아킬레스건 염증 부음 통증? 파열 <수술> 전에 꼭 읽어보세요!
목차
수술해야하나
고민했는데
많이 좋아졌어요

안녕하세요
한의영상학회 교육이사안태석 원장입니다
위 멘트는
아킬레스건 염증으로
3달간 치료받은 분께서
해주신 말씀입니다.
같은
퇴행성 질환은
진통소염제나 스테로이드로
잘 해결되지 않습니다.
힘줄이 닳으면서 나타나는
현상이기 때문이죠.
그래서 원인을 정밀하게 진단하고정확한 깊이로 치료하는게 중요합니다.
이 글을 보고 계시다면
으로
제대로 치료받을 곳을 검색 중이실 텐데요
로
어떻게 치료하는지 설명드릴테니
끝까지 읽어보시고
도움 되시면 좋겠습니다.
경혈초음파, 아킬레스건
족태양경근
한의학에서
아킬레스건염을 치료하는
핵심 혈자리는입니다.

위 그림은 제가 출판한
초음파 전공 서적인데요.
혈자리를
손 끝 감각을 이용해 먼저 찾고
초음파로 다시 체크합니다.
제가 12년간 임상에서
통증 초음파 한길만 파왔는데
이라고모두 다 똑같은 상태가 아닙니다.
사람마다 상태가
전부 다르기 때문에
진단이 먼저 제대로 되어야정밀한 치료가 가능합니다.
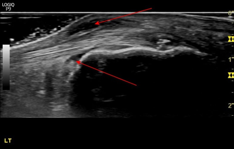
아킬레스건염 통증
첫번째 케이스는
양천구 신정동에서 오신
50대 여자 환자분인데요.
아킬레스건이 붓고 아파
스테로이드를 3번 맞았는데도
낫질 않아
수술을 권유받고 오셨습니다.

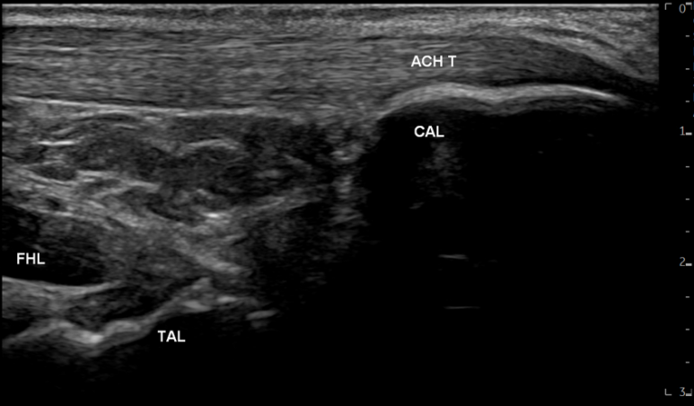
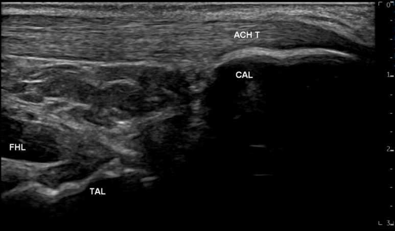
영상에서
족태양경근은 깊이에 따라
아킬레스건, 장무지굴근, 종골, 거골 등
다양한 구조물이 보입니다.
그 중에
아킬레스건(ACH T)은흰색 줄무늬 섬유 패턴으로보이는데요.

위 환자분은
아킬레스건이
많이 부어있으셨고요.
화살표친까만색 틈이 보이시나요?
정형외과에서
아킬레스건 염증이 심해지며
찢어지고 있다고
들으셨다고요.
힘줄이 완전히 파열되면
수술도 고려해봐야 됩니다.

일반적으로 한국인의 아킬레스건은
5mm를 넘지 않는데요.
이 환자분은9mm 정도가 나옵니다.2배 가까이부은 상태죠?
오랜 기간동안
만성 염증에 시달렸던 것을
알 수 있습니다.
아킬레스건 석회화
아킬레스건 염증으로
힘줄에 상처가 나고 아물면서
상처 부위에 딱지 지듯이
칼슘이 들러붙기도 합니다.
이를 이라고 하는데요.
아킬레스건은
혈액순환이 잘 되지 않아
이런 석회 돌 조각이
흔히 생깁니다.


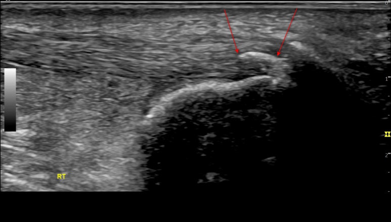
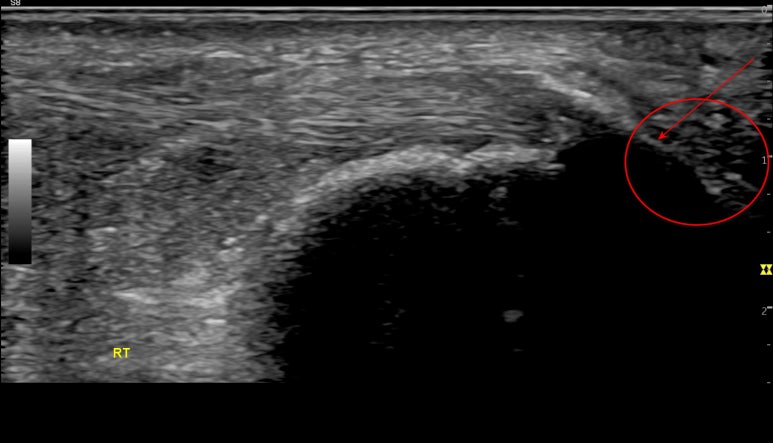
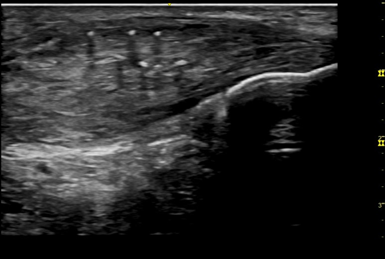
두번째 환자분은
경기도 일산에서 오신 분인데요.
표준 초음파 영상과 달리
이 환자분 영상의
친 곳에
하얀 돌 표면이 보입니다.
침을 놓을 때
힘줄 안에 석회를
세게 찌르면
칼슘이 흡수되면서
염증을 일으키게 됩니다.
가뜩이나 염증으로 아픈데
침 맞고 더 아프실 수 있거든요.
안전하고 정확한 침 치료를 위해
반드시 초음파로 체크해봐야 합니다.
아킬레스건 부음, 골극
뒷꿈치가 툭 튀어나오면서
아킬레스건이 부었다는 말씀을
많이 하시는데요.
가장 흔한 것은
뼈가 자라나는 것입니다.
힘줄이 긴장되면서
뼈를 계속 잡아당기면
뼈 세포가 옮겨가며
뼈가 자라나게 됩니다.
이걸 spur(스퍼),
우리 말로 골극
이라고 합니다.

세번째 환자분은
경기도 파주에서 오신 분인데요.
맨눈으로 봐도
뒤꿈치가 부어보였는데
손으로 만져보니
엄청 딱딱하고요.
초음파 영상으로 봐도
뼈가 자라난 경우였어요.
저런 골극은
굳이 깎아내지 않고도
아킬레스건 통증이
확 좋아질 수 있습니다.

네번째 환자분은
양천구 신월동에서 오신
특전사 군인이셨는데
아킬레스건 부위가
많이 부어있었어요.
손으로 만졌을 때
말캉말캉해서
초음파로 보니
힘줄 주변에 물이 차있었습니다.
피부-힘줄-뼈 사이에
마찰을 줄여주는
물 주머니 쿠션이 있는데요.
여기에
염증이 생긴 것이죠.
사실 이제는 오랜 진료 경험이 쌓여
손으로 만져만 봐도
혈자리가 어떤 상태인지
알 수 있지만요.
한의원에서 이렇게
로 정상측과 비교해보면
어디가 문제인지
더 정확하게 알 수 있습니다.

다섯번째 환자분은
강서구 화곡동에서 오신 분입니다.
아킬레스건이 약간 부어있었는데
느낌이 대나무같이 통통거리더군요.
초음파로 혈자리를 보니까
힘줄 내부에
물혹(결절종, ganglion)이생긴 상태였습니다.
5분 모두
정형외과에서
아킬레스건 염증으로
진단받고 오셨는데요.
디테일하게 깊이 파고 들면
세부 진단명이 달라지게 되고요.
진단에 따라서
침 시술하는 깊이도
달라집니다.
아킬레스건 파열
수술 후 재활
아킬레스건이
되면
수술해야하는데요.
수술한다고
아프지 않은 것이 아닙니다.

여섯번째 환자분은
경기도 수원에서 오셨는데요.
아킬레스건 완전파열로
수술하시고 재활치료를 위해
찾아오셨어요.
수술 후에는
힘줄이 많이 붓고 약해져있기 때문에
더 디테일하게
시술이 들어갑니다.
VARO 비수술 치료법
바로한의원 의료진은
한의사협회 보수교육 강사로 활동하며
초음파 약침 도침 시술법을
학계에 공유하고 있습니다.

@ 대한한의사협회 경기지부 보수교육

@ 원광대 한의과대학 특강
아킬레스건 염증에 특화된
비수술치료법으로
국가대표, 올림픽 금메달리스트가
치료받는 한의원입니다
잘 낫지 않는
아킬레스건 염증으로
고생하고 계시다면
치료를
강력 추천드립니다!
족태양경근에 대한 초음파 가이드 약침술
체외충격파를 활용한
근건이완수기요법
한의학에는
를 활용하여
힘줄 손상을 해결하는
치료법이 있습니다.
이라고 하는데요.
자세한 내용은
아래 글에서 정리했습니다.