손가락 방아쇠수지 증후군 치료 주사? 수술 전에 <이 글> 먼저 확인
목차

안녕하세요
한의초음파연구회 부회장안태석 원장입니다.**으로
주사 치료 받고 오는 분들이
참 많으신데요.
증상에 따라
수술을 꼭 해야될 때도 있지만
으로잘 회복되는 케이스도 있습니다.
오늘은
으로
방아쇠 손가락을 치료하는 방법을
소개해드리겠습니다.
방아쇠 수지 증후군
손을 많이 쓰다보면
손가락을 구부리는
힘줄이 붓게 됩니다.
그러면
힘줄을 감싸는 터널인
도르래(활차)랑자꾸 부딪히게 됩니다.
작은 터널에
승용차는 잘 지나가지만
엄청 큰 차는 못 지나가겠죠?
터널 안으로
힘줄이 들어가지 못하고'딸깍' 하고 걸려버립니다.
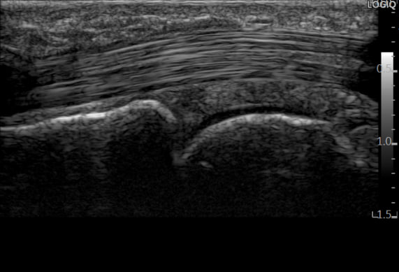
위 영상은
세번째 손가락
방아쇠수지증후군으로
강서구 화곡동에서 오신
60대 환자입니다.
스테로이드 주사를
3번 맞고도
가운데 손가락 증상이
호전되지 않는다고요.
자세한 상태를 진단하기 위해
경혈 초음파로 검사해보았습니다.
경혈 초음파, 수궐음경근
3번째 손가락의
방아쇠 수지증후군을 치료하는
핵심 혈자리는
입니다.


경혈 초음파로
침 놓을 혈자리를 살펴보니
A1 도르래가두꺼워진 상태였습니다.

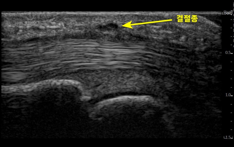
정밀하게 체크해보니
힘줄 주변 집도
어둡게 부어있고
A1 도르래(활차)에
물혹(결절종)도 확인되었습니다.
초음파 특수침
침 위치를
초음파로 확인하면서
염증으로 달러붙은힘줄과 도르래 사이를 떼어냅니다.이렇게 으로정확하게 시술하면회복기간을 단축시킬 수 있습니다.
방아쇠 수지 증후군 치료횟수
환자분 상태에 따라 다르지만
일반적으로
10-20회 치료가 필요합니다.
아무래도 특수침 치료이기에
일반 침보다는 좀 더 뻐근한 편이고요.
치료 후 3일간손을 쓰지 말고아이스팩하면서 쉬어야 합니다.
침을 많이 무서워하는 분들은
바로 수술하시는 것을 추천드립니다.
방아쇠수지증후군 치료 전
방아쇠수지증후군 치료 후
VARO 비수술 치료법
바로한의원 의료진은
한의사협회 보수교육 강사로 활동하며
으로
방아쇠 수지를 해결하는 치료법을
학계에 공유하고 있습니다.

차별화된 비수술 치료법으로
국가대표, K리그 축구선수들이치료받는 한의원입니다.잘 낫지 않는,초음파 특수침 치료를추천드립니다.
방아쇠 손가락 증후군 보도
방아쇠 손가락에 대해 언론 보도된 내용은
아래 글에서 확인하실 수 있습니다.
다른 환자분의 방아쇠 손가락 치료 후기는
아래 글에서 확인해주세요.
본 게시물은 의료광고법 제56조 1항을 준수하여, 의료 정보 제공을 목적으로 [바로한의원]에서 직접 작성한 글입니다.
게시물의 치료 영상은 실제 본원에 내원하신 환자분들의 동의하에 촬영되었습니다. 전/후 영상은 동일한 조건으로 촬영되었음을 밝힙니다.
방아쇠 수지 증후군은 환자분의 상태에 따라 수술이 먼저 필요한 경우도 있고 비수술 치료 횟수가 달라질 수 있습니다. 진료의와 충분한 상담을 통해 치료 방향을 결정하시기 바랍니다.

바로한의원
서울특별시 강서구 화곡로 143 충효빌딩 3층