X-RAY에서 잘 보이지 않는 늑골 골절 진단, 화곡역 한의원
목차

출처 MMG
늑골(갈비뼈)의
외측면 골절은
X-RAY에서
잘 보이지 않습니다.
X-RAY 에서는
늑골 골절의 85%를
놓쳤다는 보고가 있습니다.
Ref.> Wischhofer E, er al. Ultrasound detection of rib fx. for verifying fx. diagnosis. A pilot project. Der Unfallchirung. 1995;98(5):296-300
이런 이유로
늑골 / 늑연골 타박상은
초음파
CT / MRI
Bone Scan 등
추가적인 검사가
필요합니다.

30대 환자분이
배드민턴을 치다가 넘어져
가슴-옆구리 통증으로
오셨습니다.




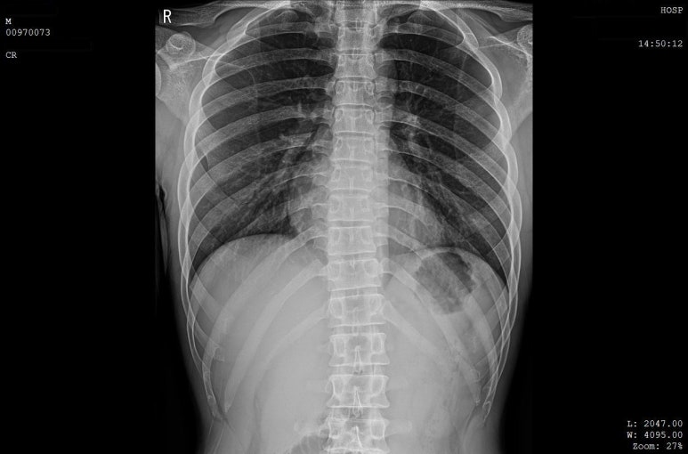
해당 환자분의 X-RAY 영상, 골절선이 보이지 않습니다.
병원에서 X-ray상
뼈는 멀쩡하다고 합니다.
그런데 증상을 보니
특정 부분만 아프고
호흡, 기침, 웃음 등
흉곽이 움직일 때
통증이 심해집니다.
아픈 부위를
손바닥으로 단단히 고정한 뒤에
헛기침을 시켜보니
70% 통증이 감소합니다.
늑골 골절, 늑연골 손상의
전형적인 증상이었습니다.
절대 안정이 필요한 상황이라
근처 병원에 의뢰하여
Bone Scan 검사를 진행했습니다.

해당 환자분의 Bone scan 검사
역시 슬픈 예감은
틀리지 않습니다.
본 스캔 검사로
골절 확진을 받았습니다.
실비 보험에서
골절 진단금과
통원 치료비를 보장받게 되었고요.

침 치료 후
특정 주파수의 전기 자극을 주면
마약성 진통제보다
강력한 진통효과가 나타납니다.
내인성 오피오이드 물질의
(Enkephalin, Endomorphin 등)
분비를 증가시켜
통증을 줄여주기 때문이죠.
만성 통증에는
특수침, 한약 치료가
탁월한 효과를 보입니다.

골절, 염좌로 인한
급만성 통증에는
한의 치료가
좋은 대안이 됩니다.

바로한의원은 남녀 2분의 원장님이 진료합니다.
늑골 염좌로 고생하고 있으시다면
가까운 한의원에서
과학적인 한의치료를 받으시길
추천합니다.



바로한의원
서울특별시 강서구 화곡로 143 충효빌딩