TFCC 통증? 손목 척측수근신근 건초염을 함께 치료해야 합니다 <초음파 약침>
안녕하세요.
올바른 건강 정보를 전달하는
바로한의원 안태석 원장입니다.
요새 요가나 필라테스 하시면서
TFCC 손상으로 고생하시는 분들,
참 많으시죠.

@ https://doi.org/10.1016/j.jhsa.2021.02.008
삼각섬유연골(TFC) 손상 시
손목이 불안정해지기 때문에
TFC라는 관절 디스크와 연결된
척측수근신근 힘줄집에 염증이 생깁니다.
힘줄집(=건초)에 염증이 생긴
'건초염'은 통증이 아주 심하기 때문에
TFCC 치료할 때
가장 먼저 치료해줘야 하는데요.
오늘은 최신 연구논문을 기반으로
한의학적 치료법을 소개해드릴테니
끝까지 읽어보시길 바랍니다.
척측수근신근 건초염?
우선 척측수근신근 건초염이 잘 생기는
3군데를 알아야합니다.
순서대로 살펴보겠습니다.

@ https://doi.org/10.1016/j.jhsa.2021.02.008
첫번째 구역은
척골 구, ulna groove입니다.**
척골 구, Ulna groove 위로
척측수근신근의 힘줄이 올라타서
지나가는데요.
건초(ECU-SS)에 둘러쌓인 곳을
신전근 지대(Extensor Retinaculum)가
지붕처럼 감싸고 있습니다.
반복적인 전완 회외-회내,
손목 굴신으로 마찰이 많아지면
염증이 잘 생기죠.
생겨먹은 구조 자체가 그렇습니다.


@ doi:10.1136/bjsports-2013-092835
이 힘줄의 건초(subsheath)는
척골에 딱 붙어서
안정적으로 힘줄을 잡아주는데요.
위 오른쪽 그림처럼
건초가 끊어지면
힘줄이 빠져나가는 탈구가 생길 수 있어서
초음파로 확인해봐야 합니다.

@ https://doi.org/10.1016/j.jhsa.2021.02.008
다음 두번째 구역은
척골 경상돌기 레벨입니다.**
힘줄이 척골 구를 빠져나와서
더 아래쪽 원위부로 내려온 부위입니다.
위 조직 사진을 보시면
좌측 아래에
척골 경상돌기, ulnar styloid process(US)가 보이고요.
그 위를 건초(ECU-SS)에 둘러쌓인
힘줄(ECU)이 지나갑니다.
경상돌기 레벨에서
ECU 건초는 주변 인대들과 합쳐지면서
많이 두꺼워지거든요.
그만큼 신전근 지대(ER)와마찰될 가능성이 높아집니다.
@ https://doi.org/10.1016/j.jhsa.2021.02.008
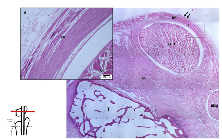
3번째 구역은
삼각골, triquetrum 레벨입니다.**

여기에서 신전근 지대(ER)는
삼각골 triquetrum(T)과
두상골 pisiform(P)에 붙어서
힘줄(*로 표시한 ECU)을 감싸고 있는데요

84% 사람에서는노란색으로 표시한중간 벽이 있습니다.
신전근 지대와 마찰되면서
여기서도 협착성 건초염이 생길 수 있습니다.

3가지 구역 모두
다 손목 건초염이라고 부르지만
실제로는 문제가 있는 부위가 다른거죠.
초음파 도침, 수태양경근
현대 한의학에서는
초음파로 이용해
문제가 있는 혈자리를
눈으로 보면서 치료합니다.
염증이 오래 되면
조직들끼리 들러붙는
'유착'현상이 생기므로
'초음파 도침'으로
들러 붙은 곳을 떼어냅니다.
아까 3군데 중에서
2번째 구역인 척골 경상돌기 레벨에서
유착을 떼어냅니다.
한번 유착된 곳은
금방 다시 들러붙는 특성이 있죠.
이러한 '재유착'을 방지하기 위해
유착 방지용으로 약침을 시술해야 합니다.
일반적으로 염증을 줄여주고
힘줄 재생에 효과적인 DNA 주사를
주로 사용합니다.
연어의 정소에서 추출한 DNA조각인
PDRN 연아약침을
눈으로 보면서 시술합니다.
우선 힘줄 깊숙한 곳부터 치료하고요.
이어서 힘줄 표면에도
시술합니다.
이렇게 문제가 있는 혈자리를
초음파로 보면서 치료하면
시술 효과를 높일 수 있고요.
정상 조직에 불필요한 자극을 하지 않으므로
더욱 안전하게 시술할 수 있습니다.
더이상 방치하지 마세요
TFC 손상으로 인한
손목 척측수근신근 건초염 증상은
방치하시면 안 됩니다.
염증이 오래되면
힘줄이 닳고 변성되어
퉁퉁 붓기 때문에 잘 치료되지 않습니다.
가까운 의료기관에서 꼭 검사해보시고
제대로 치료 받으시길 추천 드립니다.
1년 오래된 만성 통증이라면
서울 강서구 화곡동 우장산동
양천구 목동 신정동 신월동
부천 인천 김포 지역은
발산역 마곡 서울이대병원을 추천드리고
상암 마포 지역이라면
신촌 세브란스 병원을
구로 고척 쪽은
고대 구로 병원을 추천드립니다.
오늘 정보가 유익하셨다면
이웃추가 해주시고요.
지금까지 바로한의원 안태석 원장이였습니다.
감사합니다.
의료심의면제조건으로만 작성한 공익적인 정보성 게시글입니다.
특정 의료기관이나 시술을 추천하지 않으며, 초음파 가능한 가까운 의료기관에서 진료보시길 바랍니다.