어깨가 안올라가고 아파요. 오십견, 회전근개, 어깨 관절염 치료 [화곡역 오십견 바로한의원]
.jpg)
어깨가 아프고
팔이 올라가지 않는 경우
모두 오십견일까요?
어깨통증의 원인은 다양합니다.
어깨의 관절염
연골 손상
회전근개 파열
석회화 건염
오십견(=유착성 관절낭염, 동결견)
등의 많은 질환이 있는데요.
이러한 어깨 통증들은
일상생활을 제한하기 때문에
빠른 진단과 치료가 필요합니다.

어깨 질환은
뼈 뿐만 아니라 인대, 근육, 관절의 상태를
자세히 봐야하기 때문에
초음파**나 MRI 검사가 보다 정확합니다.

어깨가 아픈지 1년이 다 되어간다고
내원하신 환자분입니다.
협력병원에서 MRI 촬영 후
오십견이 의심된다는
소견을 들으셨는데요.
먼저, 오십견의 영상학적 특징을
살펴볼까요?

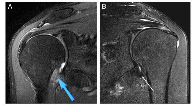
(좌) 병변측 (우) 정상측
좌측이 아픈 어깨입니다.
화살표에 표시된대로
우측에 비해 밝고 두꺼워져 있죠?

@https://sportsclinicnq.com.au
이번엔 우측이 문제인데요.
염증으로 두꺼워지고 위축되어
관절용적이 감소했습니다.
얼음처럼 굳어버리는 느낌이 들어
동결견(凍結肩)이라고도 불리는데요.
다른 사람이 올리려고 해도
어깨가 올라가지 않으며
특히, 외회전의 제한이 두드러집니다.


(좌) 병변측. 외회전 제한 / (우) 정상. 외회전 정상범위
오십견의 회복과정은
보통 3-4단계로 나뉘고
총 1~2년의 시간이 필요한데요
초반의 극심한 어깨 통증을
견디기가 힘든 게 현실입니다.

Original Article : Clinical Study: Effect of Acupuncture on Digital Infrared Thermographic Imaging(DITI) in Frozen Shoulder Patients
2006년 경희대학교에서
오십견 환자 17명을 대상으로
침 치료 전후를 비교한 논문을 살펴보면,
4주간 침 치료 후
통증이 호전되고
동작이 수월해졌으며
환자의 만족도 또한 상승했다는
연구결과가 있습니다.
또한 체열검사에서
치료 전,후
온도 차이가 감소하여
침 치료가 오십견 치료의
효과적인 치료방안**이 될 수 있음이
입증되었는데요.
화곡역 바로 한의원에서는
혈류 개선을 위한
부항치료
퇴행성 관절염 및 연골손상에
효과적인
전기침 치료
오십견 뿐만 아니라
어깨 힘줄 파열, 충돌증후군 등에서도
다양하게 쓰이는
도침 치료
진통 소염 효과에 탁월한
약침 치료
위와 같은
다양한 접근을 통해
극심한 통증 기간을 단축시키고
견관절 운동의 회복을 도모합니다.

진통제로도 줄어들지 않으며
1년 이상 지속되는
어깨 통증으로 고생하고 계시다면
한의치료를 추천드립니다.


바로한의원
서울특별시 양천구 월정로 29 태형빌딩 2층