발가락 피멍, 염좌, 실금, 미세골절, 견열골절, 피로골절? 3주가 넘어도 낫지 않으면 <이 글> 먼저 확인

안녕하세요!
올바른 건강정보를 알려드리는
바로한의원 문지현 원장입니다.
오늘은 우리가 일상에서
정말 놓치기 쉬운,
하지만 방치하면
평생 후유증이 남을 수 있는 질환이죠.
'발가락 실금, 미세골절'을 알려드릴게요.

@ gemini
아픈데 다 이유가 있다
손가락 발가락을 툭 부딪혔는데,
생각보다 오래 아팠던 적 있으시죠?
붓고 멍들어서 엑스레이를 찍었는데
"뼈에는 이상 없네요"라는 말을 들었는데
4주가 지나도 계속 붓고 아프다면?
오늘 내용을 확인해 보셔야 합니다.

발가락 뼈 실금, 미세골절, 견열골절은
초기 엑스레이(X-ray) 검사에서
발견되지 않을 확률이
무려 40-50%에 달합니다.
특히 다친지 며칠 지나지 않아
엑스레이 검사를 했다면
안 나올 확률이 더 높죠.
뼈가 어긋나지 않고
실금만 똑 간 경우
2차원적인 엑스레이 평면 영상에서는
안 보일 수 있어요.
금 간 부위에서
피가 나고 부으면서
1-2주 지나 골절된 틈이 벌어져야
엑스레이에서 잘 보이거든요.
이런 골절을
잠재 골절, occult fracture
이라고도 합니다.
인대가 늘어나면서
인대가 붙어있는 뼈를 물고 떨어져 나가는
견열골절 Avulsion fracture도
뼈 조각이 매우 작기 때문에
더더욱 잘 안 보이죠.
뼈 조각이 2mm가 안 되는 경우
CT 에서도 안 보일 수 있습니다.
그래서 엑스레이 정상이어도
2주 이상 통증과 부종이 지속되면
미세골절을 의심해야 하고요.
반드시 640 CT, 초음파 같은
정밀검사를 해야 합니다.
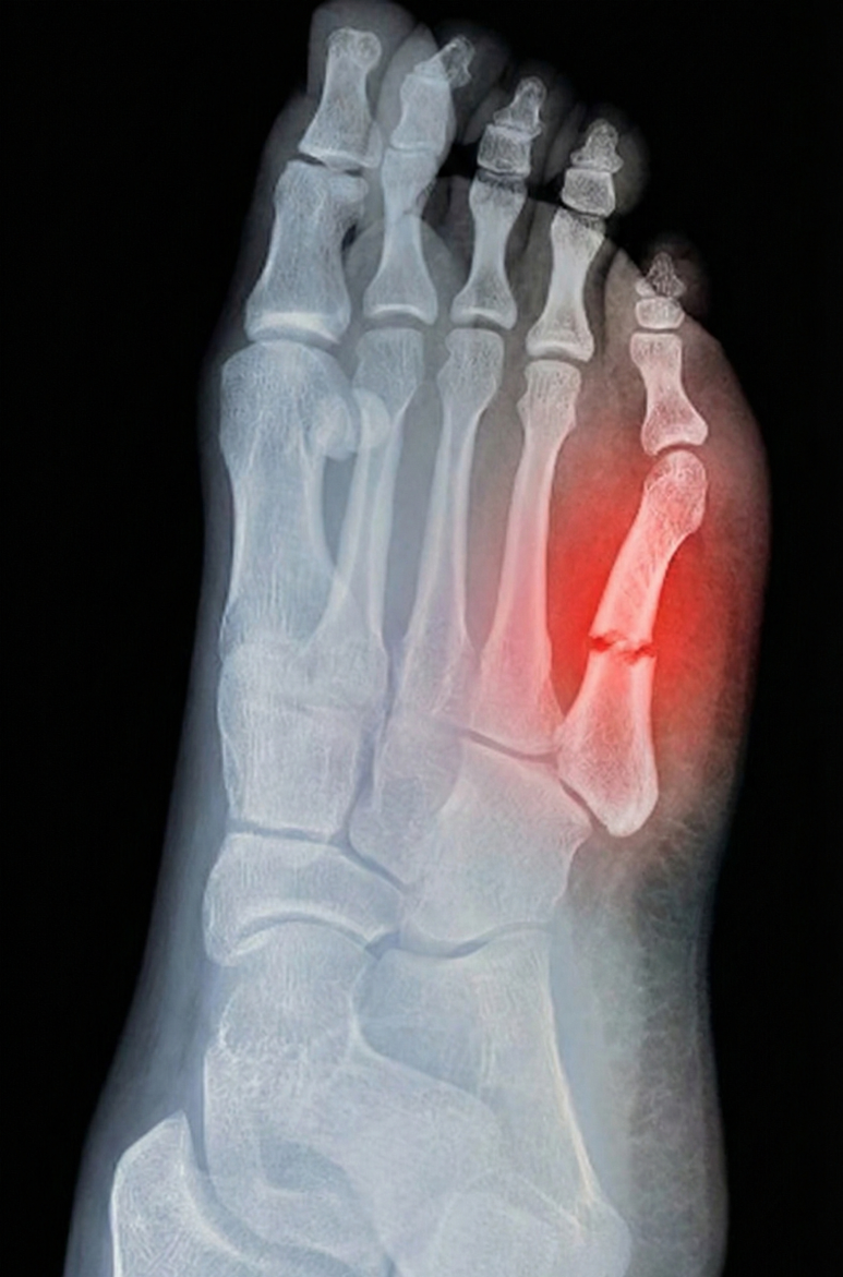
네번째 발가락 통증, 실금, 미세골절?
엄지발가락, 새끼발가락 미세골절은
걸을 때 힘이 실리고
모서리에 잘 부딪히니까
통증을 쉽게 느끼는데요.
하지만 네 번째 발가락 실금은
걸어도 거의 안 아프기 때문에
사각지대에 놓이기 쉽습니다.
많이 걸으면 좀 불편하고
활동 후 저녁에는 더 부어오르죠.
경혈 초음파 한의원
이러한 발가락 염좌, 미세골절은
한의학에서 어떻게 치료할까요?
현대 한의학에서는
침 놓는 혈자리,
즉, 경혈을
눈으로만 보는 게 아니고요.
경혈 정밀 초음파를 함께 봅니다.

한달이 지나도 통증이 없어지지 않는
네 번째 발가락
협계(俠溪)혈자리를
손으로 눌러보니
딱 아픈 곳이 있습니다.

원래 표준 경혈 초음파상
뼈 표면(골 피질, Cortex)이
연결되어 보여야 하는데요.

Step-off sign
네번째 발가락 골피질이 어긋나서 fracture of 4th middle phalanx
솟아오른 모습입니다.


다친 지 4주가 넘었는데
뼈 주변 골막 아래
피가 고여 있고(Hematoma)
주변 조직이 염증으로 부어있습니다.
위쪽 표준 경혈 초음파와 비교해보면
확연히 다른게 보이시죠?
환자분들이 먼저
'어, 저 뼈가 부러졌네요?' 하고
알아보십니다.

프로브를 90도 돌려서
단축 스캔했을 때에도
골절(骨折)이 의심됩니다.
골절 진단의 골든 스탠다드는
방사선 검사이기 때문에
원래 검사하셨던 정형외과에서
재검사하여 '골절 진단'을 받으셨습니다.
발가락 통증, 초음파 약침 치료
골절로 염증이 생기면
염증 매개 물질로
주변 신경이 압박되고 포착되면서
감각신경이 민감해집니다.
이 상태가 계속되면
나중에 뼈는 다 붙더라도
신경 오작동으로 통증은 계속 있는
'신경 감작'현상이 생기게 되죠.
한의학의 '초음파 PDRN 연아약침'은
연어 생식세포의 DNA 조각인
PDRN 성분이 염증을 완화하고
조직을 재생하는 효과를 가집니다.
족소양담경(足少陽膽經) 아시혈에서
염증이 가장 심한 유착 부위에
약침을 놓습니다.
이렇게 유착을 떼어내줘야
주변 조직이 떡처럼 달라붙으면서
아프고 저리고 시린 통증이 사라지는 것이죠.
발가락 통증, 미세골절
초기에 스트레칭 운동하지 마세요
안타깝게도 많은 환자분들이
미세골절인지도 모르고
"운동으로 풀어야지!" 하며
스트레칭을 하거나 억지로 걷습니다.
이건 불에 기름을 붓는 격입니다.
실금이 갔던 뼈가
완전히 어긋나 버리는 경우
전위, Displacement가 발생할 수 있습니다.
이때는 수술로
핀을 박아야 할 수도 있습니다.
그리고 앞서 말씀드린 것처럼
골절 부위가 아물면서 새로 붙는 뼈
즉 '가골'이 과하게 형성되거나
염증이 방치되면 주변의 신경을 눌러
'만성 신경통'으로 번질 수 있습니다.
뼈는 다 붙었고 괜찮다는데
발가락은 계속 저리고 아픈
답답한 상황이 오는 거죠.
그렇기 때문에
통증 초기에 무리한 스트레칭은 금물이고요!
초기에 잘 정밀 진단받고
잘 쉬어주는게
수술을 막는 지름길입니다.
시간 지나면 낫겠지
발가락 뭐 괜찮겠지..하고
넘기지 마세요.
지금 발가락이 붓고 아픈게
4주 넘게 지속된다면
초음파 정밀 진단이 가능한
가까운 의료기관에서 상담 받으세요.
부딪히거나 넘어지거나 다치지 않았더라도
많이 걷거나 러닝하면서
피로골절. 실금 가는 경우도
굉장히 많습니다.
무엇보다 중요한 것은
엑스레이에서 뼈는 괜찮다고 하더라도
골절일 수 있다는 점,
꼭 기억하세요.
여러분의 소중한 발걸음,
정확한 조기 진단이 중요합니다!
오늘 내용이 도움되셨다면,
주변에 발가락 통증으로 고생하시는 분들께
공유해주세요.
발등 골절은 아래 글에서
자세하게 정리했습니다.
위 게시글은 공익적인 건강정보를 전달하는 게시글로 의료광고 심의면제조건으로만 작성했습니다.
.