만성 손목 통증, 건초염 증상 치료 주사 <이것>이 원인?
안녕하세요!
여러분의 바른 건강 지식을 책임지는 한의사,
강서구 화곡동 바로한의원 문지현 원장입니다.
오늘은 최신 논문들을 바탕으로
여러분이 꼭 아셔야 할
중요한 건강 정보를 알려드리겠습니다.
손목 통증 손목 건초염
드퀘르벵? 손목 교차 증후군?

혹시 잘 낫지 않는 손목 통증 때문에
고생하고 계신가요?
컴퓨터 마우스를 잡을 때,스마트폰을 오래 볼 때,혹은 아이를 돌보거나 집안일을 할 때마다찌릿하고 시큰거리는 통증.
병원에서 치료를 받아도 그때뿐이고
자꾸 재발해서 답답하셨죠?
많은 분들이 이런 손목 통증이 있으면
'손목 건초염'이려니 생각하십니다.
특히 엄지손가락 쪽 손목이 아픈
'드퀘르벵 병(De Quervain's tenosynovitis)'은
아주 잘 알려져 있죠.
드퀘르벵 손목 건초염

@doi: 10.3122/jabfm.2017.04.170053
드퀘르벵 병은 바로 이 부분,
손목의 첫 번째 신전 구획을 지나는 두 개의 힘줄,**
장무지외전근(APL)과 단무지신근(EPB)에
염증이 생기는 질환입니다.
이곳을 No.1이라고 지칭하겠습니다.
주먹을 쥐고 손목을 아래로 꺾을 때
통증이 심해지는 특징이 있죠. (핀켈슈타인 검사)
그런데 만약,
여러분의 손목 통증이
드퀘르벵 병 치료만으로는 잘 낫지 않았다면,
우리는 그 '숨은 공범'을 찾아내야 합니다.
잘 낫지 않는 손목 통증
공범은 바로 '이곳'에
드퀘르벵 병이 생기는 곳에서
손목 쪽으로 약 4cm 위,
바로 이 지점에 주목해야 합니다.

@doi: 10.3122/jabfm.2017.04.170053
우측 사진은 손목의 두번째 신전 구획으로,**
손목을 위로 들어 올리는 힘줄들,
장요측수근신근(ECRL)과
단요측수근신근(ECRB)이 지나갑니다.
이곳을 No.2라고 지칭하겠습니다.
흥미롭게도
1번째 구획의 힘줄들이
*이 2번째 구획의 위를
*대각선으로 '교차'하며 지나가죠.
이 교차 지점에서
마찰로 인해 염증이 생기는 것을 바로'교차 증후군(Intersection Syndrome)'이라고
부릅니다.
2017년에 발표된 한 논문에서는
이 교차 증후군의 특징적인 증상을
아주 재미있게 표현했는데요.
바로 손목을 움직일 때
'삐걱이는(squeaking)' 소리나마찰감이 느껴진다는 겁니다.**
*드퀘르벵 병과는 통증 위치도,
양상도 미묘하게 다른 것이죠.
최근 연구들을 종합해 보면,
이 두 질환은 마치 동전의 양면과 같습니다.
노를 젓거나, 라켓 스포츠를 하거나,무거운 물건을 반복적으로 드는 등손목을 펴는 동작을 반복할 때
함께 발생하는 경우가 많습니다.
이것이 바로 여러분의 손목 통증이 잘 낫지 않았던
핵심적인 이유일 수 있습니다.
드퀘르벵 병만 치료하고,
바로 위에서 계속 마찰을 일으키는
교차 증후군을 놓쳤기 때문이죠.
드퀘르벵과 교차증후군
초음파 영상

그렇다면 이 두 가지 문제를 어떻게
정확하게 진단하고 함께 치료할 수 있을까요?
바로 여기에 '초음파 영상'이
핵심적인 역할을 합니다.
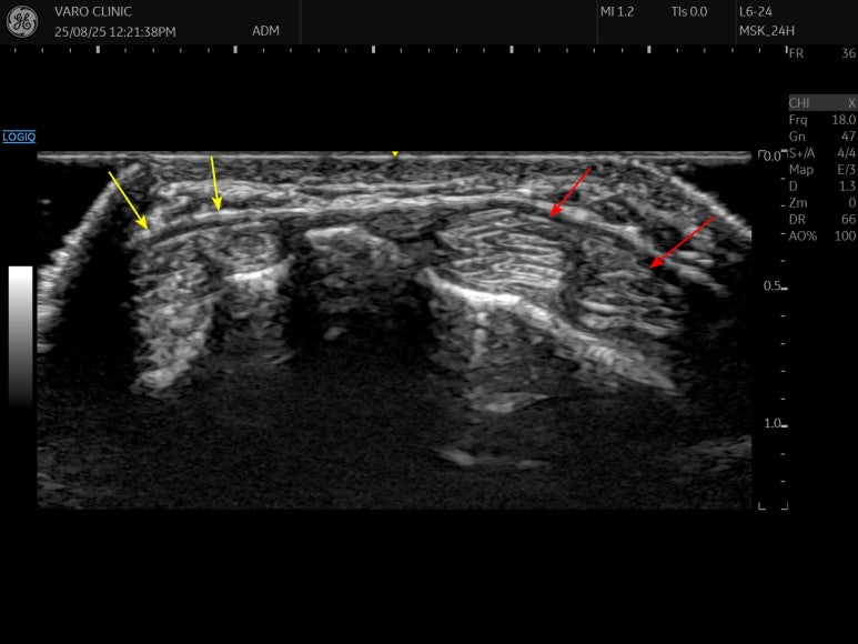
좌측의 노란색 화살표는 No.1 첫번째 구획우측의 붉은색 화살표는 No.2 두번째 구획입니다.**
바로 근접해 위치해있죠?
실제 주행하는 모습을 보겠습니다.
첫번째 구획이
두번째 구획 위를
훅 미끄러지듯 지나가는 것이 보이시나요?

노란색의 첫번째 구획이
파란색의 두번째 구획 위에 겹쳐있는 모습을
실시간으로 관찰할 수 있습니다.
*바로 이 부위에서
마찰로 인해 염증이 생기는 것입니다.
초음파 약침
진단이 정확해지면 치료 또한 정밀해집니다.
은
말그대로, 초음파 영상을 실시간으로 보면서
'약침(Pharmacopuncture)'치료를 하는데요.
약침은 순수하게 정제한 한약 추출물을
통증 부위에 직접 주입하는 한의학적 치료법입니다.
초음파 유도 하에 시술하면,
염증이 가장 심한 드퀘르벵 부위와교차 증후군 부위의 힘줄 주변 공간에
약침액을 정확하게 주입할 수 있습니다.
드퀘르벵 질환 환자에게서
손목 통증이 잘 호전되지 않을때,
교차증후군 위치에서
1구획에 먼저, 1차 시술을 하고요.
조금 더 안쪽으로 진입해서,
2구획의 힘줄집에이어서 2차 시술을 진행합니다.
시술 후에,
1구획, 2구획 모두
적절하게 시술이 잘 되었음을 확인할 수 있는데요.
이러한 방법은1번의 진입으로 2군데에 접근해1타2피의 치료효과를 내는 것이죠.
마치 GPS를 보고
목표 지점에 정확히 찾아가는 것과 같습니다.
특히, PDRN 연아약침은염증을 효과적으로 줄여주고,손상된 힘줄 조직의 회복을 돕는데 탁월합니다.
통증의 원인을 찾아서
정리해 보겠습니다.
만약 당신의 손목 통증이
엄지손가락 쪽에서 시작해손등 위쪽까지 이어진다면,
그리고 치료를 받아도 잘 낫지 않는다면,
드퀘르벵 병과 함께 '교차 증후군'이
동반되었을 가능성이 매우 높습니다.
특히 손목을 움직일 때 삐걱이는 느낌이나
마찰음이 들린다면 더욱 그렇습니다.
2023년 세계적인 의학 저널인
'JAMA Network Open'에 발표된
최신 연구에서도 드퀘르벵 병의 치료에 있어
국소 주사 치료와 함께 고정 치료를 병행하는 등,
다각적이고 정확한 접근이
중요하다고 강조하고 있습니다.
이는 통증의 원인이 되는 부위를
정확히 찾아 함께 치료하는 것이 얼마나
중요한지를 시사하는 것이죠.
이제는 아픈 곳만 볼 것이 아니라,
*통증을 일으키는 전체적인 구조와
움직임의 연관성을 함께 봐야 합니다.
만성적인 손목 통증으로 고생하고 계신다면,
주저하지 마시고 정밀한 진단을 통해
통증의 원인을 찾아보시길 바랍니다.
만약 한번도 진료본 적이 없으시다면,
부천, 마곡, 발산, 강서에는 이대서울병원이
양천구 이대목동병원 구로구 고대구로병원 등의
대학병원이 위치하니
참고하여 내원하시길 바랍니다.
오늘 내용이 여러분의 건강한 손목을 되찾는 데도움이 되었기를 바랍니다.
지금까지 올바른 건강 정보를 전하는
한의사 문지현이었습니다.
감사합니다.
본 게시물은 의료심의면제항목으로만 작성한 공익적이고 중립적인 정보성 포스팅입니다.