무릎 바깥쪽이 아파요. 장경인대 증후군 외측 통증 [화곡역 한의원]
무릎 바깥쪽 통증의
원인은
다양합니다.
1) 장경인대 증후군2) 외측 측부인대 파열3) 외측 반월판 손상4) 관절낭염5) 근육 긴장, 힘줄 염좌
(대퇴이두근, 비골근 등)
많은 질환이 있는데요.

오늘
무릎 바깥쪽 통증으로
40대 환자분이
오셨습니다.
빨간색 화살표로
가리킨 부위쪽이
아프다고 하셨는데요.
평소에도 무릎에서
뚝뚝 하고
부딪히는 소리가
많이 났고
어제 10km 러닝 후에
통증이 심하셨다고 합니다.
해당 부위를 만져보니
장경인대가 부어서
두꺼워져 있는 상태였습니다.

이를
"장경인대 증후군"
Iliotibioband syndrome
이라고 하는데요.
장경인대란?
장골과 경골을 연결하는 인대로
줄여서
장(골) - 경(골) 인대, 장경대라고
부릅니다.
이 장경인대는
대퇴골 뼈 위로
딱 붙어서 지나가기 때문에
오래 뛰거나
등산을 하거나
무리해서 걷게 되면
염증이 생기기
쉽습니다.

장경인대 증후군은
엑스레이에서는
명확하게 보이지 않고
초음파와 MRI 검사에서
진단 되는데요.

출처: Carlos Frederico Arend,Sonography of the iliotibial band: spectrum of findings 위 초음파 이미지에서
빨간 화살표가
장경인대인데요.
딱 붙어있다던
노란색 화살표
대퇴골 외상과와
부딪히면서
염증이 생기게 됩니다.
염증이 생기면
열이 나고
붓게 됩니다.
초기에는
인대 염증으로
녹색 화살표로 표시한
주변 점액낭에
진물이 고입니다.

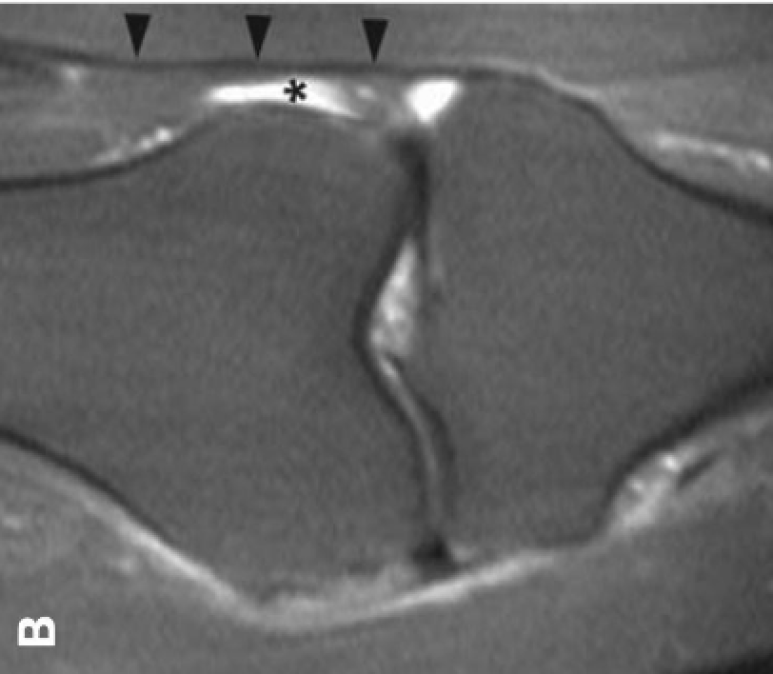
MRI에서는
검정 화살촉으로
표시한 부위가
장경인대구요.
마찬가지로
인대에 염증이 생기면
- 표시한 부위에
삼출액이 고이게 됩니다.
여기서
더 만성화되면
인대가 퉁퉁 부어
두꺼워지고
뼈도 울퉁불퉁
변형이 오게 됩니다.

통증의 원인을
감별하려면
영상의학적 진단과
임상증상을 종합해서
봐야하는데요.
장경인대는
대퇴근막장근에서
이어지기 때문에
본래 작용인
고관절의 외전, 내회전
무릎의 신전, 외회전을 하거나
반대로 늘리는 힘을 줬을 때
통증이 나타납니다.
임상 증상과
이학적 검사,
그리고
영상의학적 소견을
종합적으로
해석하는 것이
중요하지요.
.jpg)
장경인대 증후군의
치료는
어떻게 할까요?
일단 초기 2-3주간
운동을 쉬면서
안정이 필요하구요.
습관적으로
다리를 꼰다거나
짝다리를 한다거나
옆으로 누워 자면

측면의 플랭크 라인
요방형근 - 중둔근 - 대퇴근막장근 - 장경대
의 틀어짐이 발생하기 때문에
이런 행동들을
반드시 피해야 합니다.
환자 개개인의 상태를 분석하여
추나요법으로
바로 잡아주게되는데
장경인대는
주로 근 에너지 기법(MET)으로
잘 교정되는 편입니다.
추나요법과 더불어
다양한 침치료를
함께 하게 되는데요.
염증을 줄여주는
약침 치료,
유착을 박리하는
도침 치료,
인대 재생을 유도하는
화침 치료까지,
이러한 특수침 치료를
병행한다면
치료기간을
단축시킬 수 있습니다.

장경인대는
단위면적당 강도가 높아
강철 케이블(steel cable)이라고
부를 정도로
질긴 조직이다보니
다양한 관점에서
치료적 자극을 주는것이
통증재활에 필요합니다.
만약
장경인대 증후군으로
진단받았는데
잘 낫지 않는다면?
대체로
반월판의 손상과
관절낭염이
동반된 경우가 많습니다.

위 초음파 소견처럼
관절 안에 염증으로
물이 차서
부어있는 환자들이
있는데요.
아프신지 오래되고
통증이 상당히 심한
중증의 관절염인 경우
치료에 앞서
가까운 협력 영상의학과에서
초음파와 MRI 검사를 진행하고
환자분 상태에 맞는 치료를
시행하고 있습니다.
안타깝지만
관절 내부의
연골, 반월판, 십자인대 손상이
심각한 경우
먼저 수술을 하고
재활을 하는게
치료가 더 빠른 경우도
있습니다.
환자분 입장에 서서
최적의 치료방법을
알려드리는 것이
저희들 일이니깐요.

무릎 관절 치료를
꼼꼼하게 하는
바로 한의원은
평일 8시까지
야간진료 하고 있습니다.
잘 낫지 않는
무릎 통증으로
고생중이시라면
과학적인 한의치료를
추천드립니다.

바로한의원
서울특별시 강서구 화곡로 143 충효빌딩