 이 부위가 손상되면 손목이 덜렁거리는 불안정성이 생기죠. 한의학에서는 TFCC 주변의 양곡(SI5 陽谷), 양로(SI6 養老) 두 혈자리를 중요하게 보는데요.
척골 경상 돌기 부근으로, 논문에서 강조한 U(척측) 병변이 주로 발생하는 핵심 지점이고요.
척골 머리 부근으로, 손목 회전의 중심축인 DRUJ 안정성과 밀접합니다.
초음파를 통해 위 경혈들 아래의 해부학적 구조를 0.1mm 단위로 확인하고요. 염증이 있는 부위 직접 보며 시술합니다. 단순히 침을 놓는 것이 아니라, 양곡혈 초음파 영상에서 신경과 혈관 등 위험 구조물을 안전하게 피하면서 ## 목표하는 구조물에약침, 도침을 정밀하게 진입하여효과를 극대화하는거죠. 이 때 소염작용이 뛰어난 봉약침, 조직재생 효과가 뛰어난 ## PDRN 연아약침의 DNA 성분,태반약침 (자하거)**를 주로 사용합니다.
6. 예후 및 경과: 수술인가, 보존인가?
2024년 CUP 분류법에 따라
파열이 미미한 경증의 경우에는
정밀한 한의학적 보존 치료로
충분히 회복될 수 있고요.
인대가 완전히 파열되어
뼈와 분리된 경우(U2, U3 등)에는
수술이 필요할 수 있습니다.
정밀한 영상 진단이
불필요한 수술을 막고,
꼭 필요한 치료를 결정합니다.
"내 손목 통증, 그냥 쓰다 보면 낫겠지"
라고 생각하셨나요?
최신 의학은 실시간 진단과
정밀 시술의 시대로 가고 있습니다.
손목 안쪽의 복잡한 지도,
초음파로 확인하고
정교하게 치료받는다면
여러분의 소중한 손목 건강을
더 빨리 되찾을 수 있을 겁니다.
거리역 양천구청역 신도림역 개봉역 강서구 화곡동 화곡본동 우장산동 내발산동 외발산동 등촌동 가양동 염창동 마곡동 공항동 방화동 마곡 발산 이대서울 강서힐스테이트 우장산아이파크
오늘 포스팅이 도움이 되셨길 바라며,
다음에 또 다른 알찬내용으로
찾아뵐게요!
TFCC 손목 보호대 삼각섬유연골복합체 증상 수술 치료 보호대 의학용어 손상 injury anatomy tear MRI 한의원 테이핑 손목 바깥쪽 통증 병원 부위 뼈 왼쪽 오른쪽 손목 통증 파스장산숲아이파크 양천구 신월동 목동 신정동 영등포구 여의도

바로한의원
서울특별시 강서구 화곡로 143 충효빌딩 3층