인대 염좌 파열시 X-ray에 보이지 않는 골절이 동반되기도 합니다 - 화곡역한의원

다친 직후에
뼈 손상 정도가 미세하거나
손상된 부위가 영상에서 겹치면
X-RAY에서 골절선이 잘 보이지 않습니다.
(견열골절, 피로골절, 미세골절 등)
특히, 늑골 골절은 X-RAY 단순 촬영에서 85%가 진단되지 않았다는 보고도 있습니다.
Wischhofer E, er al. Ultrasound detection of rib fx. for verifying fx. diagnosis. A pilot project. Der Unfallchirung. 1995;98(5):296-300

출처 : HomeHealthcareShoppe
인대만 다친 경우는 2-3주 내에 좋아지지만
인대, 힘줄, 관절 그리고 뼈까지 다친 경우에는
보통 1달 이상 증상이 지속됩니다.
다시 말해,1달 넘게치료받고 있는데도잘 낫지 않는다면?
CT, MRI, USG, Bone Scan 등 다른 정밀검사가 필요합니다.

출처 : MAYO
20대 젊은 환자분이
발가락 통증이 1달 넘게 낫지 않는다고 내원하셨습니다.

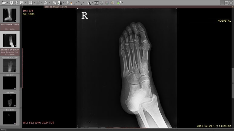
해당 환자분의 1달전 X-RAY 영상
1달 전, 발을 헛디뎌 넘어진 뒤
근처 병원에서 X-RAY를 찍었는데 골절은 아니라고 했답니다.
진통소염제(NSAIDs)를 처방받고 물리치료를 받아도 큰 차도가 없어
한의학적 치료를 받아보려고 오셨답니다.
관절의 운동범위를 체크하고 근육의 길이 및 근력을 확인하고 인대 섬유 방향대로 검사해보니 골절이 의심됩니다.
미세골절 초기에는 영상에서 잘 보이지 않을 수 있다고 충분히 설명드리고
1달 전 엑스레이를 찍었던 병원으로 다시 의뢰를 보냈습니다.
다시 찍어본 X-RAY에서
골절 후 흔적인 가골(bone callus)이 보였고,
정확하게 확인하기 위해 CT 검사를 받았습니다.



빨간 화살표로 표시한 부분이 발가락이 골절 됐던 곳입니다.
골절 후유증이 남지 않도록 정형외과 치료와 병행해서 약침, 한약 치료 및 운동치료를 받으셨구요.
실비보험에서 골절 진단금과 통원 치료비도 받게 되었습니다.

더 나은 진료를 위해
의무기록 사본을 (진단서, 검사결과, 영상CD)
지참하시고
내원 바랍니다.


