산후 조리, 유산 후 조리에 특화된 한의원 [화곡역 국민행복카드]

임신과 출산은
여성의 몸에
많은 변화를 가져옵니다.
이 때 몸 관리를 잘해줘야
이후 신체건강을
잘 유지할 수 있다는 건
모두들 잘 알고 계실텐데요.
실제로 저희 한의원에는
수십년 전 아이를 출산후
몸 조리를 잘 못하여
지금도 후유증이 남아있다며
찾아오시는 어머님들이
참 많으십니다.
특히나 요즘처럼
바쁠 시기에
산후에 제때 관리하지 못하고
다시 바쁘게 일하시는 분들이 많으시죠.
더더욱이나
염색체 이상이나
발생학적 원인에 의해서
유산된 경우라면
다음 임신을 위해서
더더욱 각별히 몸조리를 하셔야 합니다.
그런데
산후 관리
유산 후 관리에
한약이 매우 효과적이라는 사실!
알고 계셨나요?

Zhang, Y., Wang, J., Zuo, C., Chen, W., Zhu, Q., Guo, D., ... & Han, L. (2018). Protective Effect of Taohong Siwu Decoction on Abnormal Uterine Bleeding Induced by Incomplete Medical Abortion in Rats during Early Pregnancy. Chemical and Pharmaceutical Bulletin, 66(7), 708-713.
먼저 소개해드릴 내용은
불완전 유산으로 인한
자궁출혈에 대한
한약(도홍사물탕)의 효과를
연구한 논문입니다.
요즘에는
유산으로 소파술 시술 후에
계속되는 출혈로
내원하시는 환자분들이 많은데요.

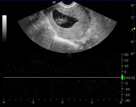
위 초음파 이미지 처럼
자궁 안에
태아(fetal pole)는 보이는데
심 박동은 없어진
계류 유산인 경우
소파술 이후에
산후조리 한약을 원해
많이 내원하십니다.
연구 결과에 따르면
한약은유산에서 발생한자궁 출혈의 양과 기간을단축시켰는데요. 단순히 출혈만 줄이는게 아니라,
조직병리학적 분석 결과에서도
자궁내막의 회복이촉진되었음이** 확인 되었습니다. 한약이 에스트로겐(E2) 수준과 에스트로겐 수용체(ERα)의 발현시키는 메커니즘으로 자궁내막 회복을 돕기 때문이지요. * * *
이렇게 과학적으로 그 효과가 검증된 한의 치료를 정부에서 지원하고 있는 것, 알고 계시죠? '국민행복카드'로 임신 및 출산에 관계되는 비용을 바우처 처리할 수 있는데요. 바우처 금액이 남아있다면 한의원에서도 사용 가능하니 부담없이 활용하실 수 있습니다. 관련 안내는 이전 포스팅에서 한번 드린 바 있습니다. 또한, 산후 육아 중에는 갑자기 기분이 확 우울해지고 가라앉을 때가 참 많다고 하시더라구요. 그럴 때 한약 치료를 해드리면 약 먹으면서 기운도 나고 한결 기분도 나아졌다고 하시는데요. 이에 대한 연구내용도 소개해드리려고 합니다.
Sun, Y., Xu, X., Zhang, J., & Chen, Y. (2018). Treatment of depression with Chai Hu Shu Gan San: a systematic review and meta-analysis of 42 randomized controlled trials. BMC complementary and alternative medicine, 18(1), 66. 3,234명의 우울증 환자 대상으로 한약 치료연구(RCTs) 42편을 분석하였는데요. 결과적으로, 한약(시호소간산)이 양약*(fluoxetine)*에 비해
일반 우울증은 물론
산후 우울증에우수한 효과를 내었고,부작용도 더 적었다는 결과가 나왔습니다.
유산 후,
출산 후.
지치고 약해져
몸이 내몸 같지 않을 때.
기운도 떨어지고
상처는 아물지 않아
마냥 우울해져만 갈 때,
내 몸 친화적인 한약으로
소중한 몸과 마음을
다독여주시는건 어떨까요?
아픔은 함께 나누고,
기쁨은 가득 할 수 있게
바로한의원
여성한의학 센터가
도와드리겠습니다.

바로한의원 서울특별시 강서구 화곡로 143 충효빌딩