척추 기립근 만성 요통 장골능/골반뼈/꼬리뼈 통증 중요한 원인 <이 곳>, 초음파 약침 치료 주목

안녕하세요!
여러분의 척추/관절 건강을 위해
근거 기반의 의학 정보를 전달하는
바로한의원 안태석 원장입니다.
허리 통증으로 오래 고생하셨지만,
엑스레이나 MRI를 찍어도
**"큰 이상 없다"* **"디스크는 아니다"라는 말만 듣고
답답해하셨던 분들 있으시죠.
최근 연구들에 따르면
원인 모를 요통 환자 10명 중 4명이
이 질환을 앓고 있다고 합니다.
바로 장골능 통증 증후군 Iliac Crest Pain Syndrome 인데요.
오늘은 2018년과 2019년에 발표된
초음파 연구 논문들을 바탕으로,
이 통증의 실체가 무엇인지,
그리고 한의학에서는
어떻게 초음파를 활용해
이 부위를 정밀하게 치료하는지
아주 쉽게 설명해 드리겠습니다!
1. 원인 모를 요통,혹시 이 아프신가요? 허리가 아픈데
정확히 허리띠가 걸리는 골반 뼈 위쪽,
즉 '장골능' 부근이
뻐근하고 아픈 분들 계시죠?

연구에 따르면,
원인이 명확하지 않은 요통
(비특이적 요통)
환자의 무려 41%가
이 '장골능 통증 증후군'을
가지고 있다고 합니다.

DOI: 10.15557/JoU.2018.0003
왜 여기가 아픈 걸까요? 우리 몸의 기둥인
**'척추기립근'은 골반 뼈인 장골능(Iliac crest)과 후상장골극(PSIS)에 아주 단단하게 달라붙습니다.
DOI: 10.15557/JoU.2018.0003 이 부위에 반복적인 스트레스가 쌓이면 염증이 생기거나 조직이 딱딱하게 변하는 '골부착부병증(Enthesopathy)'이 발생합니다. 말이 어렵죠? 쉽게 비유하자면 '텐트를 고정하는 밧줄'과 같습니다. 거센 바람(=스트레스)이 계속 불면, 밧줄의 중간이 끊어지는 게 아니라 땅에 박힌 팩과 연결된 '매듭 부위'가가장 먼저 해지고 상하게 되죠. 우리 허리도 마찬가지입니다. 근육과 뼈가 만나는 이 연결 고리가 스트레스를 받아 탈이 나는 것입니다. 특히 오래 앉아 있거나, 몸을 옆으로 구부릴 때 (측굴) 통증이 심해진다면 이 질환을 강력하게 의심해봐야 합니다. * * * 2. 척추기립근이 골반에 붙는'그 지점'이 핵심입니다.
DOI: 10.4103/jrms.JRMS_1034_18 2019년 Journal of Research in Medical Sciences 에 실린 논문을 보면, 이 통증 유발점을 해부학적으로 정밀하게 분석했습니다. 우리 허리를 지탱하는 이 골반의 후상장골극(PSIS)과 내측 장골능에 붙어있다고 말씀드렸죠?
척추기립근이 골반에 붙을 때 단순히 살이 붙는 게 아닙니다. 1. 근육의 겉을 싸고 있는 척추기립근 건막(Aponeurosis) 2. 그 속에 숨어 있는 심부 힘줄(Deep tendon) 이 두 가지 구조물이 골반 뼈에 와서 붙는데요.
DOI: 10.4103/jrms.JRMS_1034_18 피부 가까이에 있는 겉에 있는 건막과 속에 있는 힘줄이 겹쳐져 있어서 정확히 어디가 고장 났는지 보지 않고는 알기가 어렵습니다. * * * 3. 왜 초음파로 봐야 할까요?
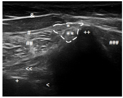
DOI: 10.15557/JoU.2018.0003 2018년 Journal of Ultrasonograph의 연구에 따르면, 건강한 사람의 이 부착부는 초음파상 하얗고 매끄러운 섬유 다발로 보입니다.
DOI: 10.15557/JoU.2018.0003 하지만 통증이 있는 환자의 경우 다음과 같은 변화가 관찰됩니다. 1. 부착부 비후: 힘줄이 퉁퉁 부어 두꺼워져 있거나, 2. 저에코 병변: 염증으로 인해 어둡고(Hypoechoic), 3. 골극 형성: 뼈 표면이 울퉁불퉁하게 튀어나와 있습니다.
DOI: 10.15557/JoU.2018.0003 더 중요한 이유가 있습니다. 이 장골능 주변에는 '상둔피신경(Superior Cluneal Nerve)' 이라는 예민한 신경이 지나갑니다. 눈으로 보지 않고 주사를 놓다가 자칫 이 신경을 건드리면 찌릿한 통증이 발생할 수 있죠. 초음파를 사용하면 이 신경과 혈관을 피해 시술할 수 있습니다. * * * 4. 한의 영상학의 핵심:경혈과 해부학의 만남 자, 그렇다면 한의학에서는 어떻게 치료에 적용할까요? 한의학의 초음파 가이드 시술은 '경혈'의 해부학적 구조를 타겟팅하여 유착을 풀어내는 데 집중합니다.
통증이 발생하는 장골능 부착부는 대장수(大腸兪, BL25)와 관원수(關元兪, BL26) 그리고 연달아 이어지는 족태양방광경의 경혈들과 일치하죠. 먼저 손으로 촉진해서 아픈 경혈점을 특정한 뒤에 혈자리의 척추기립근의 건막과 심부 힘줄이 뼈에 붙는 지점을 확인하고요. 염증으로 들러붙은 근막 사이를 으로 부드럽게 떼어냅니다. 마치 꽉 낀 옷을 느슨하게 해주는 것과 같은거죠. 특히, PDRN 연아약침의 DNA 성분이 조직 재생과 염증 치료에 매우 효과적입니다. 유착이 심한 경우, 으로 뼈에 붙은 힘줄 부위를 콕콕 자극해서 떼어낸 후 이어서 PDRN 약침을 시술해서 새로운 재생 반응을 유도합니다. 치료 후 2-3일간 반응성 염증으로 인해 뻐근한 통증이 일시적으로 더 심해질 수 있습니다. 이는 조직이 재생되면서 겪는 현상이니 너무 걱정하지 않으셔도 됩니다. * * * 5. 치료가 잘 안된다면?놓치지 말아야 할 숨은 원인들 만약 척추기립근 부착부 치료를 받았는데도 통증이 여전하다면, 우리 몸을 좀 더 넓게 봐야 합니다. 1. 상둔피신경 포착 단순 근육통이 아니라, 상둔피신경이 눌린 경우일 수 있습니다. 이때는 흉요추 연접부위(T12-L1)부터 분절마다 꼼꼼히 만져봐야 합니다. 2. 척추신경 후지 척추 신경 뒷가지가 눌려도 장골능 골반쪽이 아플 수 있습니다. 3. 인대 연관통 장요인대, 후천장인대 같은 골반 인대가 늘어나고 약해져서 통증이 생길 수 있습니다. 4. 골반 근육 통증 기립근 아래로 붙어있는 중둔근, 대둔근이 긴장되고 뭉쳤을 때도아플 수 있습니다. 이처럼 여러가지 문제들을 고려해서 꼼꼼하게 체크해야 잘 나을 수 있습니다. * * * 마무리하며 허리 통증, 꼬리뼈, 장골능, 골반 통증 단순히 "오래돼서 그렇다", "노화다"라고 포기하지 마세요. 초음파라는 제3의 눈을 통해 '근육과 뼈가 만나는 그 지점'의 염증을 직접 확인하고, 한의학적 경혈 이론을 접목해 정밀하게 치료한다면 만성 요통도 분명 좋아질 수 있습니다. *내 허리 통증의 숨은 원인,
이제는 눈으로 확인하고
치료받으시길 바랍니다.
지금까지
바로한의원 원장 안태석이었습니다.
감사합니다!
허리통증 원인 스트레칭 병원 왼쪽 허리 뒤 오른쪽 초음파 약침 한의원 골반 꼬리뼈 장골능 초음파 도침

바로한의원 서울특별시 강서구 화곡로 143 충효빌딩 3층