발목 접질렀을때 꼭 확인해야 할 <그 곳>? 이분인대(bifurcate ligament) 초음파
발목 접질렀을 때
발목 바깥쪽 다쳤을 때
놓치기 쉬운 부위가 바로 이분인대입니다.**

@ DOI: 10.1002/sono.12300
이분인대(Bifurcate ligament)
이분인대는 종골에서 두갈래로 갈라지는 인대입니다.
1) 종입방인대(Calcaneo-cuboid ligament)
: 종골과 입방골(cuboid)에 연결
2) 종주인대(Calcaneo-navicular ligament)
: 종골과 주상골(navicular)에 연결
Y자 혹은 V자로 갈라져
발등뼈의 안정성을 높이고
발의 아치를 유지하는 역할을 합니다.
두갈래 인대 중에서
종입방인대(CCL) 손상이 굉장히 흔합니다.
이분인대 초음파 스캔 / 족소양경근 경혈 초음파
이분인대는 한의학에서
족소양경근에 해당합니다.
침을 놓는 혈자리 주변을
초음파로 진단하고 시술하는 것을
경혈 초음파라고 합니다.
섹션별로 디테일하게 설명드리겠습니다.


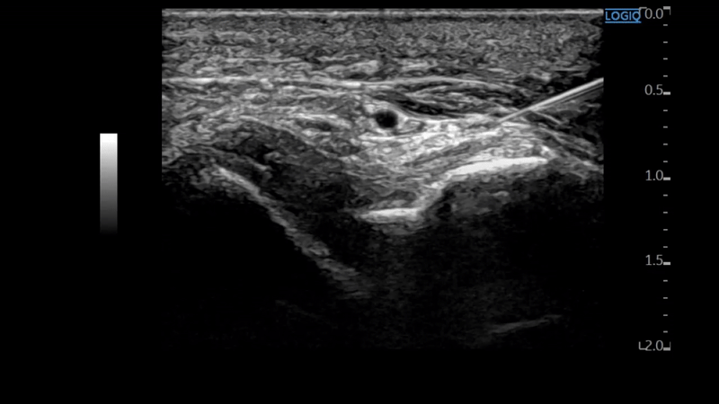
좌측 모식도 @ DOI: 10.1002/sono.12300 / 우측 초음파 영상은 직접 스캔했습니다
민트색 박스로 표시한 부위에
프로브를 댄 영상입니다.
종골(CAL)과 입방골(CUB)이 만나는
종입방 관절이 보이고요.
그 위로 제5중족골을 향해 달려가는
단비골근건(PB)이 보입니다.


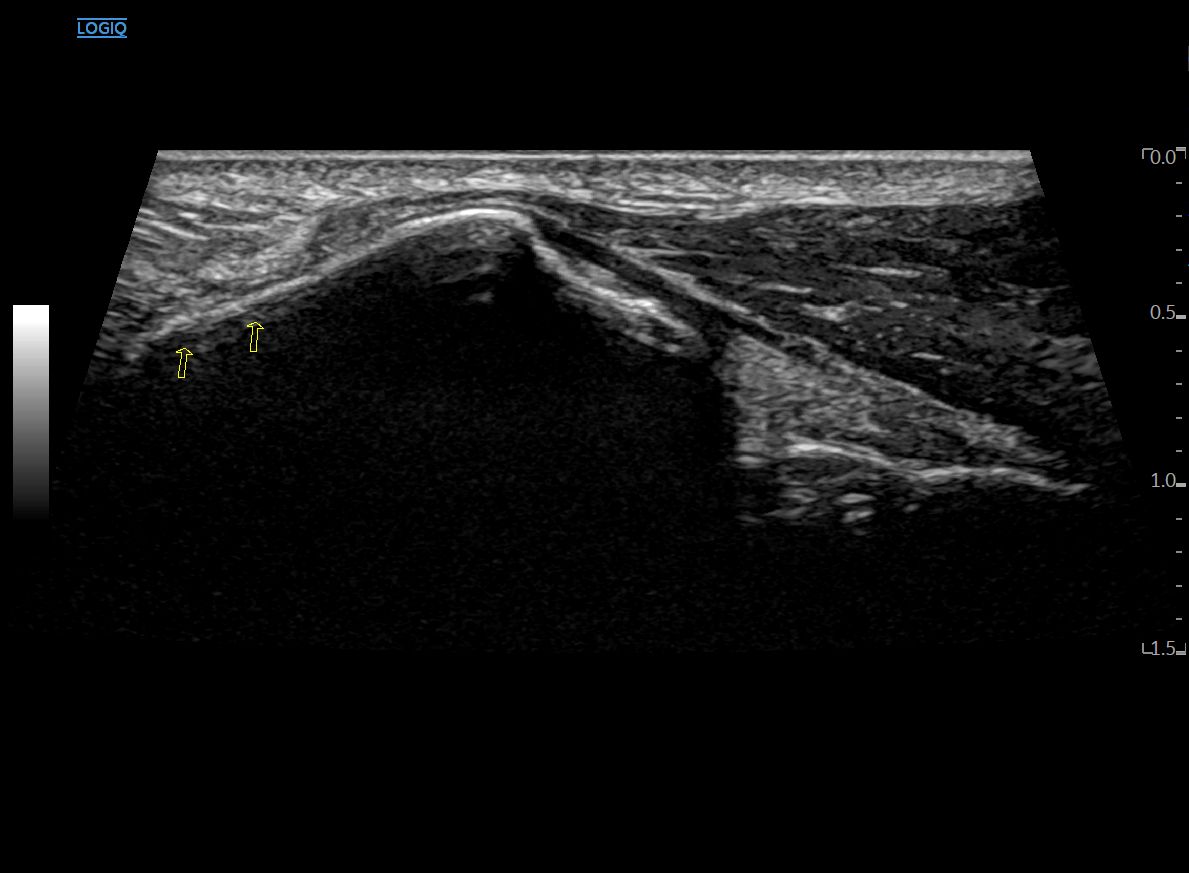
이분인대를 향해 프로브를 내측으로 이동하면
두 뼈를 연결하는 등쪽 종입방인대(Dorsal CCL)가 보이고요.
그 위로 짧은 발가락 폄근이
(단지신근, EDB, Extensor Digitorum Brevis)
보이기 시작합니다.


안쪽으로 프로브를 이동하면
단지신근 근복부가 크게 보이고요.
종골 Body가 새 머리 모양처럼 불쑥 솟아 오릅니다.


좀 더 올라오면
드디어 이분인대 섬유가 모습을 드러냅니다.
종골과 입방골을 연결하는
종입방인대입니다.

이 때 종골 피질이 쭉 연결되어 보이는데요.

좀 더 안쪽으로 이동하면
종골이 움푹 꺼지면서
족근동(Sinus tarsi)이 보이기 시작합니다.


종입방인대가 끝나면
프로브를 주상골을 향해서 사선으로 돌립니다.
단모지신근(EHB) 아래로
종골(CAL)과 주상골(NAVI)을 연결하는 이분인대,
즉 종주인대 섬유가 보입니다.
종주인대(CNL) 위로는
바깥 발목 동맥(LTA, Lateral tarsal artery)이 지나갑니다.


프로브로 원래 방향으로 돌려서
내측으로 이동하면
거골(TAL)의 head와 주상골(NAVI)이 보입니다.
제가 스캔한 것처럼
이분인대가 안 보이는 단비골근건부터
이분인대가 사라지는 거골까지 봐야 합니다.
그래야 놓치지 않고
전체 인대를 꼼꼼하게 검사한 겁니다.
엑스레이에서 뼈는 괜찮댔는데?
문제는 X-RAY에서
이분인대가 보이지 않습니다.
또한 이분인대가 부착하는 종골의 미세골절도
뼈가 겹치는 부위라 잘 보이지 않습니다.

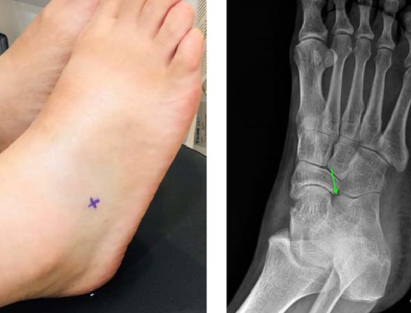
위 환자분은 지하철 계단에서 발목을 접질린 후
X-RAY 검사를 받고 오신 60대 여환입니다.
뼈에는 이상이 없다며
침 한방 맞고자 한의원으로 오셨어요.
발목 바깥쪽 인대들을 쭉 눌러봤을 때
X 표시한 곳에서 심한 통증이 나타납니다.
족소양경근에 프로브를 대어
반대쪽과 비교해보았습니다.

왼쪽 영상을 보시면
이분인대가 늘어나면서
종골 전방돌기(anterior process)가
톡 떨어져 나갔네요.
주변 연부 조직도 부어있어
골절이 의심됩니다.
골절이면 못 걷는거 아닌가요?
체중 부하가 많지 않은 부위의 골절은
잘 걸을 수 있습니다.
환자분께 엑스레이에서 잘 안 보이는 부위니
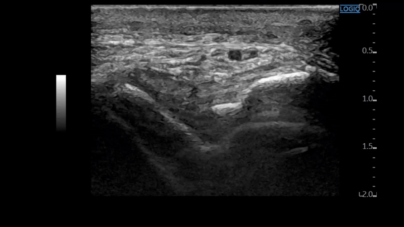
640 CT를 찍어보자고 했습니다.

CT상 급성 골절로 확진되었고
판독서를 근거로 진단서를 발행해서
골절 진단금도 청구하셨습니다.
10명 중 2명은 골절
발목 바깥쪽 염좌를 입은 10명 중에
1-2명은 종골 전방돌기 골절이 있다고 합니다.
엑스레이에서 발견하지 못한
이분인대 손상까지 포함하면
굉장히 많이 볼 수 있고요.
발목 통증이 1달 넘게 계속된다면
골절 가능성이 더 높습니다.
인대 손상, 자가진단법?
자가진단법을 설명드리면
아픈 부위 주변을 꾹꾹 눌러보시면 됩니다.
만약 이분인대가 염좌로 늘어났다면?
눌렀을 때 반드시 통증이 나타납니다.
가장 흔히 늘어나는 전거비인대는
한의학에서 구허혈에 해당합니다.

구허혈 초음파에서
표준 경혈 초음파 영상과 달리
늘어난 전거비인대가 보입니다.
잘 낫지 않는 만성 발목 통증은
인대의 염증 반응으로 주변 감각신경들이 민감해집니다.
한의학에서 말하는
과 에 해당합니다.

염증으로 들러붙은 유착 부위를
초음파로 보면서 시술하는 약침을
이라고 합니다.

구허혈에서 신경과 혈관을 찌르지 않게
안전한 경로로 을 시술합니다.

유착으로 들러붙은 인대를
으로 떼어냅니다.
경혈 초음파를 활용하면
환자분 상태에 따라 적절한 치료가 가능합니다.
발목 통증이 낫질 않아요
발목 통증이 잘 회복되지 않으시나요?
가까운 한의원에서 치료를 받아보시길 추천드립니다.
초음파 약침은 시술 부위의 출혈, 부종, 통증 등의 부작용이 있으며, 시술 여부는 진료의와 상담하시길 바랍니다.
위 내용은 의료광고심의면제 조건인 '단순 의료 정보 전달'을 목적으로 작성한 글로 의료법 제 56, 57조를 준수하였습니다.

바로한의원
서울특별시 강서구 화곡로 143 충효빌딩 3층