테니스 엘보우, 팔꿈치 통증의 초음파 가이드 전기침 논문 [화곡역 한의원]
목차

외측 상과염(Lateral Epicondylitis)
즉, 테니스 엘보(Tennis Elbow)는 ## 손가락을 펴고,손목을 젖히는 힘줄과주변 인대의 염증으로
발생합니다.
손과 팔을 많이 쓰거나
테니스, 스쿼시, 골프 등
라켓운동을 즐기는 분들에게
흔합니다.
X-Ray에서는
힘줄과 인대가
보이지 않기 때문에
초음파, MRI 검사가
필요합니다.

테니스 엘보우는
초음파 검사상
힘줄이 어두워지고,
지저분해지고
퉁퉁 부어 두꺼워집니다.

팔꿈치 외측 힘줄이 어두워지고, 지저분해지고, 부어있습니다.
급성기에는
혈관 증식이 나타나기도 하고,

도플러 검사에서 혈류 시그널이 증가되어 있습니다.
만성기에는
힘줄이 붙어있는 뼈가
가시처럼 자라나기도 합니다.
(골극, Spur)

힘줄의 만성적 긴장으로 골막이 당겨지고, 조골세포가 이동하면서 뼈가 가시처럼 자라나게 됩니다. (Spur) @근막경선해부학

테니스 엘보로 팔꿈치 뼈가 자라나고, 인대가 찢어졌습니다.
출처: http://lakewass.blogspot.com/2015/04/tennis-elbow-not-just-for-tennis-players.html
팔을 많이 쓰지 않고
충분히 쉬면서 치료받는데
3개월 이상 호전이 없다면?
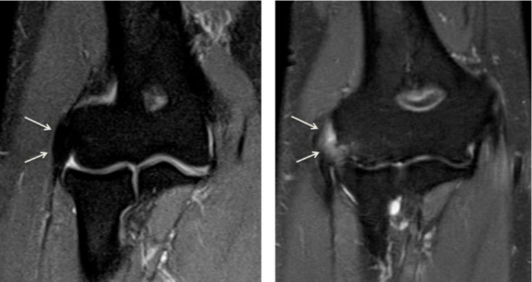
대부분팔꿈치 힘줄이나 인대가파열되었거나

좌측: 정상 팔꿈치 힘줄 / 우측: 파열된 힘줄
출처: https://www.schreibermd.com/tennis-elbow/
"관절염" 과 "연골 손상"이함께 있습니다.

좌측: 관절낭에 물이 많이 차면서 지방이 위로 떠오릅니다. (Fat pad sign) / 우측: MRI상 관절염으로 물이 많이 보입니다.
출처: https://radiologykey.com/musculoskeletal/

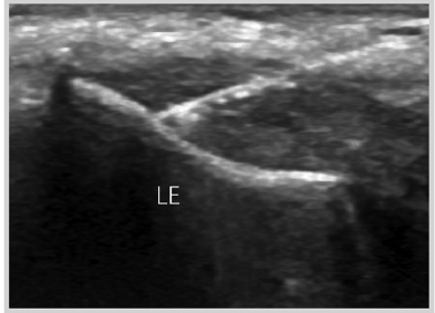
초음파상 관절낭이 부어있습니다.
출처: https://search.alexanderstreet.com/preview/work/bibliographic_entity%7Cvideo_work%7C2807357

"부분 파열" 됐더라도
아직 수술할 단계가 아니라면
화침, 도침, 전기침 등
특수 침 치료가우수한 효과를 보입니다.

2014년 진행된 연구에서만성 테니스 엘보 환자36명을 대상으로4 - 6주 동안3가지 치료를 했습니다.
- 초음파 유도 전기침
Percutaneous
Needle electrolysis
운동 치료 (원심성)
스트레칭

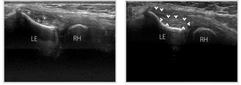
초음파 유도 전기침 치료

힘줄에 정확하게 들어가는 "침(Needle)"이 보입니다.
6주 후 치료결과를 비교해보니
"통증"** (VAS, DASH)과
"초음파 소견"
모두 호전되었습니다.

전기침 치료 후, 회복된 힘줄
전기침 치료 한지
6개월, 1년 후에도
효과가 유지되고 있는지
다시 조사했는데요.

침 치료 후 6개월, 1년 후에도 치료 효과가 유지됩니다.
모든 환자가 팔꿈치 통증이 없어져
재발하지 않은 것을 확인했습니다.

테니스 엘보우, 팔꿈치 관절염으로
고생하고 계시다면
가까운 한의원에서
한의약 치료를 받기를
추천 드립니다.


바로한의원
서울특별시 강서구 화곡로 143 충효빌딩