오십견치료, 효과적인 도침 요법 [화곡역한의원 도침]

40대 여성분이 어깨 통증으로
한의원에 오셨습니다.
6개월 가까이
어깨를 움직이지 못하고
특히 밤에 통증이 심해
잠을 못이룬다고 하시네요.
샤워를 할때
뒷목을 만지는 것도
힘들다고 하십니다.
어깨관절의 가동범위가
현저하게 떨어져,
협력병원에 의뢰하여
초음파 검사를 실시한 결과
오십견 소견을 들으셨는데요.


https://www.semanticscholar.org/
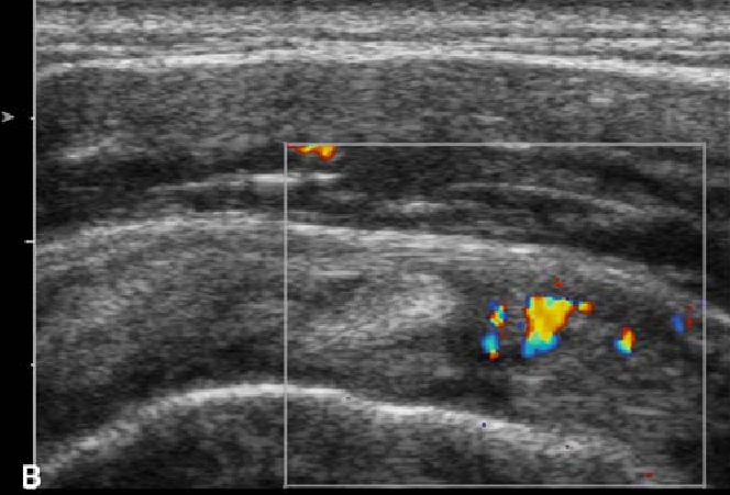
초음파상
비대된 인대가 관찰되고,
도플러 신호가 활성화되었으며,
관절낭이 부어있다면
도침치료**가 아주 효과적입니다.
이전 포스팅에서
도침의 다양한 쓰임과
그 효과에 대하여
여러번 소개해드렸는데요.
이번에는
오십견에 대한
도침치료의 효과를
리뷰해보고자 합니다.

2019년, 최근 발표된 논문입니다.
2019년 4월 이전 출판된
오십견(유착성 견관절낭염)을
도침으로 치료한
무작위 비교 연구(RCT)를
메타분석했는데요.
RCT 총 8편,
501명의 환자를 대상으로
도침치료를 한 그룹
VS
도침치료를 하지 않은 그룹
치료 후 결과를 비교했습니다.

메타분석 결과,
도침치료군에서
도침치료를 하지 않은 군보다
통증 정도 점수(VAS)가 줄었고,견관절 기능평가 검사(CMS)도점수가 높았는데요**.
도침치료가 오십견에
효과적이고, 안전하게
사용할 수 있는
치료법임이 입증되었네요.
어깨 통증은
연부조직의 손상인
경우가 많습니다.
연부조직의 손상은
유착, 결절, 반흔 등을 유발하고,
만성 통증이 생겨
기능장애, 근 위축, 감각이상 등
후유증이 발생하기도 합니다.

도침 요법은
연부조직 손상을 치료하기 위해
1980년대 후반
중국에서 소개된 후
다양한 통증 질환에
사용되고 있는데요.
어깨 뿐만 아니라
허리 디스크, 협착증에도
탁월한 효과를 보이고
오랫동안 낫지 않는
만성 족저근막염에도 효과적입니다.
또한,
연부조직이 서로 들러붙는
'유착'을 박리해주기 때문에
오래된 여드름, 수두 흉터치료에도
시행되는 시술입니다.
도침의 활용도가 참 넓죠?

만성적인 어깨 통증,
허리 통증으로
고민하고 계시다면
도침(=침도)요법을 추천드립니다.
화곡역 바로한의원은
평일저녁 8시까지 진료합니다.

바로한의원
서울특별시 강서구 화곡로 143 충효빌딩