발목 뒤쪽 통증, 12년간 1천명 치료했던 노하우 공개합니다.
4개월간 왜 아플까
걱정이 많았는데
정확하게 침치료 받고나니
한결 가벼워졌어요
안녕하세요
미국진단초음파협회 자격자 모임한의초음파연구회 부회장안태석 원장**입니다.
위 멘트는
지난 주에
발목 뒷쪽 통증으로
치료 받은 분께서 한 말입니다.
은침 치료가 참 효과적인데요.
제가 12년간
발목 염좌환자 1천명을
치료해왔던 노하우인
를
소개하고자 합니다.
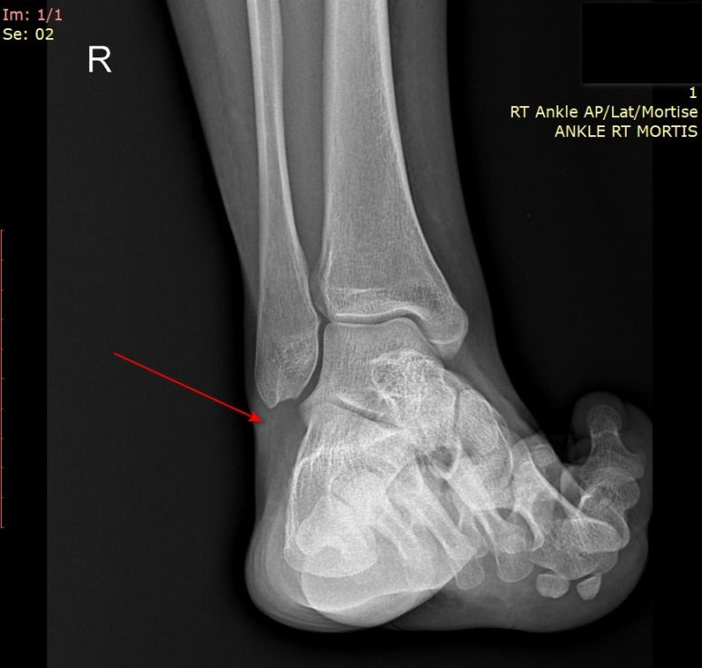
발목 바깥 뒤쪽 통증으로
치료받은 곳을 검색하고 계셨다면
이 글을 꼭 읽어보시고
제대로 치료받으시면 좋겠습니다.
발목 바깥 뒤쪽이 아프다는
30대 환자분
해당 환자분은
작년 10월
강서구 마곡에서
오토바이 교통사고로
오른쪽 발목이 꺾이셨어요.
여러 정형외과에서
물리치료와 도수치료를 받다가
지인 소개로 오셨는데요.

빨간 화살표친
발목 바깥쪽 뒤쪽이
불편하시다고요.
늘상 아픈건 아니지만
4개월 넘게
불편감이 계속 있었답니다.
엑스레이로 인대가 보일까?
엑스레이상
인대가 늘어났다고 들으셨다며
영상 CD를 복사해오셨는데요.

어떤가요?
지금 여러분들 눈에는
인대의 정확한 경계가 보이시나요?
엑스레이에서는
인대 경계가 정확하게 보이지 않아요
X-ray에서는
인대손상을 정확하게 진단할 수는 없고
추정진단만 할 수 있는데요.
인대가 늘어나는 방향으로
발목을 밀어
두 뼈 사이 간격을 측정하면
인대가 완전히 찢어졌는지
의심할 수 있죠.
인대 상태를
정확하게 체크하려면
, 같은
정밀 검사가 필요합니다.
인대 염좌를 치료하는 핵심 혈자리,
곤륜혈 [BL60]
현대 한의학에서
발목 뒤쪽 인대를
치료하는 핵심 혈자리는
입니다.

위 영상은
의
표준 초음파 영상인데요.
깊이에 따라
장단비골근건, 종비인대,
비골, 거골, 종골 등이 보입니다.
가장 깊숙하게 있는
는
과 을 연결해줘서
앞 글자를 따
종! 비! 인대라고 부릅니다.
발목을 단단하게 고정해주는
아주 중요한 역할을 하죠.
양한방 통합의학인
현대 한의학에서는
문제가 있는 혈자리를
손 끝 감각으로 먼저 찾아내고요.
그 자리를
초음파 영상으로
다시 한번 체크합니다.
곤륜혈의
와 달리
깊은 곳에서
어둡게 변한 곳이 보이시나요?


곤륜혈 가장 깊이
에
해당하는 부분이죠.
정상쪽 혈자리와 달리
손상된 인대가
부어있어서
발목을 움직이며
다시 검사해봅니다.
위 검사법은
부산대 한의학전문대학원
오명진 교수님께서 고안해낸
다이나믹 스캔법인데요.
한의학적으로
인대손상에 해당하는 병명인
상근(傷筋)을 진단할 수 있습니다.
이렇게 초음파를 활용한다면
한의학적 진단의 정확성을
대폭 높일 수 있고요.
진단이 정확하면
치료도 효과적인건
두말 하면 입 아프죠!
어디가 문제인지 알아야
제대로 치료할 수 있습니다

@ 한의영상학회 강좌자료
침 시술 깊이가 따라
자극 부위가 달라집니다.
얕게는
피부, 결합조직부터
깊게는
골격근이나 골막까지
컨트롤할 수 있는데요.
어디에 침을 놓는지에 따라서
치료 자극을 전달하는
신경들도 달라지게 됩니다.
이러한
발목 인대 손상(傷筋)은
초음파 도침으로
골막까지 자극한 다음
침을 돌리는
을 이용해
인대 재생을 유도합니다.
몇번이나 치료해야 할까요?
위 케이스처럼
4개월된 인대 손상은
주 3회씩 20회 정도 치료하면
통증이 많이 완화됩니다.
발목은 손목과 달리
매일 체중을 싣고 움직이는 관절이라서요.
초기에 정확한 진단을 받고
골든타임을 놓치지 않는 것이
가장 중요합니다.
VARO 비수술 치료법
바로한의원 의료진은
초음파를 활용한 을
학계에 발표하며
한의사협회 보수교육 강사로
활동하고 있습니다.

발목 인대 손상에
특화된 치료법으로
K리그 프로선수들,
올림픽 금메달리스트들이
치료받는 한의원입니다.
발목 다치신 뒤에 불편감이
잘 해결되지 않는다면
로
정확하게 치료받으시길 추천드립니다.
종비인대 파열로 인한
발목 불안정성
발목 염좌 후에
제대로 치료하지 않고 방치하면
발목이 쉽게 접질리는 후유증이 생깁니다.
발목 불안정성,
종비인대 파열 환자의
MRI 케이스는
아래 글에서 정리했습니다.