교통사고 발등 부음 혹 통증? 중족골 타박상에 <이 글>부터 읽어보세요
자동차사고 첫 날
정형외과에서
뼈는 괜찮다고 했는데..
정밀검사 받아보길
잘했네요

안녕하세요
한의영상학회 교육이사안태석 원장입니다.
정형외과에서
별 이상 없다는데
발등 붓고 아픈게
안 낫는 경우가
참 많은데요.
3주가 지났는데도계속 발등 붓기가 안 빠진다면?
혈관, 힘줄, 인대, 뼈 중에
문제가 있는 것이니
** 가능한 곳에서진료 보셔야 합니다.**
오늘은
자동차 사고 타박상 초기에를
설명해드릴테니
끝까지 읽어보시고
도움되셨으면 좋겠습니다.
6주 전 발등 중족골 타박상
오늘 소개해드릴 케이스는
강서구 화곡동에서
으로 오셨습니다.
6주 전에 발등을 부딪힌 이후로
발등 붓기가 빠지질 않고요.
빨간 화살표쪽을 누르면많이 아파하셨습니다.
다쳤던 첫째 주에까치산역 정형외과에서엑스레이 2번을 찍으셨는데요.
뼈에는 이상이 없고
힘줄이 늘어났다고 들었답니다.
그런데 6주가 지나도발등 부음과 통증이 계속되어바로한의원으로 오셨습니다.
경혈초음파
족양명경근
다치신 발등 부위는
한의학에서
이라고 합니다.
먼저 다치지 않은 정상쪽,좌측 동일 부위의 영상입니다.
발등 중족골이
하얀 선으로
쭉 연결되어 있습니다.
이제 다친 쪽,오른쪽 2번째 중족골을초음파로 검사해봤습니다.
반대쪽처럼
뼈가 직선이 아니죠?
중족골이울퉁불퉁 지저분하게 보입니다.
최근 발등 골절로 생긴가골(callus) 입니다.
프로브를 돌려
엄지발가락과 비교해봅니다.

엄지 발가락은
곡선으로 깨끗한데,
두번째 발가락은
울퉁불퉁한 가골이 의심됩니다.
여기서 끝이 아닙니다
뼈가 어긋나는
이거나
어긋나지 않더라도
근위 발가락(Proximal phalanx) 관절선을
침범하는 경우
수술이 필요할 수 있거든요.
협력병원에
CT 정밀검사를 의뢰했습니다.
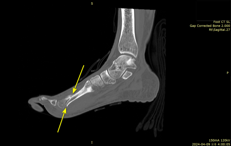
640 CT 정밀검사 시행
급성 골절(骨折)을 확진하려면CT 같은 방사선 검사가 필요합니다.
특히 640 CT로
촘촘하게 슬라이스해보면
미세골절도 찾을 수 있거든요.
해당 환자분은
CT 정밀검사상두번째 중족골 골절로최종 진단되었습니다.
골절된지도 모르고
많이 걸으셔서
뼈가 살짝 어긋난 부분도 있었는데요.
영상으로 보시면
발등면부터 발바닥까지
쭉 골절되셨셨고요.
뼈가 부러지면
엄청 아픈거 아닌가요?ㅠㅠ
부위마다 다릅니다!
중족골은
체중이 많이 실리는 곳이 아니라서
골절되어도
크게 아프지 않고
잘 걸어다닐 수 있습니다.
엑스레이에서는
뼈는 괜찮다고 했는데요??
사고 초기 1-2주차에는골절 부위가 엑스레이에서안 보이는 경우도 많습니다.
그래서 교통사고 타박상으로
골절된 줄도 모르는 분들이 많습니다.
심지어 대인사고 합의 후에
뒤늦게 골절을 발견하는 경우도 있죠.
3주 넘게발등 붓기와 불편함이계속 있다면?
미세골절 가능성이 있으므로
** 가능한 한의원에서꼭 확인해보셔야 합니다.**
VARO 초음파
침 놓는 혈 자리를초음파로 진단하고 시술하는 것을라고 합니다.**

바로한의원 의료진은
한의사협회 보수교육 강사로 활동하며
최신지견을
학계에 공유하고 있습니다.
세밀한 진단과 정확한 시술로
올림픽 메달리스트, 국가대표 선수들이
치료받는 한의원입니다.
발등 부음, 통증
엑스레이에서 놓친 골절일 수 있습니다.
꼭 로
확실하게 체크해보시길 추천드립니다!
발등 멍 혹 어혈
발등에 멍든 것은
혈관 손상,
즉 어혈일 수 있습니다
자세한 내용은
아래 글에서 정리했습니다.
https://blog.naver.com/varo_clinic/223332254188?trackingCode=blog_bloghome_searchlist