손가락 손목 손저림 원인 증상, 목 디스크가 원인이 아니다? <이곳> 치료 주목! [초음파 약침]
안녕하세요,
대한한의영상학회 교육위원으로 활동하는
바로한의원 문지현 원장입니다.
오늘은 손목과 엄지손가락 쪽으로** 찌릿한 통증이 내려오는데, 아무리 목 디스크 치료를 받아도 낫지 않아 고생하시는 분들을 위해 준비했습니다.
혹시*'요골신경병증'*혹은 **'바르텐베르그 증후군 (Wartenberg's Syndrome)'*이라고 들어보셨나요? 이름이 참 어렵죠? 쉽게 말해 손목에 채워진 수갑이 신경을 누르는 것 같다고 해서 '수갑 신경병증'이라고도 불립니다. 오늘은 2025년에 발표된 아주 따끈따끈한 최신 논문을 바탕으로, 왜 이 병이 목 디스크로 오인받기 쉬운지 그리고 한의학에서는 초음파를 이용해 어떻게 잡아내고 치료하는지 아주 쉽게 설명해 드리겠습니다. * * * 1. 목디스크로 오해하기 딱 좋은 손등 저림 엄지손가락 등 쪽이랑 검지 쪽이 저리고 화끈거려서 병원에 갔더니 **"목 디스크 초기 증상 같네요"라는 말을 듣고
목 치료만 주구장창 받으신 적 없으신가요?
그런데 이상하게 목을 치료해도
손 저림이 그대로라면, 오늘 이야기에 귀를 기울이셔야 합니다.
범인은 목이 아니라,
바로 '손목'에 숨어있을 수 있기 때문입니다.
DOI: 10.7759/cureus.88503
2025년 7월에 발표된 최신 임상 증례 논문입니다.
이 논문에는 27세 남성 환자가 등장합니다.
이 환자는 팔뚝에 상처를 입은 후
6개월 뒤부터 극심한 신경통에 시달렸어요.

사진 A를 보시면
팔뚝 아래쪽에 하얀 흉터가 문제가 되는 곳인데요.
사진 B와 C를 보시면 주먹을 꽉 쥐거나엄지손가락을 치켜세우고 있죠? 이걸 의학 용어로 '히치하이커 징후'라고 하는데요.
*엄지손가락을 움직이는 힘줄과 **운동 신경은 멀쩡해!라고
말하고 있는 겁니다.
하지만 통증 점수(VAS)가
10점 만점에 무려 9점이었고,
거의 일상생활이 불가능할 정도의 고통이었는데, 대학병원급에서 정밀 검사라고 불리는
근전도 검사에서도 '정상'으로 나왔어요.
환자는 아파 죽겠는데,
검사 기계는 "당신 신경엔 문제없어요"라고 한 거죠.
왜 이런 일이 벌어졌을까요?
근전도 검사가 정상이어도
신경병증일 수 있습니다!
바로 이 환자가 앓고 있던 병이
'바르텐베르그 신드롬', 요골신경,
그 중에서도 손목 피부를 지나가는
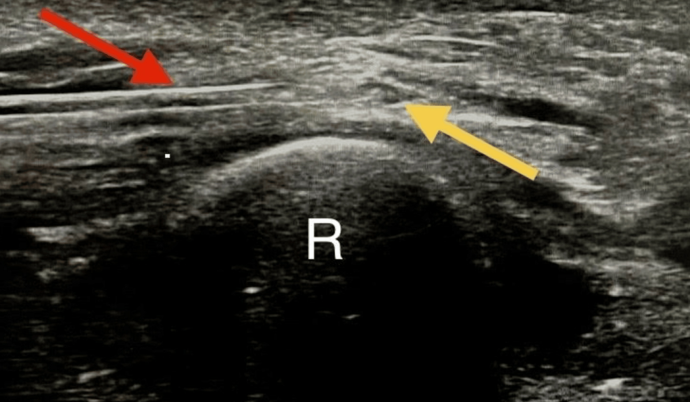
감각 신경이 눌려있는병이었기 때문입니다.** 이 신경 가지는 순수하게 감각만 담당하는 신경이라서, 일반적인 근전도 검사로는 미세한 눌림을 찾아내기가 정말 어렵습니다. * * * 2. 초음파, 보이지 않는 통증을 보다 그렇다면 어떻게 진단했을까요? 여기서 바로 '초음파'가 결정적인 역할을 합니다. 이 논문의 의료진은 초음파를 통해 신경을 직접 들여다봤습니다.
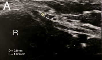
DOI: 10.7759/cureus.88503 정상적인 왼쪽 팔의 신경 (A) 단면적은 1.68mm²였는데,
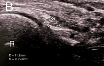
DOI: 10.7759/cureus.88503 아픈 오른쪽 팔의 신경은 (B) 무려 6.72mm²로 퉁퉁 부어있는 것을 발견했습니다. 근전도 검사에서는 보이지 않던 '신경 부종'과 '포착(눌림)'이 초음파 눈에는 딱 걸린 것이죠. * * * 4. 그래서 해결 방법은요? 이 환자를 어떻게 치료했을까요? 바로 '초음파 유도하 시술(Hydrodissection)' 입니다.
DOI: 10.7759/cureus.88503 말이 좀 어렵죠? 쉽게 설명해 드릴게요. 초음파로 신경을 실시간으로 보면서, 신경을 조이고 있는 조직 사이에 5% 포도당 용액(5DW)을 주사해서 공간을 벌려주는 겁니다. 마치 꽉 끼는 바지를 입고 있을 때, 바지와 다리 사이에 물을 넣어서 공간을 만들어주는 것과 같아요. 그러면 신경이 숨을 쉬게 되죠. 결과는 어땠을까요? 2주 간격으로 딱 4번 치료했는데, 점수가 9점에서 0점으로, 통증이 완전히 사라졌습니다. *수술 없이, 스테로이드 없이,
환자는 일상으로 복귀할 수 있었죠. * * *
3. 초음파 약침손목저림 특효혈, 편력혈(偏歷, LI6) 이 요골신경이 지나가는 자리는
한의학적으로
수양명대장경(手陽明大腸經)과 밀접합니다.
특히 이 신경이 눌리기 쉬운 손목 위쪽 부위는
편력(偏歷, LI6)에서
엄지 쪽의 양계(陽谿 LI5) 까지 혈자리 주변인데요.
이 신경이 지나가는 길목에 있는
경혈점과 근막의 유착을 함께 보는 것이죠.
먼저 손으로 눌러보고
손 저림이 가장 심하게 느끼는 혈자리를 찾고요
신경을 압박하고 있는
주변 조직의 염증을 줄여주고,
신경 자체의 회복을 돕는
*PDRN 연아약침을 시술합니다.
논문의 환자처럼 흉터 조직이나 근막이
신경을 꽉 조이고 있을 때,
그 부위는 기혈 순환이 막힌
통비증(痛痺症) 상태로 볼 수 있는데요.
시술 직후에 확인해보면
신경 주변으로 까만색의 여유 공간이 생겨** 기혈순환을 돕고 신경 압박이 해소됩니다 * * * **오늘의 내용을 정리해 보겠습니다.*1. 엄지손가락 쪽 저림과 통증, 목 디스크 치료로 낫지 않는다면
'요골신경병증'을 의심해 봐야 합니다.
2. 근전도 검사가 정상이라도 신경은 눌려있을 수 있습니다.
이때는 가 필수적입니다.
3. 초음파로 혈자리 주변의 신경 포착 부위를 정확히 찾고,
초음파 약침을 치료합니다.
예전에는 시간이 지나면 낫겠거니 하고
참고 살아야 했던 통증들이,
이제는 초음파 기술의 발달로
눈으로 확인하고 치료할 수 있는 질환이 되었습니다.
*아픈 곳이 있는데 검사상 이상이 없다는 말을 들으셨나요? 포기하지 마시고, 꼼꼼하게 초음파로 병변을 확인하고 한의학적 관점으로 세심하게 치료하는 의료진을 찾아가 보시길 바랍니다. 오늘 정보가 도움이 되셨다면 주위에 원인 모를 손 저림으로 고생하는 분들께 꼭 공유해 주세요. 다음에도 유익한 정보로 찾아뵙겠습니다. 감사합니다! 목디스크 손목 손가락 손 저림 통증 원인 병원 주사 시술 손목터널증후군 요골신경병증 요골신경
바로한의원 서울특별시 강서구 화곡로 143 충효빌딩 3층